【航医精品】骨科精品技术:骨搬移技术(Ilizarov)
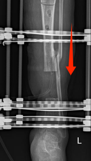
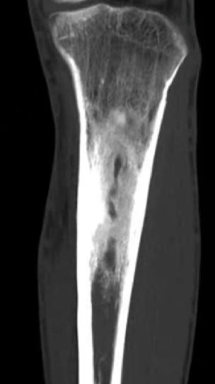
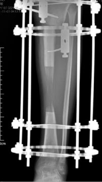
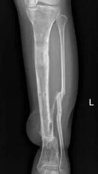
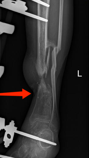
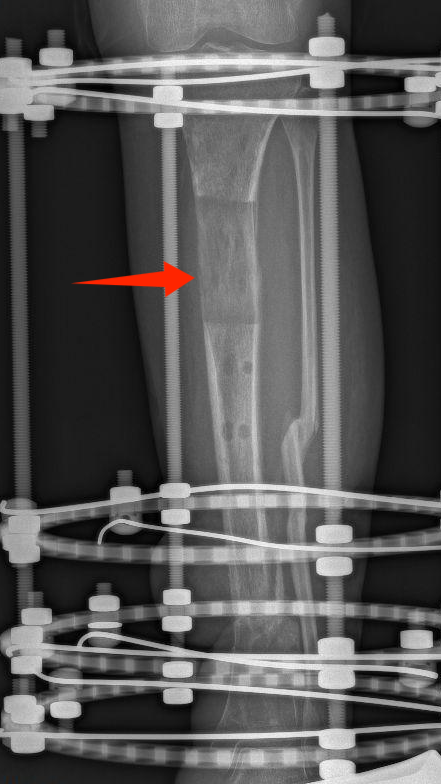
多年来,贵州航天医院各科室紧跟医学前沿,不断强技术、补短板,大力开展新技术、新项目,完成了许多高精尖、高难度、本地区“首例”的技术,填补了医院医疗技术空白,满足了群众日益增长的医疗需求。 贵州航天医院骨科率先在遵义地区开展骨搬移技术,截至目前,已治愈慢性骨髓炎、感染性骨不连、骨缺损、脉管炎、糖尿病足患者200余例,糖尿病足治疗保肢率达到98%。 本期,我们将为大家带来骨科特色技术——骨搬移技术(Ilizarov)。 案例分享 一名59岁的患者,身患糖尿病12年,在来我院3个月前出现了右脚溃烂的症状,来院就诊时,患者的右脚十分红肿,右脚脚趾坏死,伤口处不断流出黑红色脓液,情况十分严重。在接诊到患者时,骨科专家团队高度重视,立刻为患者完善了CT血管造影(CTA)等相关检查,诊断为:2型糖尿病,糖尿病周围血管病变,右糖尿病足。 术 前 考虑到患者情况比较严重,为最大限度保证患者肢体完整,科室专家团队进行了严格的讨论评估,为患者制定了骨搬移技术治疗方案,在征得患者及其家属的同意后,成功通过搬移骨块为患者进行治疗,促进患者病变肢体血管再生。 胫骨横向骨搬移外架固定 清除感染病灶 术后调节外架,通过搬移骨块 促进患肢血管再生 患者在术后三周前来换药,观察到感染得到进一步控制;术后六周复查,患者病变处已愈合,进行CT血管造影(CTA)后可明显观察到足部血管再生。 术后3周 术后6周愈合 CT血管造影见足部血管再生 糖尿病患者全身与局部的问题互为影响,形成恶性循环,糖尿病足溃疡创面迁延不愈,常见干性坏疽、湿性坏疽、趾坏死、深且大的溃疡以及骨髓炎等症状,还可导致脓毒血症,以往为保全生命,患者被迫选择一次或多次截肢。骨搬移技术的发展进步,能在血糖有效控制、局部有效清创下,有效促进患肢微血管再生,改善患肢血供,达到糖尿病足更快治疗康复的目的,并能根据病变情况最大限度的保障患者肢体完整。 什么是骨搬移技术 骨搬移技术是通过使用专用的骨外固定器固定骨段,每天缓慢牵拉,在牵拉搬移过程中,骨段尾部形成新骨及新的软组织,从而修复骨骼缺损及软组织缺损。是治疗大段骨缺损、骨不连、骨感染、肢体畸形的金标准方法,也用于治疗脉管炎、糖尿病足等肢体缺血性疾病。 骨感染缺损 切除感染段 搬移骨段 新骨形成 骨感染根治愈合 骨搬移技术原理 生物组织在持续、稳定、缓慢牵拉下,能刺激细胞分裂、组织再生,骨外固定技术运用该原理,通过持续缓慢调节外固定器形成牵拉张力,促进牵引成骨与相邻组织再生,如神经、血管、肌肉、皮肤等再生,达到治疗大段骨缺损、肢体缺血如糖尿病足等疾病的目的。 