【航医担当】贵州航天医院呼吸与危重症医学科学科带头人廖江荣指导榕江县人民医院成功开展首例CT引导下经皮肺穿刺微波消融术
贵州航天医院呼吸与危重症医学科
学科带头人廖江荣指导
榕江县人民医院成功开展首例
CT引导下经皮肺穿刺微波消融术
6月16日,在国务院政府特殊津贴专家、贵州航天医院呼吸与危重症医学科学科带头人廖江荣的指导下,我院呼吸与危重症医学科专科联盟单位——榕江县人民医院成功开展首例肺癌微波消融术。
此例手术是黔东南州县级医疗机构的首例,标志着榕江县人民医院在肺癌治疗领域迈出了坚实的步伐。
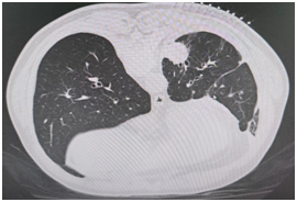
术前
术后
患者(男性,60岁)因长期咳嗽、胸痛等症状入院,经CT检查、支气管镜及肺穿刺活检,确诊为肺腺癌。
廖江荣教授指导榕江县人民医院手术
在廖江荣的指导下,榕江县人民医院医生通过CT精准定位肿瘤位置,为患者实施CT引导下经皮肺穿刺微波消融术,使用微波消融针将微波能量直接作用于肿瘤组织,使肿瘤细胞凝固性坏死,整个手术仅短短30分钟便顺利完成。术后,患者未出现任何不良反应,恢复良好。
贵州航天医院呼吸与危重症医学科现已同四川、云南、重庆及省内9个地市州等60余家市、县级医院建立专科联盟合作关系,充分发挥辐射带动作用,每月数次前往基层医院开展技术培训和指导、学术讲座等工作,涵盖了气管镜、内科胸腔镜和经皮肺穿刺等诊疗技术,并举办基层医务人员呼吸介入、肺结核诊疗新进展学习培训班,推广呼吸疾病诊疗新技术,有效推动了各基层专科联盟单位呼吸疾病诊治能力的提升。
微波消融科普小知识
微波消融是在微波电磁场的作用下,在短时间内产生高达60-150℃的高温,导致病变细胞凝固性坏死,相对冷冻消融,手术时间更短。
贵州航天医院呼吸与危重症医学科微创介入诊疗技术已达到国内前列,省内领先水平,是中国肺癌防治联盟贵州航天医院肺结节诊治分中心、中国介入医学产业技术创新联盟肿瘤热消融中心理事单位、亚洲冷冻治疗学会(冷冻消融)示范单位,并获批成立遵义市肺结节多学科微创诊疗中心。
通过心胸外科、呼吸与危重症医学科、医学影像科等多学科会诊机制,结合患者情况,采取外科手术、冷、热消融等多种治疗手段,帮助患者安全、有效、精准、科学、快速治疗肺结节,单次消融手术时间约半小时左右,几乎没有疼痛,且并发症少,3-5天即可出院,有效减少了患者因开刀手术需长时间恢复的痛苦。
呼吸与危重症医学科专家团队
学科带头人
廖江荣
国务院政府特殊津贴专家
二级教授 硕士研究生导师 主任医师
呼吸与危重症医学科学科带头人
国家级学术任职:
第二届中国医药教育协会介入微创专业委员会呼吸分会副主任委员
中国抗癌协会肿瘤微创治疗专业委员会常务委员
中国防痨协会结核病转化医学专业分会常务委员
第一届中国人体健康科技促进会呼吸介入专委会常务委员
中国医疗保健国际交流促进会结核病学分会第三届委员会常务委员
中国抗癌协会肿瘤微创治疗专业委员会粒子治疗学组第四届委员会委员
中华医学会结核临床专业委员会内镜介入委员
中华医学会放射学分会第十五届委员会介入学组呼吸系统介入专业委员会委员
北京健康促进会中青年专家委员会胸部疾病精准活检分委会副主任委员
中国医师协会介入医师分会第二届委员会肿瘤消融专业委员会委员
