案例分享
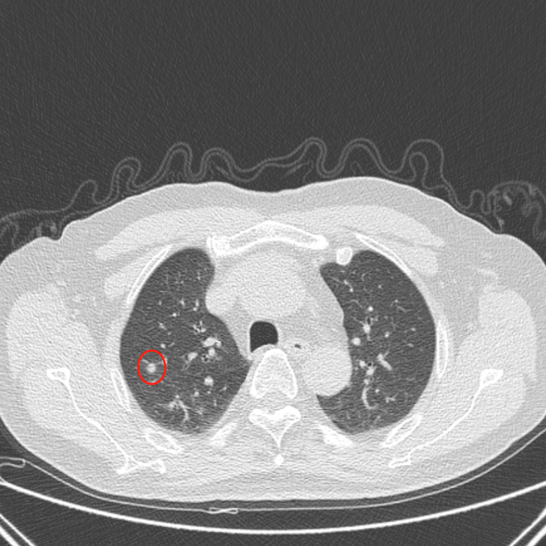
62岁的钱大爷(化名)在2024年11月进行体检时,查出肺部有结节,因其父亲是肺癌去世,十分焦虑、忧心忡忡,便前往我院肺结节MDT门诊就诊,呼吸与危重症医学科当即组织心胸外科、医学影像科等科室专家进行肺结节多学科(MDT)讨论,该结节有8mm大小并存在滋养血管,患者又有肺癌家族史和长期吸烟史,考虑高危肺结节。
消融前
通过讨论,为患者提供了随访观察、外科手术、微创消融(微波消融)手术三种处理方案。钱大爷和子女商量后,决定选择创伤小,恢复快的微创消融手术进行治疗。
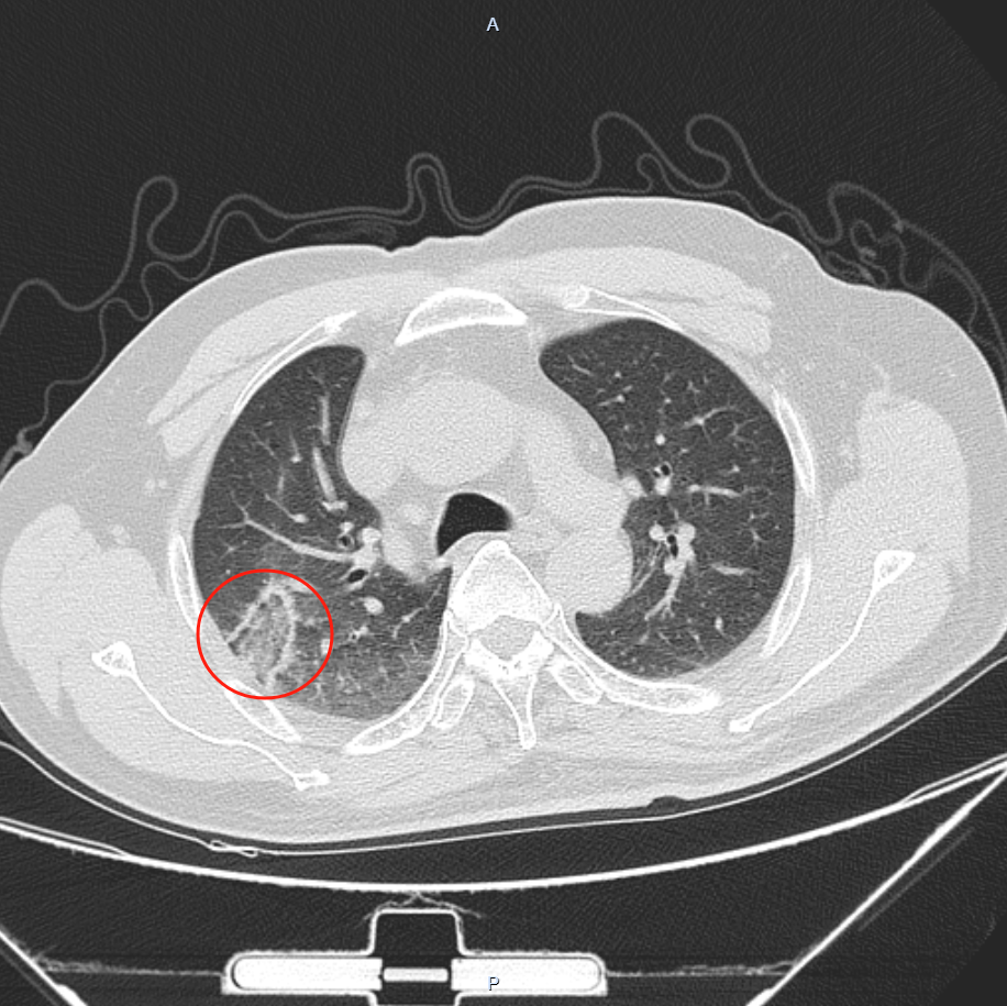
消融中,消融针精准到达结节部位
手术由我院呼吸与危重症医学科学科带头人廖江荣教授主刀,3分钟便完成了肺结节的微波消融,术后3天钱大爷顺利出院。
消融后,晕征范围完全覆盖结节位置
那什么是肺结节消融治疗呢?小编今天就带大家来了解一下!