骨搬移技术优势 (一)除治疗骨缺损、骨不连外,有更广的适用范围,利用组织再生、血管再生等特性,能大量运用于肢体畸形的矫形、糖尿病足等的治疗。 (二)治疗效果确切,重建肢体外型和功能,极大降低截肢率和残疾率。 (三)明显提高了患者生活质量,极大减轻其家庭及社会负担。 肢体畸形的矫形 慢性骨髓炎 骨段切除 术后1年 濒临截肢的脉管炎术后6周 难愈创面术后3周 贵州航天医院骨科 专家团队 赵学平 骨科主任 主任医师 临床擅长:从事骨科临床工作30余年,对骨科常见疾病的诊治具有丰富的临床经验。 世界中医药联合会脊柱康复专业委员会常务理事,中华中医药学会整脊分会常务委员,中国中西医结合学会骨伤科分会肢体矫形功能重建与康复专家委员会常务委员,中国研究性医院学会骨科创新与转换专业委员会关节外科学组保髋工作委员会常委,中国康复技术转化及发展促进会骨外科与康复技术转化专业委员会常务委员,泛珠三角区域运动医学联盟(PPRD-SMA)理事会常务理事,中国研究型医院学会运动医学专业委员会委员,贵州省中医药学会整脊分会副主任委员,贵州省中西医结合学会银质针专业委员会副主任委员,贵州省康复医学会骨与关节专业委员会常务委员,贵州省人民医院骨科专科联盟常务理事,贵州省康复医学会骨内科专业委员会常务委员,中华医学会贵州省骨科学会委员,贵州省康复医学会脊柱脊髓专业委员会常务委员,贵州省运动医学分会委员,贵州省康复医学会骨与软组织肿瘤专业委员会委员,遵义市医学会创伤分会副主任委员,贵州省康复医学会骨内科专业委员会遵义地区分会常务委员,遵义市医疗事故鉴定、伤残鉴定、工伤鉴定、司法鉴定专家。 长期从事骨科临床研究及教学工作,在国家级、省部级杂志发表论文20余篇,SCI论文2篇,参与主编骨科专著2部,主持省部级科研项目2项,参与指导省部级、市级科研项目6项。 陈明勇 骨科副主任 副主任医师 临床擅长:从事创伤骨科工作约20年,对骨缺损、骨不连、骨肿瘤、肢体畸形等的肢体矫形重建及功能重建,慢性化脓性骨髓炎的根治治疗、糖尿病足的保肢治疗、快速康复理念(ERAS)下的老年骨折的诊治,四肢复杂骨折的诊治,四肢骨折等微创手术治疗具有丰富的临床经验。 2004年毕业于遵义医学院临床专业,曾在中国人民解放军总医院、广西医科大学第一附属医院、上海第六人民医院骨科进修。中国中西医结合学会骨伤科专业委员会横向骨搬移治疗糖尿病足及微血管网再生学组首届委员,遵义市医学会创伤分会常务委员。 瞿 辉 骨科 副主任医师 临床擅长:对骨科的常见病、关节外科、脊柱外科及运动医学疾病的诊治具有丰富的临床经验,熟练掌握骨科手术操作技术。 毕业于遵义医学院临床医学系,2005年前往广州中山大学第一附院骨显微医学部进修学习,2011年前往成都华西医院进修学习,并多次在省内外学习骨科相关知识,是中华医学会骨科分会会员。 赵兴东 骨科 主任医师 临床擅长:擅长骨科的常见病及各种创伤、四肢骨折创伤修复、骨感染、手足疾病的诊治和手足体表畸形的矫形整复,熟练掌握骨科四肢骨病及创伤的手术操作技术,尤其在四肢关节复杂性损伤、手足外伤、组织缺损创面、难治创面的皮瓣修复方面及平足、高弓足矫形方面及四肢慢性疼痛诊治、康复方面具有丰富的临床经验。 