【航医精品】心血管内科精品技术——急性心肌梗死伴发室间隔穿孔微创介入封堵术
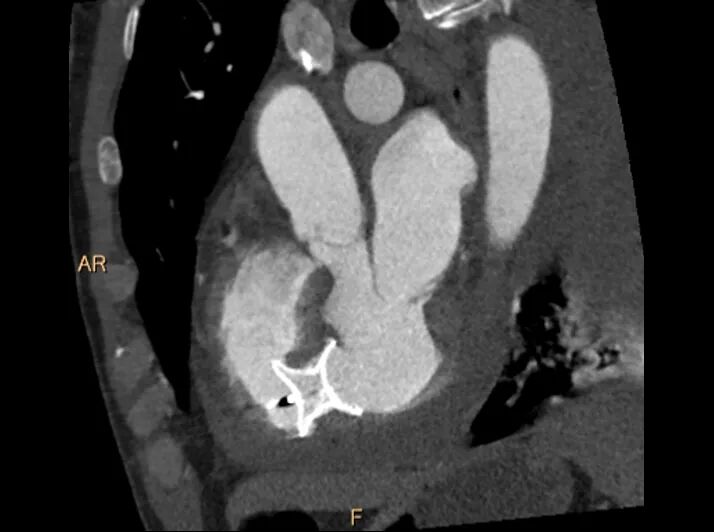
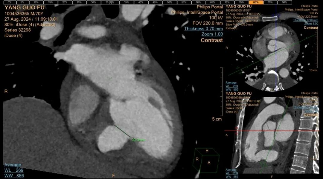
胸痛中心急救电话 17785233019 近年来,贵州航天医院各科室紧跟医学前沿,不断强技术、补短板,大力开展新技术、新项目,完成了许多高精尖、高难度、本地区“首例”的技术,填补了医院医疗技术空白,满足了群众日益增长的医疗需求。 本期,我们将为大家带来心血管内科特色技术——急性心肌梗死伴发室间隔穿孔微创介入封堵术(贵州省内可独立完成此项手术的医院屈指可数)。 案例分享 近期,一名面色苍白、大汗淋漓的患者因急性胸痛被紧急送往我院急诊科,当时患者还伴发严重的急性心衰和心源性休克,病情十分危重,我院急诊科和心血管内科团队当即为患者进行心电图和心脏彩超检查,并在最短时间内得出检查结果,心电图提示:急性下壁ST段抬高型心肌梗塞,心脏彩超提示:急性心肌梗死引发室间隔穿孔。抢救团队争分夺秒,为患者紧急实施了冠脉造影及支架植入治疗,成功稳定了患者的生命体征。 然而,急性心肌梗死引发的室间隔穿孔是一个极为棘手的问题,心血管内科深知开展此例手术的风险性,对此高度重视,立即组织超声科、麻醉科、医学影像科、心脏外科、介入手术室、重症医学科等科室进行多学科讨论(MDT),并在各科室的配合下开展急性心肌梗死伴发室间隔穿孔微创介入封堵术。 考虑患者手术风险大,疼痛刺激可能会加重交感兴奋再次诱发恶性心律失常风险,心血管内科团队在全麻下进行室间隔穿孔封堵治疗,通过穿刺右股静脉、右股动脉,常规行冠脉造影复查冠脉支架通畅,未见狭窄及血栓;又通过DSA进行左心室造影,再次评估室间隔缺损大小,最后成功为患者封堵室间隔穿孔,术后患者病情平稳,住院观察5天后顺利出院。 急性心肌梗死伴发室间隔穿孔这类病例,自然病程8周内的死亡率高达75%,24小时内死亡率也高达25%,此类手术难度系数相当大且死亡率极高。该例患者的及时、成功救治,展现出我院多学科在应对急危重症诊疗工作时所具备的强大实力,更凸显出我院在疑难重症诊治方面的责任与担当。 什么是急性心肌梗死伴发室间隔穿孔 急性心肌梗死后室间隔穿孔(ventricular septal rupture,VSR)是心肌梗死后严重但可以治疗的机械并发症。由于急性心肌梗死后室间隔发生缺血并出现破裂导致的继发性室间隔缺损。 急性心肌梗死伴发室间隔穿孔微创介入封堵术原理 急性心肌梗死伴发室间隔穿孔微创介入封堵术属于外科手术,是利用室间隔穿孔封堵器(哑铃状,左右两边各有一个圆盘,腰呈圆柱体)进行手术,封堵器腰部在释放前收入导管中,导管通过血管到达心房后,放入缺损的位置,在X光机和超声双重定位下,打开封堵器左室盘堵住缺损,再释放右室盘,将室间隔缺损夹在两个圆盘中间,实现对缺损的封堵。 急性心肌梗死伴发室间隔穿孔微创介入封堵术优势 创伤小,痛苦少,疗效迅速,患者普遍易于接受。 贵州航天医院心血管内科 专家团队 姜黔峰 国务院政府特殊 津贴专家 二级教授 博士研究生导师 医学博士 学科带头人 主任医师 贵州省千层次人才,遵义市15851二层次人才。