【航医说医】“心累”的膈膨升症患者辗转多家医院后,最终在贵州航天医院成功治疗
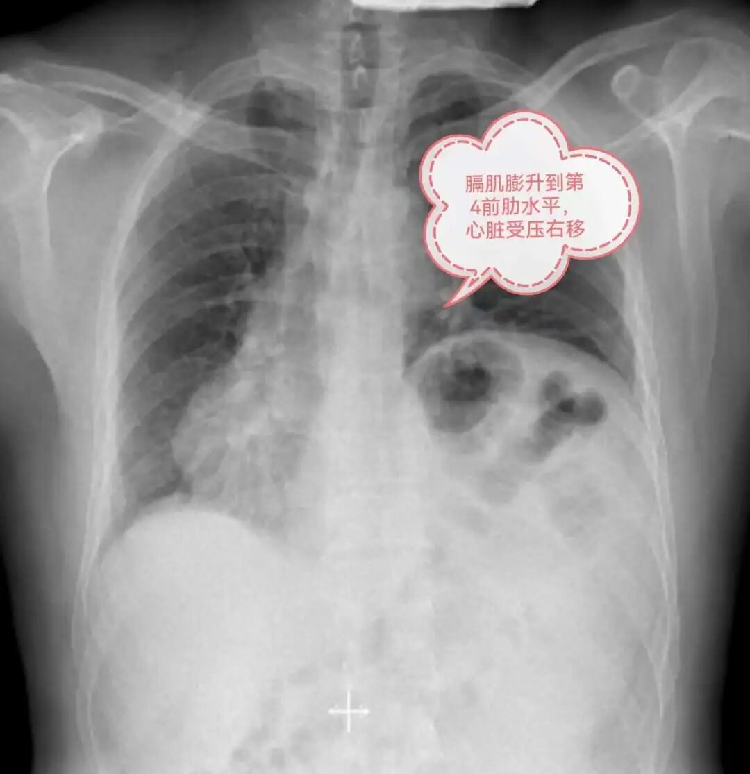
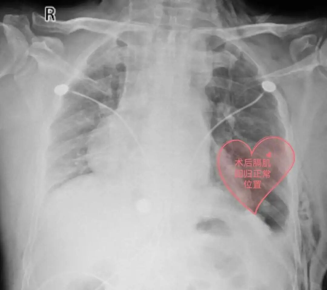
近日,家住遵义的一名55岁患者李某,因活动后喘累、气促多年,辗转多家医院就诊无果,终于在贵州航天医院成功治疗。 病情回顾 几年前,李先生爬坡上楼就开始有点喘累、呼吸急促,但是自己并未引起重视。 第一次入院贵阳某三甲医院 1年前,李先生症状加重,爬到2楼中途都需要缓口气休息,于是到当地某大型三甲医院就诊,入住心血管内科,做了心脏血管造影、心脏彩超、胸部CT、抽血化验等很多检查,住院两周,医生告诉他心脏没什么大问题,仅是左侧胸腹腔之间的膈肌位置有点抬高,心脏位置有些右偏,属于先天异常,无需治疗,随即李先生办理出院。 第二、三次辗转贵阳某三甲医院 李先生的症状仍没有得到缓解,又先后辗转到贵阳市2家三甲医院就诊,同样诊断为膈膨升症,两家医院均未给出缓解症状和治疗的合理方案,于是李先生又开始继续寻医之路。 西南医院医生推荐 贵州航天医院 热心邻居向他推荐去西南医院,在咨询该院医生后,医生建议李先生“不用跑这么远,到贵州航天医院一样可以治疗”。 李先生来到贵州航天医院门诊,刚好遇上心胸外科陈光春主任坐诊专家门诊,陈主任听闻李先生的病情后,详细介绍了膈膨升症的相关问题,并告诉他手术后的效果,为他仔细分析病情,告诉他“心脏虽然位置有些右偏,但心功能是正常的,不会影响手术效果”。 入院后第4天,心胸外科团队经过充分的术前准备,在全麻下为李先生行电视胸腔镜微创膈肌折叠缝合术,术后各项指征恢复正常,顺利出院。出院后,爬坡上楼再也不累了、不喘了,一口气走上4楼也没问题。 为此,李先生感叹历时1年多,走了这么多家大医院,最终选择在贵州航天医院就诊,无论是门诊、手术室,还是住院部、辅助检查科室,医护人员服务态度都非常好,解释病情也非常耐心仔细,让人感觉非常专业非常有水平,所以才决定就在贵州航天医院手术治疗,治疗效果也证实自己的选择是非常正确的。 在医院的晨读会上心胸外科就介绍过“膈膨升症”疾病的知识,以及采取的微创手术治疗效果。此次李先生首次挂号的并非心胸外科,而是挂的呼吸科,因呼吸科的门诊医生听患者自我阐述在其他医院诊断是膈膨升症,呼吸科医生立即带患者到心胸外科门诊就诊。 