硕士研究生,毕业于遵义医学院临床外科系,2015年前往山东省立医院手足外科进修学习;遵义市医学分会创伤分会第一、二届委员,遵义市手外科医学会第二委届员会常务委员;在省级及省级以上期刊发表文章9篇,参编著作2部,参与主持并完成市级课题1项,参与市级课题2项、省级课题1项。 张俊凯 骨科 副主任医师 临床擅长:从事骨科临床工作28年,对创伤骨折、骨感染、骨缺损、骨不连等外科诊治,四肢骨折的微创手术治疗,四肢复杂骨折(如关节内粉碎性骨折、多发骨折等)的损伤控制及手术治疗等具有丰富的临床经验。 1995年毕业于遵义医学院临床专业,2009年前往复旦大学附属医院骨科进修1年。 卢懿明 骨科 副主任医师 临床擅长:从事骨科工作18年,对创伤骨折、四肢骨折的微创手术治疗、四肢复杂骨折(如关节内粉碎性骨折、多发骨折等)的损伤控制及手术治疗,尤其是髋部骨折的PFNA等微创技术,踝关节骨折、膝关节周围骨折的Mipo微创技术等具有丰富的临床经验,开展了4项新技术,发明6项新型专利技术。 2005年毕业于遵义医学院临床专业,2017年,前往南方医科大学第三附属医院骨科进修半年,回院后运用Mipo技术对骨干骨折及干骺端骨折的治疗技术,同时积极开展骨盆骨折、髋臼骨折腹直肌外侧切口的应用;发表了多篇专业论文,经常参与省内外学术交流会授课,获得医院荣誉称号多个。 邬夏荣 骨科 副主任医师 临床擅长:从事骨科工作16年,对四肢复杂骨折、骨肿瘤的诊治,尤其是足踝创伤、慢性踝关节损伤、平足症等诊疗具有丰富的临床经验。 2006年毕业于遵义医科大学临床医学专业,曾在陆军军医大学西南医院进修学习,发表多篇骨科学术论文。 余德怀 骨科 副主任医师 临床擅长:从事骨科工作10余年,对运动医学、骨关节、脊柱外科常见病、多发病的诊治具有丰富的临床经验。 硕士研究生,2011年毕业于遵义医学院临床医学专业,曾前往遵义医科大学附属医院运动医学专业进修学习;是贵州省医学会运动医学分会青年委员,西部关节镜联盟委员;发表多篇骨科学术论文。 冯 乾 骨科 副主任医师 临床擅长:从事骨科工作近20年,熟练掌握骨科多发病及常见病的诊治,尤其对脊柱退变性疾病的诊断及治疗具有丰富的临床经验,主要研究脊柱微创相关治疗方式,能熟练开展椎间孔镜及VBE。 曾前往北京大学第三医院进修学习疼痛及椎间孔镜、首都医科大学友谊医院专业进修脊柱内镜;是贵州省康复医学会第三届脊柱脊髓专业委员会委员;发明专利3项、发表脊柱外科专业论文多篇。 张艳金 骨科 副主任医师 临床擅长:从事骨外科工作16年,对复合伤、多发伤的救治、四肢骨干骨折、关节周围骨折、骨肿瘤、骨髓炎等诊治具有丰富的临床经验。 中共党员,硕士研究生,2006年本科毕业于山西医科大学第二临床医学院,2011年研究生毕业于北京军区总医院;在“老年COPD患者合并髋部骨折的诊治”国际合作课题组研究两年,在老年髋部骨折的诊治方面具有丰富的经验,并发表论文6篇;承担遵义市级课题1项;承担遵义医科大学的临床教学工作,获得遵义医科大学优秀带教老师荣誉。编撰有《骨科疾病诊疗精粹》一书,开展2项新技术,编撰地方规范《务川自治县创伤骨科常见疾病诊疗规范》一书。 