【航医精品】呼吸与危重症医学科精品技术介绍:放射性粒子植入技术治疗肺部恶性肿瘤
多年来,贵州航天医院各科室紧跟医学前沿,不断强技术、补短板,大力开展新技术、新项目,完成了许多高精尖、高难度、本地区“首例”的技术,填补了医院医疗技术空白,满足了群众日益增长的医疗需求。
贵州航天医院呼吸与危重症医学科是贵州省内呼吸疾病治疗规模最大,诊疗项目最全的呼吸疾病品牌科室,呼吸介入技术达到了全国先进水平,在贵州省内处于领先的地位。
本期,我们将为大家带来呼吸与危重症医学科在省内率先开展的特色技术——放射性粒子植入技术治疗肺部恶性肿瘤。
案例分享
案例一
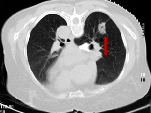
患者王先生(化名),因长期咳嗽、胸闷、气促前往我院呼吸与危重症医学科就诊,查胸部CT后,见到左主支气管下端完全阻塞,并伴有胸腔积液,考虑肺癌;随后呼吸与危重症医学科专家团队为患者实施经支气管镜检查,发现患者左主支气管壁存在肿瘤组织,病理报告显示肺鳞癌,最终在科室专家严格的诊断下,确诊为:左肺鳞癌IIIB期(中晚期)。
考虑患者自身情况,经科室专家团队严谨的讨论评估,若进行外科手术将切除全肺,患者生活质量将大幅下降,在充分征求患者及家属意见并同意后,科室为患者制定了放射性粒子植入治疗的方案并实施治疗。治疗三周后,复查支气管镜,患者左支气管通畅,治疗一月后,病灶稳定并呈现缩小的趋势。
案例二
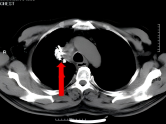
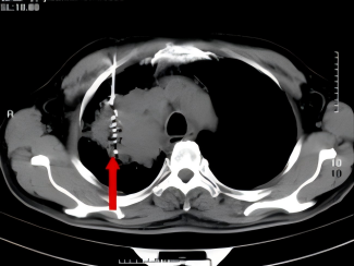
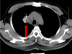
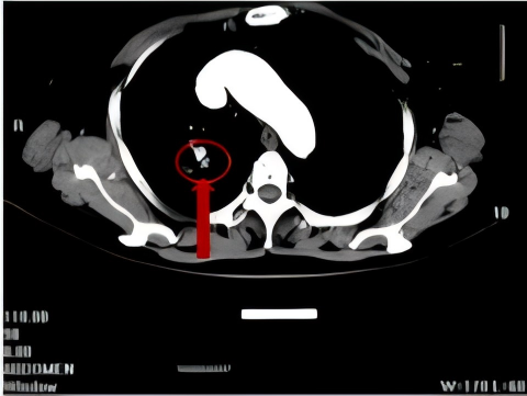
2011年,一名70岁患者因出现咳嗽、咳痰带血等症状就诊于我院呼吸门诊,在完善CT等相关检查后,患者被诊断为右上腺癌(多原发),在充分的与患者及家属进行沟通后,明确表示不接受外科手术,科室为患者制定并实施了CT引导下经皮肺穿刺射频消融+碘125粒子植入放疗+化疗的治疗方案。
术 前
术 后
患者分别在治疗4月和1年后复查胸部CT显示病灶稳定,病情得到进一步控制。
术后4月复查
术后1年复查
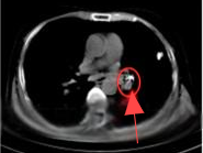
术后9+年,患者再次到我院复查胸部CT,发现右上肺上方(尖段)新增结节,诊断为转移瘤,征得患者及家属同意后,再次为患者实施右上肺尖段新增结节碘125粒子植入技术,进一步为患者稳定病灶。
术后9+年复查
右上肺尖段新增结节碘125粒子植入
案例三
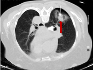
68岁患者,因长期咳嗽、气喘、气急等症状前来我院呼吸与危重症医学科就诊,在进行CT检查后,发现患者右肺存在肿瘤,进一步完善相关检查后,诊断为右肺鳞癌IIIB期,因考虑到患者肿瘤较大,需切除大部分肺组织,对肺功能影响非常大,在充分尊重患者意愿下,科室为患者制定了多种治疗方案,最终患者选择了CT引导下经皮肺穿刺碘125粒子植入治疗。综合治疗5月后,患者病灶明显缩小,2年后复查,患者病灶稳定。
碘125粒子植入术后
综合治疗5月后
综合治疗2年后
什么是放射性粒子植入技术
是一种将放射性粒子通过微创、穿刺、气管镜等方式直接植入肿瘤组织或其附近区域的治疗方法。这种治疗方法犹如一颗颗小太阳,通过持续释放低剂量的γ射线来杀灭肿瘤细胞,同时尽量降低对正常组织的辐射损伤,患者可以正常生活饮食,无明显禁忌。
放射性粒子植入技术原理
放射性粒子植入技术的主体是镀在银丝表层的放射性碘125同位素,并包裹在纤薄的钛合金管里面。颗粒外径只有0.6或0.8mm,长度只有4.5mm,通过现代影像学技术将具有放射性核素直接插植到肿瘤靶体积内或肿瘤周围,利用放射性核素持续释放射线对肿瘤细胞进行杀伤,在人体中不会产生明显占位效应,也不会因为组织不相容而产生明显的排异炎性反应。