中国结核病防治综合质量控制专家指导委员会委员
亚洲冷冻治疗学会常务委员
世界内镜医师协会呼吸内镜协会常务理事
内镜临床诊疗质量评价专家委员会委员
“西部呼吸介入联盟”副理事长
专业擅长:
呼吸系统(肺)疑难病的诊断及危重病的抢救,呼吸系统(肺)感染性、疑难性疾病介入快速诊断(ROSE),尤其在肺癌、肺小结节早期诊断,肺癌微创综合靶向治疗,难治性、复治性、重症肺结核诊疗,硬质支气管下复杂性气道狭窄诊治,纤支镜介入治疗气道肿瘤、结核、气道狭窄(球囊扩张、支架植入、高频电刀、氩气刀、冷冻、灌洗、注药、微波消融),间质性肺疾病的诊疗上具有极高水平;带领团队勇于创新,在贵州省率先开展多项新技术、新疗法,如CT引导下及纤支镜下I125粒子植入及CT引导下微波、射频消融介入治疗肺癌等多项新技术,带动了贵州省肺部疾病的介入治疗水平提高。
科室专家
左右滑动查看更多
呼吸与危重症医学科简介
贵州航天医院呼吸与危重症医学科是省内呼吸疾病治疗规模最大,诊疗项目最全的呼吸疾病品牌科室。是贵州省医学重点学科、临床医学重点专科建设单位,遵义市首批呼吸重点学科、重点专科建设单位。是国家卫健委能力建设和继续教育肿瘤微创介入建设中心、贵州省县级医院微创介入培训中心、遵义市呼吸疾病临床医学中心。是国家呼吸医疗质量控制与管理哨点医院、遵义市呼吸内科专业医疗质量控制中心。是中国医药教育协会介入微创呼吸分会呼吸介入技术培训中心单位;国家卫健委海医会呼吸分会ROSE专委会“诊断性介入肺脏病学快速现场评价”培训基地;中国肺癌防治联盟“贵州航天医院肺结节诊治”分中心,中国人体健康科技促进会呼吸介入技术培训基地,贵州省中西医结合会呼吸学分会呼吸介入专委会主委单位。
诊疗范围
航天医院呼吸专科擅长:致力于呼吸系统感染性、疑难性疾病的介入快速精准诊疗;肺癌与肺小结节早期精准诊疗水平项目提升。擅长于呼吸系统(肺)疑难病的诊断及危重病的救治,尤其在肺癌、肺小结节的早期诊断;肺癌综合靶向治疗;肺结核综合诊疗;肺部疾病的介入诊疗在省内处于前沿水平。
咨询热线
(一)呼吸与危重症医学科一病区
医生办公室:27677317
护士站:28614217
(二)呼吸与危重症医学科二病区
医生办公室:28691274
护士站:28690442
(三)呼吸与危重症医学科三病区
医生办公室:28692417
护士站:28690461
(四)呼吸与危重症医学科四病区
医生办公室:28616402、27677582
护士站:28614987、27677862
精彩推荐
1.【行业翘楚】贵州航天医院呼吸与危重症医学科年度成就精彩回顾之一--荣誉篇
2.【行业翘楚】贵州航天医院呼吸与危重症医学科年度成就精彩回顾之二--能力篇
3.【行业翘楚】贵州航天医院呼吸与危重症医学科年度成就精彩回顾之三--学术篇
6.培训预告| 贵州省基层医院呼吸内镜技术及相关介入技术基础培训班(第六期)即将开始
7.盛夏三伏,中医养生|贵州航天医院“三伏贴”预约活动开始啦!
8.【航医说医】不开刀怎么治疗肺结节?速来了解贵州航天医院肺结节冷冻、微波消融术
9.【航医说医】发现肺结节不用再“纠结”,贵州航天医院肺结节MDT门诊为您制定个体化诊疗方案
供 稿:呼吸与危重症医学科
编 辑:唐语蔚
一 审:王黔宇
二 审:陈 伟
三 审:蒙昌耀


