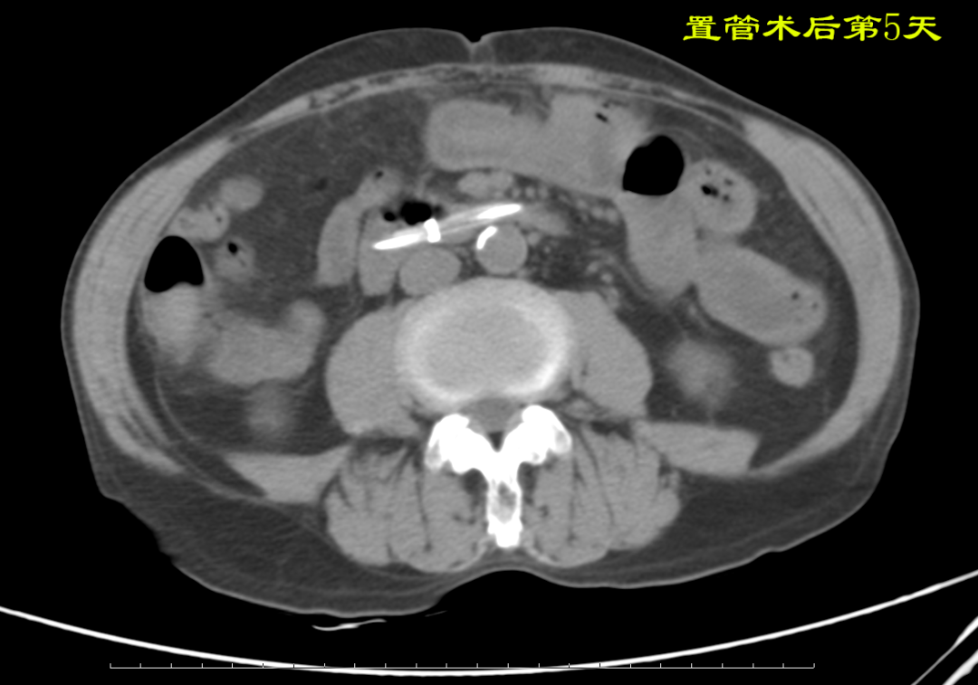
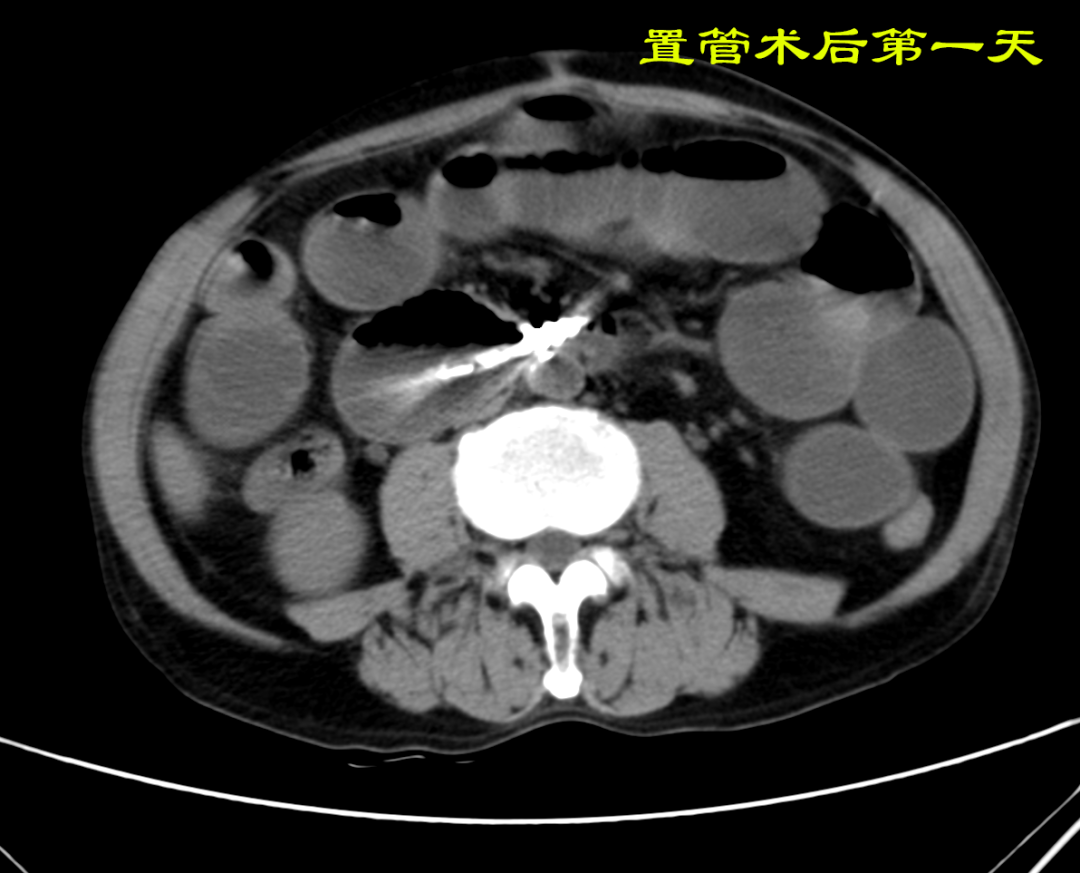
病例:患者男性,74岁,因“腹痛、腹胀伴呕吐、肛门停止排气排便20小时”于2021年7月24日入住我院普外科。患者1月前因回肠穿孔于我院普外科手术治疗,入院后明确诊断为术后粘连性小肠梗阻,经胃管引流等保守治疗无好转。因患者有严重心肺疾患,再次手术风险较大,并且术后再发粘连性肠梗阻的可能性也很大。经过与患者家属沟通后,最后决定采用胃镜引导下置入经鼻插入型肠梗阻导管技术来治疗肠梗阻。由我院消化内科副主任医师杨开余完成操作,耗时大约40分钟,患者术后第5天开始排气排便,腹痛、腹胀症状迅速消失,术后第7天拔除肠梗阻导管,恢复饮食。拔管至今已10天,患者已出院。随访患者无腹痛、腹胀,排便正常。
良好的引流是治疗肠梗阻的基本措施,低位小肠梗阻置入胃管引流常难以奏效,以往大多需要再次手术,而再次手术后粘连的几率高达70%。经鼻插入型肠梗阻导管就是将一根3米多长,内有四个腔道的管道置入十二指肠后,在重力和肠道蠕动的作用下,导管先端部将自动向前运动,直至到达梗阻部位。在导管到达梗阻部位后,可进行双对比造影检查了解狭窄病因,也可以对狭窄处进行扩张,还可以作为支架起到肠排列的治疗效果。肠梗阻导管治疗小肠梗阻属于微创型手术,具有痛苦小、疗效好、费用低、预防再次粘连等优点。
据悉,目前我省仅有为数不多的几家医院胃肠外科在开展此项技术,都是在C臂透视下经导丝置管,有X线暴露的缺点,我院现用胃镜辅助下置管可避免接触放射线。
作者:杨开余(消化内科供稿)