赵小锋 骨科 副主任医师 临床擅长:从事骨科临床工作11年,对骨科常见病、多发病诊疗有较为丰富的临床经验,擅长脊柱相关疾病诊断及治疗,尤其是颈、腰、腿疼痛疾病诊断及治疗,擅长胸腰椎骨折微创经皮穿刺内固定术、经皮穿刺椎体成形术、经皮穿刺脊柱内镜下腰椎间盘摘除术、单纯开创腰椎间盘摘除术、腰椎滑脱复位椎间植骨椎融合内固定术、腰椎管狭窄减压融合内固定术及人工髋、膝关节置换术等。 2012年毕业于遵义医学院外科学专业硕士研究生,2019年参加“遵义市115医学人才精英计划”于上海交通大学第一附属医院培训学习,2023年于北京大学第三人民医院脊柱外科进修学习,曾获得遵义市优秀医师荣誉称号。 遵义市手外科第一届委员,遵义市医学会创伤分会第一届委员,遵义市医学会创伤分会第二届委员,贵州省康复医学会第三届脊柱脊髓专业会委员,遵义市医学会烧伤与整形外科学分会委员,发表论文5篇,其中国家级核心期刊1篇,SCI论文1篇,主持市级课题1项并结题,参与市级课题2项。 贵州航天医院骨科简介 基本情况 贵州航天医院(原3417医院)骨科组建于1968年,前身是以创伤和断肢(断指)再植闻名于世的上海市第六人民医院骨科,中国断肢(断指)再植的奠基者、中科院院士陈仲伟等著名专家、学者多次莅临科室指导医疗、教,是贵州省最早拥有专业骨科技术科室之一,在70年代开展了贵州省首例断肢(断指)再植手术。组建50余年来,诊治患者已逾百万,挽救了无数的伤病员,成为了保障遵义地区人民群众健康的重要支撑。 经过几代人的不懈努力,今天的骨科,已由创伤骨科发展至骨病、骨肿瘤、骨结核等领域,现有脊柱外科、关节外科、四肢创伤、手足外科四个亚专科,成为了集医疗、教学、科研于一体的综合学科,是贵州省临床重点专科、遵义市临床重点专科、遵义市骨科临床医学中心、遵义市基层骨科专科联盟理事长单位。 科室目前开放床位110张,共有医护人员50余人,副高级以上专家18人,硕士研究生15人。拥有一流骨科医疗设备多台,每年不定期选派优秀技术骨干到全国各大知名医学院校进修、学习、参观、交流,并邀请国内、国外知名专家教授来院进行交流、指导,通过不断引进国内外先进的诊疗技术,科室医疗技术水平稳步提升,为广大人民群众提供了优质的医疗服务。 专科特色 骨一科 (一)骨缺损、骨不连的肢体与功能重建 胫骨横向骨搬移技术治疗糖尿病足: (二)慢性骨髓炎的根治治疗 (三)肢体缺血性疾病如糖尿病足、脉管炎的保肢治疗 (四)皮瓣修复 (五)复杂创伤的治疗 (六)老年髋部骨折及小儿骨折快速手术 老年髋部骨折: 骨二科 (一)胸腰椎骨折微创经皮椎弓根螺钉固定术 (二)老年性骨质疏松性患者腰椎滑脱脊柱内固定术(骨水泥螺钉) (三)V形双通道脊柱内镜技术(VBE)腰椎融合术治疗腰椎退行性疾病 (四)老年性骨质疏松性骨折(PVP/PKP)术 (五)人工髋关节置换术 (六)双侧股骨头坏死人工全髋关节置换 (七)右侧全髋置换术后假体周围骨折翻修 (八)人工膝关节置换术 (九)人工膝关节假体松动翻修 (十)关节镜技术 传统手术切口 关节镜技术切口 诊疗范围 骨一科 1.四肢创伤、矫形。 2.手、足踝外科。 骨二科
作 者:张艳金(骨一科)
编 辑:陈 伟
一 审:陈明勇(骨一科)
二 审:唐语蔚、刘 鑫
三 审:蒙昌耀