放射性粒子植入技术优势
(一)能够把粒子准确植入肿瘤中,定位精准,靶向性强,高度适形。
(二)肿瘤接受的放射剂量明显增加,而不增加正常组织的剂量。
(三)持续低剂量率放射,能对不同分裂周期的肿瘤细胞进行不间断照射,提高了放射敏感性,累计射线剂量可达外放疗的2~3倍,有较高的放射生物效应。
(四)粒子植入的部位肿瘤组织可被彻底杀灭,距粒子1cm以外的正常组织几乎不受损伤,能有效降低正常组织受照剂量,正常组织损伤小,几乎不造成白细胞下降、骨髓抑制、胃肠道反应、脱发等副作用,病人无痛苦。
(五)粒子外壳为钛合金,与人体有很好的组织相容性,不会产生排异及放射泄露。
(六)与其他的肿瘤治疗方法相比,创伤小、生活质量高、住院时间短。
(七)能与手术、化疗及外放疗配合互补提高疗效。
贵州航天医院呼吸与危重症医学科是贵州省率先开展放射性粒子植入技术治疗肺部恶性肿瘤的先锋科室,自2007开展以来,通过不断探索、实践与积累,该技术已经达到了相当成熟的水平,在患者的病灶稳定或缩小、生存时间延长等方面得到了有力证明。
贵州航天医院
呼吸与危重症医学科专家团队
廖江荣
国务院政府特殊津贴专家
二级教授 主任医师
贵州航天医院副院长
国家级学术任职:
第二届中国医药教育协会介入微创专业委员会呼吸分会副主任委员
中国抗癌协会肿瘤微创治疗专业委员会常务委员
中国防痨协会结核病转化医学专业分会常务委员
第一届中国人体健康科技促进会呼吸介入专委会常务委员
中国医疗保健国际交流促进会结核病学分会第三届委员会常务委员
中国抗癌协会肿瘤微创治疗专业委员会粒子治疗学组第四届委员会委员
中华医学会结核临床专业委员会内镜介入委员
中华医学会放射学分会第十五届委员会介入学组呼吸系统介入专业委员会委员
北京健康促进会中青年专家委员会胸部疾病精准活检分委会副主任委员
中国医师协会介入医师分会第二届委员会肿瘤消融专业委员会委员
中国结核病防治综合质量控制专家指导委员会委员
亚洲冷冻治疗学会常务委员
世界内镜医师协会呼吸内镜协会常务理事
内镜临床诊疗质量评价专家委员会委员
“西部呼吸介入联盟”副理事长
专业擅长:
呼吸系统(肺)疑难病的诊断及危重病的抢救,呼吸系统(肺)感染性、疑难性疾病介入快速诊断(ROSE),尤其在肺癌、肺小结节早期诊断,肺癌微创综合靶向治疗,难治性、复治性、重症肺结核诊疗,硬质支气管下复杂性气道狭窄诊治,纤支镜介入治疗气道肿瘤、结核、气道狭窄(球囊扩张、支架植入、高频电刀、氩气刀、冷冻、灌洗、注药、微波消融),间质性肺疾病的诊疗上具有极高水平;带领团队勇于创新,在贵州省率先开展多项新技术、新疗法,如CT引导下及纤支镜下I125粒子植入及CT引导下微波、射频消融介入治疗肺癌等多项新技术,带动了贵州省肺部疾病的介入治疗水平提高。
蒋 婷
呼吸与危重症医学科
二病区 主任
副主任医师
专业擅长:从医20余年,在呼吸系统疾病、介入呼吸病学、肺部结核、肺部肿瘤等方面具有丰富的临床经验和专业技能,尤其是慢性阻塞性肺疾病、支气管扩张、肺结核、耐药肺结核、肺癌、胸腔积液等肺部疾病的诊治、微创介入、危重病患者抢救。
现任中国防痨协会人兽共患结核病专业分会委员,中国女医师协会第一届介入专业委员会委员,贵州省基层呼吸疾病防治联盟-间质性肺疾病联盟委员,贵州省防痨协会第七届理事会理事,贵州省中西医结合学会呼吸专业委员介入呼吸病学组委员,贵州省遵义市中医药学会中西医结合肺病(呼吸)分会副主任委员,贵州省遵义市中医药学会中医肿瘤专业委员会常委;发表论文数篇,参与并主持多项科研项目。
李桂凤
呼吸与危重症医学科
三病区 主任
副主任医师
