【航医说医】挑战新高度——我院泌尿外科团队成功完成全腹腔镜下巨大肾癌根治术
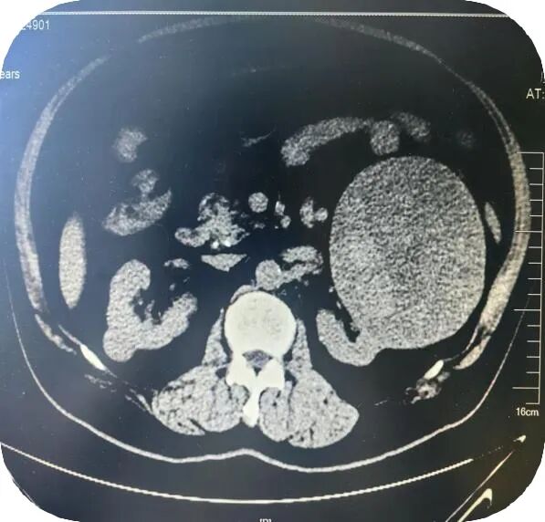
近日,贵州航天医院泌尿外科团队成功为一名患者实施了全腹腔镜下巨大肾癌根治术,这不仅标志着泌尿外科团队医疗技术的一次重大突破,更为患者在家门口带来了治疗的希望。 案例分享 67岁的王先生因“体检发现左肾包块1年”,发现时未予重视及治疗,但近期发现腹部包块增大就前往我院泌尿外科门诊就诊。患者入院后检查发现肌酐轻度升高,泌尿系增强CT及MRI均强烈提示左肾存在恶性肿瘤性病变,包块大小约200×150×120mm,且右侧骼骨高密度影提示需排除骨转移可能。 在与患者及家属沟通后,他们坚持手术治疗,泌尿外科主任石英、副主任医师李凯多次组织相关医生进行术前讨论和评估,精准设计手术方案,在泌尿外科团队奋战2小时后,成功为患者实施全腹腔镜下巨大肾癌根治术,切除巨大肾脏肿瘤。术后病理确诊为肾细胞癌,左侧肾上腺皮质有增生伴多发小结节,周围组织未见癌浸润。患者术后恢复良好,1周后便安全出院。 术 前 术 后 1 什么是肾癌 肾癌,全称为肾细胞癌,是指肾脏细胞发生癌变,异常地生长、增殖并向其他全身器官侵袭、转移的一种恶性疾病。它是原发于肾细胞的一种癌症,有多种细胞类型,其中60%~85%为透明细胞癌,主要源于肾小管上皮细胞。肾癌的瘤体多为实性,表现为类圆形肿块。 2 肾癌的症状 早期: 肾癌早期通常没有典型的症状,多数患者是在体检或做B超、CT检查时发现肾脏有占位性病变。 中晚期: 1.腰痛、腹部包块或肉眼血尿。 2.由于肾癌吸收大量的血红素和营养成分,导致肾脏促红素分泌下降,出现贫血现象。 3.少数肾癌病人会出现病理性转移,引起病理性骨折现象。 4.肾癌病人还可能出现泌乳现象。 5.由于肿瘤局部转移或局部扩散,肾癌病人还可能出现局部疼痛和肠梗阻症状,部分病人还会出现消瘦、恶液质现象。 6.当肾癌引起肾脏静脉瘤栓并导致下腔静脉梗阻时,还会出现下肢水肿症状。 3 全腹腔镜下巨大肾癌根治术如何治疗肾癌? 全腹腔镜下巨大肾癌根治术是一种比较先进的手术方式,它利用腹腔镜技术,通过微小切口在腹腔或后腹膜腔途径进行手术,完整切除整个肾脏及其周围可能受累的组织。 手术过程中,医生会在患者腹部做几个小切口,通过这些切口插入腹腔镜及其相关手术器械。腹腔镜具有高清摄像功能,能够将腹腔内的图像实时传输到显示器上,使医生能够清晰地看到手术部位。在腹腔镜的引导下,医生进行精确的手术操作,切除整个肾脏及其周围筋膜内的组织。 4 全腹腔镜下巨大肾癌根治术优势 与传统的开放手术相比,全腹腔镜下巨大肾癌根治术具有以下优点: 创伤小:手术切口小,减少了组织损伤和出血量。 恢复快:术后患者疼痛轻,恢复速度快,缩短了住院时间。 并发症少:由于手术操作精确,减少了术后并发症的发生。 美观性好:手术切口小且隐蔽,有利于保持患者的美观性。 注:图片来源于网络,如有侵权,请联系删除。 推荐 阅读 1.【航医精品】泌尿外科精品技术介绍——经尿道钬激光前列腺剜除术(HoLEP) 贵州航天医院泌尿外科 专家团队 石 英 泌尿外科主 任 学科带头人 主任医师 中国医师协会泌尿外科分会感染协作组委员,奥林巴斯泌尿系软镜西南区专家组成员,西南地区第一批输尿管软镜专家组成员,贵州省医学会泌尿外科分会委员,贵州省性学会理事,贵州省性学会常务委员,贵州省泌尿外科专业医疗质量控制中心专家委员会委员。 