【航医说医】贵州航天医院成功开展胸腔镜微创巨大隔疝修补术
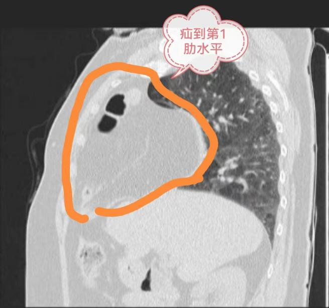
在我们体内,有许多看似平凡却至关重要的器官,它们默默合作,保障我们的生命活动能够持续且稳定地进行。其中,膈肌就是这样一个不可或缺的角色,它如同一道屏障,将胸腔和腹腔分隔开来,同时也参与呼吸的过程。然而,当膈肌出现问题时,一种名为膈疝的疾病就可能悄然发生,给我们的生活和工作带来诸多困扰,甚至威胁到我们的生命。 8年前 患者刘奶奶被当地医院 诊断为“冠心病” 一直口服药物治疗 效果不明显 近日,刘奶奶(75岁)来到贵州航天医院做了胸部CT、冠脉造影等检查,经过心血管内科、呼吸与危重症医学科、心胸外科、影像科等多学科会诊讨论,确诊并没有冠心病,而是因为有“膈疝”导致她的一系列症状。而且,刘奶奶的膈疝还非常严重,腹部的肠管和网膜已经“跑”到右侧胸腔顶部去了,还占据了整个右侧前胸腔,难怪会出现那么明显的症状。通常这类严重的膈疝多采用开放手术,需要至少15厘米长的切口。 贵州航天医院心胸外科陈光春主任团队经过精心术前准备,为刘奶奶行胸腔镜下微创膈疝修补术,仅仅在胸壁打了4个0.5-1.0cm小孔,就成功将“疝”移到右侧胸腔的肠管和网膜等腹腔内容物送回了腹腔,并将膈肌缺损的部位缝合加固,手术圆满成功。术后4天,刘奶奶各项指征恢复正常出院,她发现之前那些活动后胸闷、心悸、气促、呼吸困难等症状都消失了,一口气能走上四五楼都毫无压力。 刘奶奶的这个症状在术后得到缓解了,她感叹“这个手术过程,仅仅在胸部打了几个小“洞洞”就完成了,术后恢复还这么快!感谢航天医院的精心诊治!” 科 普 什么是隔疝? 日常说的“疝气”,一般是指在腹部体表有异常包块,用手按压的时候包块可以进入腹腔,认为包块内有气,所以称为疝气。 其实,疝是指人体内脏器或组织离开其正常位置跑到了另一地方,疝不仅会出现在体表。比如:腹腔脏器还会通过和胸腔之间的膈肌薄弱部位到达胸腔,称之为“膈疝”,此时往往因为压迫心肺而出现心悸、气促、呼吸困难、胸痛等症状而容易被误诊为心脏病或肺病。 治疗隔疝 手术是最佳治疗方法 膈疝的手术治疗方法主要包括膈疝修补术。对于先天性膈疝,如果临床无明显症状,可以等到患者年龄稍大后再进行手术治疗。 但如果出现肠梗阻或幽门梗阻等症状,或者出现心、肺压迫症状,如心悸、气促、咳嗽、胸闷、呼吸困难、发绀等,不论年龄大小都应尽早进行手术治疗。 术后注意事项 膈疝手术后的患者,在饮食方面,应遵循少食多餐、细嚼慢咽的原则,避免暴饮暴食和进食过快。同时,应选择易消化、营养丰富的食物,避免进食辛辣、油腻等刺激性食物,以免给刚刚修复的膈肌带来额外的负担。 在休息方面,患者应保持充足的睡眠和休息,避免过度劳累和剧烈运动。适度的活动可以促进血液循环和新陈代谢,有助于身体的康复,但过度活动则可能导致伤口裂开或复发。 此外,术后患者还需定期进行复查和随访,以及时发现并处理可能出现的并发症或复发情况。医生会根据患者的具体情况制定个性化的康复计划,帮助患者尽快恢复健康。 贵州航天医院心胸外科简介 心胸外科是诊治疾病种类较为复杂,专科性非常强的一门学科。心胸外科手术难度大,风险高,对设备和配套要求也高,大众对心胸外科经常会存有误解,误认为心胸外科只是看胸外面的病,这就很容易让人联想到乳腺疾病等,其实胸外科主要看的是胸腔内的病,主要是食管、气管及肺上的疾病。如食管囊肿、食管平滑肌瘤、贲门失迟缓症、严重的反流性食管炎、食管裂孔疝、自发性食管破裂、食管、气管瘘、食管癌、食管胃交界处癌(贲门癌)、肺大疱(有时破裂引起自发性气胸)、肺脓肿、肺隔离症、肺结核球、肺结节等需到心胸外科就诊。 心胸外科导航 贵州航天医院呼吸综合楼003诊室 住院病区:呼吸综合楼4楼 门诊坐诊时间 每周一至周五 (08:00—12:00;14:00—17:00) 咨询电话 住院病区咨询电话:27677360(医生办公室);0851-27677732(护士站) 心胸外科专家 精彩推荐 1.【义诊预告】6月1日,贵州航天医院多名资深儿科专家开展义诊活动 2.【航医科普】贵州航天医院前列腺增生微创治疗——经尿道前列腺钬激光剜除术(HoLEP),为您解决“男”言之隐