专业擅长:从事呼吸系统疾病、结核病学、介入呼吸病学、肿瘤综合治疗、呼吸康复等临床工作20余年,擅长呼吸内科常见病、多发病及疑难重症危重病症的诊治,尤其对重症疑难结核及耐药结核病、介入治疗(肺)呼吸系统疾病、呼吸危重病抢救等方面具有较高诊疗水平。
中国防痨协会非结核病专业委员会委员,贵州省中西医结合学会第六届呼吸专业委员会委员,贵州省康复学会睡眠障碍康复专业委员会委员,遵义市呼吸内科医疗质量控制中心委员,遵义市落实民生实事结核病筛查阅片专家组成员;主持及参与实用新型专利3项。
周裕祥
呼吸与危重症医学科
四病区 主任
副主任医师
专业擅长:经皮肺介入、经血管介入诊疗技术。
贵州省中西医结合学会呼吸专业委员会介入呼吸病学组常务委员,中国医师协会呼吸医师分会介入呼吸病学工作委员会呼吸病血管介入学组委员,贵州省中西医结合学会呼吸学分会委员,遵义市医学会放射肿瘤治疗学分会委员,中国医药教育协会介入微创呼吸分会委员,北京健康促进会中青年专家委员会胸部疾病精准活检分委会委员;曾赴重庆医科大学RICU、珠海市人民医院介入科进修学习。
杨 芳
呼吸与危重症医学科
内镜中心 主任
副主任医师
专业擅长:从事临床工作约16年,对呼吸危重病的救治有独到的见解,尤其擅长呼吸系统疾病的介入诊疗,对呼吸内镜下的诊治及经皮肺穿刺诊疗技术具有丰富的临床经验。
亚洲冷冻治疗学会委员,中国医药教育协会介入微创呼吸分会委员,西南结核病医院联盟第二届委员会秘书/委员,贵州省中西医结合学会第六届呼吸科专业委员会委员,贵州省中西医结合学会呼吸专业委员会介入呼吸病学组秘书,贵州省中西医结合学会呼吸专业委员会基层康复学组副组长,贵州水利电力医学科学技术会高原医学分会委员,遵义市中医院学会中西医结合肺病(呼吸)分会秘书/常务委员,遵义市医学会肿瘤学分会(第二届)委员,遵义市医学会放射肿瘤治疗学分会第二届委员;主持及参与科研课题多项,参编著作《呼吸内镜操作技术规范》、《介入结核病学》,发表论文数篇。
贵州航天医院
呼吸与危重症医学科专家团队
贵州航天医院呼吸与危重症医学科以呼吸危重症和介入呼吸病学为强力推手,以肺部感染性疾病及肺癌、肺小结节的早期精准诊疗、慢性呼吸疾病康复治疗为特色,以人才团队建设为核心的科室发展模式,现已成为省内呼吸疾病治疗规模最大,诊疗项目最全的呼吸疾病品牌科室。是贵州省医学重点学科、临床医学重点专科建设单位,遵义市首批呼吸重点学科、重点专科建设单位。是国家卫健委能力建设和继续教育肿瘤微创介入建设中心、贵州省县级医院微创介入培训中心、遵义市呼吸疾病临床医学中心。是国家呼吸医疗质量控制与管理哨点医院、遵义市呼吸内科专业医疗质量控制中心。是中国医药教育协会介入微创呼吸分会呼吸介入技术培训中心单位;国家卫健委海医会呼吸分会ROSE专委会“诊断性介入肺脏病学快速现场评价”培训基地;中国肺癌防治联盟“贵州航天医院肺结节诊治”分中心,中国人体健康科技促进会呼吸介入技术培训基地,贵州省中西医结合会呼吸学分会呼吸介入专委会主委单位。
基本情况
诊疗范围
航天医院呼吸专科擅长:致力于呼吸系统感染性、疑难性疾病的介入快速精准诊疗;肺癌与肺小结节早期精准诊疗水平项目提升。擅长于呼吸系统(肺)疑难病的诊断及危重病的救治,尤其在肺癌、肺小结节的早期诊断;肺癌综合靶向治疗;肺结核综合诊疗;肺部疾病的介入诊疗在省内处于前沿水平。
咨询热线
(一)呼吸与危重症医学科一病区
医生办公室:27677317
护士站:28614217
(二)呼吸与危重症医学科二病区
医生办公室:28691274
护士站:28690442
(三)呼吸与危重症医学科三病区
医生办公室:28692417
护士站:28690461
(四)呼吸与危重症医学科四病区
医生办公室:28616402、27677582
护士站:28614987、27677862
作 者:周裕祥(呼吸与危重症医学科)
编 辑:陈 伟
一 审:周裕祥
二 审:唐语蔚
三 审:蒙昌耀