从事泌尿外科专业近30年,熟练掌握泌尿系各类疾病的诊治,具有丰富的临床经验,擅长泌尿系结石、腹膜后肿瘤及泌尿系肿瘤的手术治疗,对泌尿系感染、泌尿系结核、尿源性脓毒血症的救治有独到的见解及抢救经验,在贵州省率先引入输尿管软镜技术,同时在男科领域,对男性阳痿、早泄及前列腺疾病有很深的研究。 李 凯 泌 尿 外 科 副 主 任 医 师 贵州航天医院肿瘤腔镜组带头人,擅长肾癌根治术、输尿管癌根治术、膀胱及前列腺癌根治术、腹腔镜输尿管狭窄切除吻合术、输尿管切开取石术等手术,在遵义市率先开展泌尿系结核后膀胱挛缩全腹腔镜下膀胱扩大术。 贵州省医学会泌尿外科分会青年委员,遵义市医学会男科分会常务委员,遵义市医学会泌尿外科分会常务委员。 李国成 泌 尿 外 科 副 主 任 医 师 中国人体健康科技促进会男科学专业委员会委员,贵州省性学会泌尿外科分会委员,贵州省医学会男科学分会委员,遵义市医学会男科学分会副主任委员兼秘书长,遵义市医学会泌尿外科分会常务委员,贵州航天医院男科带头人。 从事泌尿外科及男科工作10余年,曾多次在上海交通大学附属第一人民医院,中国中医科学院西苑医院进修学习男科;擅长性功能障碍的诊治,男性整形手术,前列腺增生激光手术,显微手术等。 贵州航天医院泌尿外科简介 • ✦ 基本情况 ✦ • 贵州航天医院泌尿外科是贵州省临床重点专科,具备先进检查及治疗设施,可进行各种泌尿外科所需临床检查和治疗。拥有先进的美国科医人钬激光碎石及前列腺剜除系统、体外冲击波碎石机、等离子电切设备、奥林巴斯输尿管软镜、STORZ输尿管电子软镜、腹腔镜、膀胱镜、输尿管镜、肾镜、美国KLS能量平台及各种显示系统,男科专用的ED超声治疗仪、精液分析、显微镜、男科检查平台、尿动力仪、结石分析仪等。 除了传统的开放性手术外,已常规开展各种微创性手术,同时在尿动力学及结石成分方面的研究已走在省内前列,在贵州省内率先开展前列腺钬激光剜除术治疗前列腺增生症,等离子电切术在前列腺增生、膀胱肿瘤、在尿道狭窄中手术的应用,腹腔镜手术(肾囊肿、肾上腺肿瘤、肾输尿管结石及肾切除手术),肾癌、肾盂癌、输尿管癌、膀胱癌、前列腺癌根治术,泌尿系统畸形及泌尿系重建,在遵义地区率先开展钬激光技术应用于泌尿外科临床,率先使用输尿管硬镜、软镜及肾镜联合钬激光治疗泌尿系结石,开展尿动力学、泌尿系结石分析,填补了遵义地区空白,率先开展针状肾镜激光碎石取石术。 • ✦ 诊疗范围 ✦ • 一、泌尿系肿瘤、炎症、小儿泌尿系疾病、男科疾病、女性排尿异常与盆底功能障碍疾病。如:肾上腺肿瘤、肾肿瘤、肾盂输尿管肿瘤、膀胱肿瘤、前列腺肿瘤、生殖器肿瘤、排尿功能障碍、泌尿系畸形及肾后性肾功能障碍、女性尿道综合征、泌尿系感染以及泌尿道疼痛、婴幼儿男性性腺和性器官发育异常、青春期男性性器官和功能发育延迟、男性生殖功能障碍、男子节育与避孕、中老年男子生殖健康以及老年男子性腺功能减退症、生殖器官常见疾病、男性生殖器感染以及性传播疾病、外生殖器官畸形与矫形、损伤。 二、泌尿系结石。如:肾结石、输尿管结石、膀胱结石、前列腺尿道结石、泌尿系畸形合并结石、尿流改道术后合并泌尿系结石。 三、独立开展男科疾病诊治,设有单独男科门诊。 • ✦ 咨询信息 ✦ • 门 诊 地 址:门诊部110诊室 坐诊时间: 周一至周五(08:00-12:00;13:00-17:00) 周末及节假日(08:00-12:00;13:00-16:00) 咨询电话 门 诊:28690349 医生办公室:27677326 病房护士站:27677518 END
作 者:严文江(泌尿外科)


