贵州首台!落户遵义
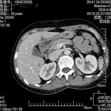
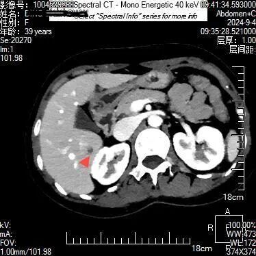
上腹部隐痛不适半个月,在当地医院就诊未发现明显异常,患者到贵州航天医院就诊,被检出肝脏肿瘤性病变,得到了及时诊治。 近日,一位39岁的女性患者在贵州航天医院就诊,通过该院最新引进的贵州首台飞利浦皓克双层探测器光谱CT,进行高精度扫描,该院医师利用光谱CT多参数能谱数据分析中的单能40KeV、碘密度图及有效原子序数功能,对患者进行了细致分析,医师在患者肝脏S6段发现一隐匿性肿瘤性病变,患者得以早期发现及时治疗。 采用光谱有效原子序数图 贵州航天医院医学影像科主任余雷向记者介绍,这个病例凸显了飞利浦皓克光谱CT对隐匿性肿瘤诊断的独特优势,其多参数光谱功能为医师提供了精确和更多的诊断依据,从而确保了患者病变的早期发现、得到及时准确的治疗。 余雷介绍,贵州航天医院为贵州省首家引进飞利浦皓克光谱CT,256排双层探测器的医院。皓克光谱CT扫描速度快、辐射剂量小,实时扫描既能产生光谱曲线、有效原子序列图、碘密度测量、尿酸及结石成分分析等16种不同参数的能谱数据图像,同时,在心血管、肿瘤、神经等系统的疾病准确诊断方面有其独特的价值,能够发现隐匿性肿瘤病灶,利用光谱曲线、碘定量测量等,可以准确分析肿瘤的良恶性,多发病灶的同源性;还能显示心肌缺血病灶,对血管斑块进行定量定性分析。 “目前,该设备已在我院放射科安装完成并投入使用。与传统CT相比,皓克光谱CT不仅提升了疾病鉴别诊断的准确性,还能指导临床个性化、精准化的治疗方案。”余雷介绍。 更多内容请关注遵义晚报视频号 ▼▼▼ 遵义晚报 4 审核:张小东 徐飞 责编 :胡笳
全媒记者:罗洋
编辑 :杨露更多精彩新闻