中国胸痛中心执委会委员,国家放射与治疗临床研究中心“国家胸痛中心专家委员会"副主席,中国医疗保健国际交流促进会第二届高血压分会委员,中国医师协会全国高血压专业委员会第一届青年委员,中华老年医学学会心血管分会委员,中国高血压联盟第六届理事会理事,亚太心脏联盟结构性心脏病第一届委员会委员,贵州省中西医结合学会心血管病分会副主委,中华医学会贵州省心脏起搏与电生理分会常委,中华医学会贵州省老年医学分会常委。完成多项省、市级科研课题,主持国家自然科学基金1项。已在国内外期刊发表学术论文100余篇。 临床擅长:高血压、冠心病、心衰的诊治及心血管疾病的介入治疗,尤其擅长先天性心脏病微创介入治疗,已成功完成介入手术治疗2000余例 沈万贵 心血管内科主任 副主任医师 专业擅长:从事临床工作约33年,对冠心病,高血压病,各种心肌病等疾病的诊治以及内科疑难杂症疾病的诊疗具有丰富诊疗经验,累计实施冠心病、外周血管等疾病的介入手术诊疗过万例。擅长于冠脉复杂病变的介入手术治疗、肾动脉狭窄介入手术、下肢深静脉血栓的介入手术治疗。 贵州省医学会心血管病分会常务委员、贵州省心脏病康复医学会常务委员,遵义市医学会心血管病分会副主任委员,西南高血压病管理委员会常务理事,贵州省冠心病组委员;发表学术论文20余篇。 张羽坤 心血管内科 主任医师 专业擅长:具备心血管疾病心律失常介入(导管消融及植入器械)国家级手术资质,参与各类心脏介入手术6000余例。以第一作者在国内核心期刊发表医学论文10余篇,主持市级科研项目1项。 硕士研究生,曾先后前往贵州省人民医院、国家心脏中心北京阜外心血管病医院学习深造(2017年11月至2018年11月参加第二期黔医人才计划并获得优秀学员称号),2022年获得贵州省“第二届最美劳动者”称号。 中国医疗保健国际交流促进会心律与心电分会第三届委员,中国老年医学学会心血管病分会第二届委员会基层委员,贵州省心电生理与起搏分会委员,贵州省中西医结合学会心血管专业委员会委员,遵义医学会心血管病学分会常委,遵义市医学会(第六届)理事会理事,遵义市健康科普专家;是遵义医科大学科技学院及遵义医药高等专科学校兼职教师。 李树刚 心血管内科 副主任医师 专业擅长:具备冠心病介入手术治疗资质,对心内科各种常见病、多发病及急性冠脉综合征疾病具有丰富的临床诊治经验,完成各项冠心病介入治疗6000余台。 毕业于遵义医学院临床医学专业,以第一作者在国内核心期刊发表医学论文数篇,主持并结题市级科研项目1项;遵义市医学会心血管病分会委员,遵义市健康科普专家成员。 胡兴丽 心血管内科 副主任医师 专业擅长:对心血管及内分泌相关常见疾病的诊治及抢救工作具有丰富的临床经验,擅长心血管及心律失常的介入手术。 2009年毕业于遵义医学院临床医学专业,临床工作10余年,有外出进修 CCU 学习经历,发表论文数篇。云贵川高血压联盟委员。 杨 菊 心血管内科 副主任医师 临床擅长:具备心血管疾病冠脉介入手术资质,参与各类冠心病介入手术3000余例。 医学硕士,遵义市医学会心血管病分会委员,多次获得“优秀党员”、“优秀帮扶对象”、“优秀带教老师”等荣誉称号,遵义医药高等专科学校及遵义医科大学科技学院兼职教师;以第一作者在国内核心期刊发表医学论文数篇,主持并结题市级科研项目1项。 