贵州航天医院每周三举行的“晨读会”,通过不同学科、不同专业的讲解汇报,拓展医院各层级医务人员的知识结构,解决临床遇到的难点和问题,凝聚发展合力,以医院晨读会推动各科室形成常态化学习机制,营造全院比学赶超良好氛围,进一步提升医疗服务质量,以“小进步”促进“大发展”,为健康遵义建设贡献医院力量。 科 普 什么是膈膨升症? 膈膨升症被称为膈肌膨出症,属膈肌无力类疾病,膈肌活动强度减弱,包括膈肌麻痹和膈肌膨出症。 狭义的膈膨升症是指:由于胚胎横中隔内肌肉组织发育异常,导致膈肌先天性缺陷引起的膈肌膨出,称为先天性(或原发性)膈膨升症。 广义的概念通常被用来指膈肌纤维因发育不良、萎缩而异常的抬高,包括膈神经的不明病因、不明部位的损伤造成的膈肌抬高,称为获得性(或继发性)膈膨升症。 膈膨升症应该如何治疗? 膈膨升症只有在产生症状时才具有临床治疗意义,原因如下: (1)药物不能控制的呼吸功能衰竭; (2)伴胃肠道梗阻症状时; (3)不能与肿块膈疝鉴别的病例。 1947年Bisgand首次对膈膨升症进行了手术治疗并获得成功,其关键是通过手术阻止膈肌继续上移和消除矛盾运动。手术方法是膈肌折叠术,包括膈肌不切开折叠法膈肌切开折叠法和膈肌部分切除后的对端褥式缝合法。 近年来多采用电视胸腔镜微创膈肌折叠术,其膈肌折叠法因为能在电视屏幕直视下缝合避免损伤膈下脏器而更加安全可靠。电视胸腔镜手术治疗效果满意,创伤较传统开胸手术轻微,手术并发症及死亡率很低。术后患者动脉血氧分压和氧饱和度显著提高,通气功能明显改善,活动后气促等症状明显改善甚至消失。 贵州航天医院心胸外科简介 心胸外科是诊治疾病种类较为复杂,专科性非常强的一门学科。心胸外科手术难度大,风险高,对设备和配套要求也高,大众对心胸外科经常会存有误解,误认为心胸外科只是看胸外面的病,这就很容易让人联想到乳腺疾病等,其实胸外科主要看的是胸腔内的病,主要是食管、气管及肺上的疾病。如食管囊肿、食管平滑肌瘤、贲门失迟缓症、严重的反流性食管炎、食管裂孔疝、自发性食管破裂、食管、气管瘘、食管癌、食管胃交界处癌(贲门癌)、肺大疱(有时破裂引起自发性气胸)、肺脓肿、肺隔离症、肺结核球、肺结节等需到心胸外科就诊。 心胸外科导航 贵州航天医院呼吸综合楼003诊室 住院病区:呼吸综合楼4楼 门诊坐诊时间 每周一至周五 (08:00—12:00; 14:00—17:00) 咨询电话 住院病区咨询电话:27677360(医生办公室);0851-27677732(护士站) 心胸外科专家


