【航医精品】耳鼻喉科精品技术:鼻内镜下经鼻腔、鼻窦进路眶内肿物切除术
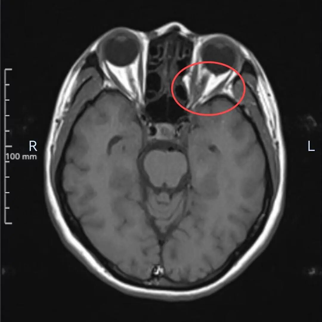
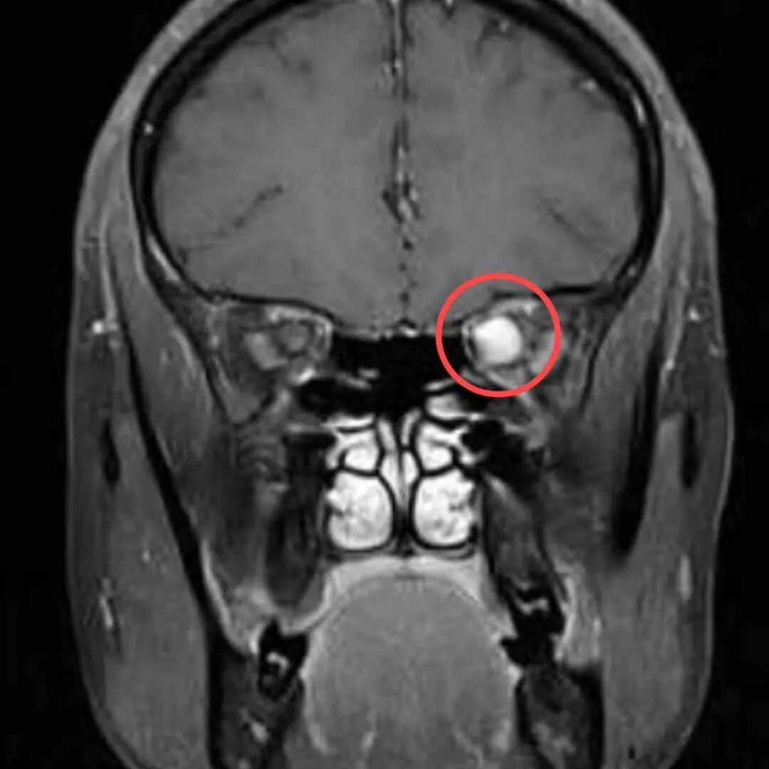
多年来,贵州航天医院各科室紧跟医学前沿,不断强技术、补短板,大力开展新技术、新项目,完成了许多高精尖、高难度、本地区“首例”的技术,填补了医院医疗技术空白,满足了群众日益增长的医疗需求。 案例分享 患者在两年前无明显诱因出现左眼胀痛、左眼视力下降等症状,由于当时患者自感不太严重,未予重视,随着时间的推移,症状逐渐加重,遂前来我院就诊,为更好的为患者进行诊治,收入了耳鼻喉科。经眼科查体显示:VOD(矫正视力)→1.0,VOS(矫正视力)→1.0,进行眼眶平扫+MRI检查后,初步诊断为:左眼球后脂肪间隙内占位,考虑良性病变,血管瘤可能。 考虑到患者病情复杂,耳鼻喉科组织眼科、麻醉科等科室开展了多学科联合会诊,对患者病情、既往病史等进行了全面深入的综合分析研讨,制定了鼻内镜下左侧鼻窦功能开放术+左侧眶内肿瘤切除术的方案,由于手术难度较大,在充分告知手术风险及并发症等相关信息后,患者及家属同意手术。经过充分的术前准备,耳鼻喉科借助经鼻内镜,成功通过鼻窦经由筛窦眶纸板、蝶窦外侧壁将肿瘤完整切除,最大程度地保护了眶内的血管、神经等重要组织。 术后,患者未出现视力减退、视野缺损等并发症,仅眶周稍青紫肿胀和轻微复视。患者2周后复查,复视症状、眶周青紫肿胀消除,术后MRI(眼眶平扫+增强扫描)显示左眶内肿物已消失。 该技术的开展,特别邀请了中山大学附属第一医院耳鼻喉科专家左可军教授莅临主刀,并对该技术的实施进行指导,已成功完成多例鼻眼相关内镜手术,解决了患者外出就医难、排队时间长、花费多等难题,让广大民众在家门口享受到了优质的医疗服务资源。 什么是鼻内镜下经鼻腔、 鼻窦进路眶内肿物切除术 眼眶是一个狭小的解剖间隙,结构复杂,功能重要,周围临近组织较多,含有许多重要结构,眶深部的肿瘤切除手术难度大,容易侵犯神经,出现视力丧失等并发症。随着眼-鼻相关学科发展和微创理念的深入,鼻内镜内侧开眶入路得到显著发展和应用,鼻内镜下经鼻腔、鼻窦进路眶内肿物切除术,具有微创、直视、并发症少等优势,目前已成为眶内肿物切除首选手术进路,主要应用于泪道系统疾病、眶骨折修复、眼眶内侧肿瘤切除、眼眶减压、海绵状血管瘤切除等。 鼻内镜下经鼻腔、鼻窦 进路眶内肿物切除术原理 手术基于先进的鼻内镜设备,通过鼻腔入路直接对眼眶及其毗邻区域进行操作,鼻腔与眼眶相邻,眼眶内侧壁主要由筛骨纸板构成,骨质菲薄,很容易经此进入眼眶,所以鼻腔可作为合适的手术通道,让操作更精准、更微创,同时,内镜下经鼻眼眶手术可利用该通道实现面部无切口。 鼻内镜下经鼻腔、鼻窦 进路眶内肿物切除术优势 ✔肿物可完整切除,较好的保护视力。 ✔可避免眼外部入路及经颅开眶入路的头面部切口。 ✔无脑组织的牵拉损伤,对眼内容物的牵拉损伤较小。 ✔经鼻切口外形无改变,术中组织结构放大、视野清晰,肿物分离更便捷。 贵州航天医院耳鼻喉科专家团队 左可军 中山大学 附属第一医院耳鼻咽喉科 贵州航天医院耳鼻喉科 特聘教授 医学博士 硕导 主任医师 临床擅长:鼻科、鼻眼相关外科、鼻颅底相关外科以及鼻变态反应科的临床和基础工作。 