张 禹 心血管内科 副主任医师 临床擅长:熟练掌握冠心病、心律失常、高血压、心力衰竭、风湿性心脏病、扩心病等心血管疾病诊治,以及急、危、重症病人的救治。 2017年在重庆第三军医大学新桥医院心内科进修学习,2018年贵州省人民医院进修心律失常介入治疗,取到心血管疾病心律失常介入(导管消融)国家级手术资质,参与冠脉介入、射频消融、起搏器置入等心内科介入手术4000余例;是遵义市医学会心血管病分会委员。 李茂春 心血管内科 副主任医师 临床擅长:1995年毕业于遵义医学院临床医学系,从事临床工作28年,熟练掌握高血压、冠心病等心血管疾病的诊治及危急重症患者的救治,擅长糖尿病、甲状腺功能亢进、代谢综合征等内分泌代谢性疾病的诊治,在多年的临床工作中对内分泌代谢疾病、心血管疾病的诊治中积累了丰富临床的经验。 贵州省医学会内分泌暨糖尿病学分会第七届委员会甲状腺学组组员,遵义市内分泌暨糖尿病学分会第一届委员会常务委员,贵州省康复医学会骨内科专业委员会遵义地区分会常务委员。多年来在省内外期刊发表论文数十篇。 刘忠凤 心血管内科 副主任医师 临床擅长:对结构性心脏病超声心动图的判读及解析、结构性心脏病的诊疗有丰富的临床诊疗经验;擅长心血管常见多发病及难治性心衰的诊治、恶性心律失常的抢救。 遵义市医学会心血管病分会委员,遵义市医学会内分泌暨糖尿病分会委员,遵义市医学会骨质疏松暨骨矿盐疾病学分会委员;曾前往贵州省人民医院超声心动图室、四川大学华西医院超声科进修学习超声图;发表省级期刊数篇,参与结构性心脏病术中超声指导。 贵州航天医院心血管内科简介 • ✦ 基本情况 ✦ • 贵州航天医院心血管内科编制床位60张,配置了29台24小时动态心电图、110台24小时动态血压、心脏除颤仪、监护仪、输液泵、微量注射液,同步12导联、18导联心电图机、临时心脏起搏器、床旁血糖仪、主动脉内球囊反搏、食道超声、血管内超声诊断仪及DSA心血管诊疗等。 • ✦ 学科、专科建设 ✦ • 近年来成功获批胸痛中心、房颤中心、儿童先天性心脏病定点救治单位授牌;是遵义市临床重点专科、远程心电示范中心、高血压慢病管理示范中心。 • ✦ 诊疗范围 ✦ • 开展了急诊冠脉介入诊疗,冠脉复杂病变介入术、冠状动脉斑块旋磨术、心脏再同步治疗起搏器植入术、心脏再同步治疗除颤器植入术、射频消融术【心房颤动(导管消融、冷冻消融)、心房扑动、房性心动过速、室性心动过速、室性早搏】、结构性心脏病介入治疗【房间隔缺损(卵圆孔未闭)封堵术、室间隔缺损封堵术、动脉导管未闭封堵术、冠状动脉瘘封堵术、左心耳封堵术等】、临时起搏器植入术、常规永久起搏器植入术(双腔、单腔)、下肢动静脉造影术、下腔静脉滤器植入及取出术、自主肾上腺静脉采血、颈动脉支架植入术、外周动脉支架植入术、肾动脉支架植入术等,积极开展冠脉内超声检查、FFR、OCT、心脏射频三维手术、房颤一站式治疗(房颤射频消融术+左心耳封堵术)、主动脉瓣介入术等,并邀请院外专家指导成功开展腹主动脉支架植入术。 • ✦ 咨询信息 ✦ • 门 诊 地 址:贵州航天医院呼吸综合楼1楼013诊室。 住院病区 地 址:贵州航天医院外科综合楼9楼 咨询电话 护士站:28611793 医生办公室:27677832
作 者:王 磊(心血管内科)
编 辑:陈 伟
一 审:沈万贵(心血管内科)、彭 亮(医务部)
二 审:唐语蔚、刘 鑫
三 审:蒙昌耀