南方青年鼻科联盟创始人,担任中国医师协会耳鼻咽喉科分会整形美容学组委员、海峡两岸医药卫生交流协会眼科学专业委员会眼科内窥镜微创手术学组委员、广东省精准医学应用学会头颈肿瘤分会副主委、广东省中西医结合学会耳鼻咽喉科分会副主委、广东省眼健康协会眼与全身疾病专业委员会常委。获得国家二级运动员和南粤优秀研究生称号,2018年荣获“广东医院最强科室之实力中青年医生”,2020年荣获全国卫生健康系统抗疫先进集体、中国医师协会耳鼻咽喉头颈外科分会抗疫先进个人,2021年荣获广东省科技进步一等奖,2023年荣获第七届“羊城好医师”。 张光进 耳鼻喉科主任 副主任医师 临床擅长:对耳鼻喉头颈常见病的诊治具有丰富的临床经验,擅长鼻内镜、耳内镜、耳显微、头颈咽喉部肿瘤及眩晕手法复位等的诊疗。 曾先后前往第三军医大学西南医院、复旦大学耳鼻喉科医院、上海新华医院及北京友谊医院进修学习;遵义市医学会常务委员;主持及参与级科研课题2项,发表专业论文10余篇。 陈维信 耳鼻喉科 主任医师 临床擅长:对耳鼻喉科常见疾病的诊治具有丰富的临床经验,擅长耳、鼻、喉及头颈部位的手术。 曾先后前往上海交通大学附属仁济医院耳鼻喉-头颈外科、北京大学人民医院耳鼻喉-头颈外科参加鼻内镜外科进修学习。中国睡眠研究会委员,贵州省医学会耳鼻喉-头颈外科学分会委员,贵州省耳鼻喉-头颈外科学会理事,贵州省医学会变态反应学分会委员,贵州省防聋治聋技术指导组专家,遵义市耳鼻喉科分会副主任委员,遵义市医疗事故鉴定专家库成员;主持省部级科研课题2项,发表专业论文20余篇。 秦 晋 耳鼻喉科 副主任医师 临床擅长:对耳鼻喉科常见疾病的诊治具有丰富的临床经验,擅长耳、鼻、喉及头颈部位的手术。 遵义市医学会常务委员;曾先后在第三军医大学西南医院、湖南湘雅鼻颅底培训班进修学习。 贵州航天医院耳鼻喉科简介 基本情况 贵州航天医院耳鼻喉科拥有一支经验丰富、技术精湛的医疗团队,共有医师9名,其中副高级以上专家5名,医学硕士2名,开放床位20张,拥有德国WOLF鼻窦内窥镜系统、日本奥林巴斯电子喉镜、奥林巴斯电子鼻咽镜、丹麦临床听力监测设备、声导抗仪、听觉诱发电位、耳声发射仪、美国杰西低温等离子治疗仪、杭州好克鼻窦内窥镜系统、鼻动力系统、耳显微镜、耳用电钻、微波治疗仪等先进设备。 专科特色 (一)耳部疾病 耳内镜下胆脂瘤切除术、III型鼓室成形术+人工听骨听骨链重建术。 (二)鼻部疾病 内镜下鼻息肉切除术、鼻窦功能开放术。 (三)咽喉疾病 内镜下扁桃体、腺样体低温等离子切除术。 (四)交叉学科 1.经鼻内镜下眶内肿瘤切除术 2.经鼻内镜下鼻腔泪囊吻合术 诊疗范围 (一)常见耳疾的诊断和治疗:中耳炎、耳聋、耳鸣等。通过各种耳科检查手段,如耳镜检查、听力测试和耳脑干听觉诱发电位检查等,准确诊断患者病情,制定个性化治疗方案。 (二)鼻炎、鼻窦炎、鼻出血等鼻科疾病的诊断和治疗:采用微创技术,如鼻内窥镜检查、低温等离子手术等,为患者提供有效的治疗方案。 (三)喉炎、声带息肉、声带白斑等喉科疾病的诊断和治疗:通过声带电子镜、喉镜等设备,准确判断患者的喉部病变,为患者提供精准的治疗方案。 (四)鼻眼、鼻颅底相关手术。
作 者:张光进(耳鼻喉科)
编 辑:陈 伟
一 审:张光进
二 审:唐语蔚、刘 鑫
三 审:蒙昌耀