什么是消融治疗
消融治疗是指在影像技术引导下或支气管镜引导下将消融针置入肺部病灶处,利用热或者冷产生的生物学效应直接导致病灶组织中的肿瘤细胞发生不可逆损伤或凝固性坏死的一种精准、微创治疗技术,已广泛应用于各种实体肿瘤和高危肺结节的治疗。目前热消融主要包括微波消融、射频消融等技术,冷消融包括氩氦刀冷冻消融技术,具有微创、安全、疗效稳定、速度快等特点。
微波消融术
微波消融是通过影像技术的引导,将专用的治疗针精准地置入病灶内部,在微波电磁场的作用下,在短时间内产生高达60-150℃的高温,导致病变细胞凝固性坏死。
氩氦刀冷冻消融术
氩氦刀冷冻消融是通过将一根1.7-3毫米的中空钢针,穿刺进入病灶,先注入氩气,迅速降温至-160摄氏度,冰冻肿瘤数分钟,再注入氦气,快速升温至20-30摄氏度,让肿瘤细胞在短时间内冷冻及复温,对病灶组织进行物理性杀灭。
主要适用于
1.临床手术不能切除、不能完全切除、切除风险较大的病灶。
2.重要脏器功能不全,体质过弱,不宜手术的患者。
3.术后复发、转移性癌灶、多发癌灶的患者。
4.晚期患者延长生命提高生存质量的姑息性治疗。
5.因各种原因拒绝手术的患者。
贵州航天医院呼吸与危重症医学科微创介入诊疗技术已达到国内前列,省内领先水平,是亚洲冷冻治疗学会常务理事单位,并获批成立遵义市肺结节多学科(MDT)微创诊疗中心。
肺结节MDT门诊出诊信息
出诊时间:
周一至周五
8:00--12:00;14:00--17:00
出诊地点:
遵义市肺结节多学科微创诊疗中心(MDT)门诊(贵州航天医院呼吸综合楼1楼)
通过心胸外科、呼吸与危重症医学科、医学影像科等多学科会诊机制,结合患者情况,采取外科手术、冷、热消融等多种治疗手段,帮助患者安全、有效、精准、科学、快速治疗肺结节,单次消融手术时间约半小时左右,几乎没有疼痛,且并发症少,3-5天即可出院,有效减少了患者因开刀手术需长时间恢复的痛苦。
注:图片来源于网络,如有侵权,请联系删除。
推荐
阅读
1.【航医精品】呼吸与危重症医学科精品技术介绍:放射性粒子植入技术治疗肺部恶性肿瘤
2.【航医精品】呼吸与危重症医学科精品技术二:支气管动脉栓塞术治疗咯血
贵州航天医院
呼吸与危重症医学科专家团队
廖江荣
国务院政府特殊津贴专家
二级教授 主任医师
呼吸与危重症医学科
学科带头人
国家级学术任职:
第二届中国医药教育协会介入微创专业委员会呼吸分会副主任委员
中国抗癌协会肿瘤微创治疗专业委员会常务委员
中国防痨协会结核病转化医学专业分会常务委员
第一届中国人体健康科技促进会呼吸介入专委会常务委员
中国医疗保健国际交流促进会结核病学分会第三届委员会常务委员
中国抗癌协会肿瘤微创治疗专业委员会粒子治疗学组第四届委员会委员
中华医学会结核临床专业委员会内镜介入委员
中华医学会放射学分会第十五届委员会介入学组呼吸系统介入专业委员会委员
北京健康促进会中青年专家委员会胸部疾病精准活检分委会副主任委员
中国医师协会介入医师分会第二届委员会肿瘤消融专业委员会委员
中国结核病防治综合质量控制专家指导委员会委员
亚洲冷冻治疗学会常务委员
世界内镜医师协会呼吸内镜协会常务理事
内镜临床诊疗质量评价专家委员会委员
“西部呼吸介入联盟”副理事长
专业擅长:
呼吸系统(肺)疑难病的诊断及危重病的抢救,呼吸系统(肺)感染性、疑难性疾病介入快速诊断(ROSE),尤其在肺癌、肺小结节早期诊断,肺癌微创综合靶向治疗,难治性、复治性、重症肺结核诊疗,硬质支气管下复杂性气道狭窄诊治,纤支镜介入治疗气道肿瘤、结核、气道狭窄(球囊扩张、支架植入、高频电刀、氩气刀、冷冻、灌洗、注药、微波消融),间质性肺疾病的诊疗上具有极高水平;带领团队勇于创新,在贵州省率先开展多项新技术、新疗法,如CT引导下及纤支镜下I125粒子植入及CT引导下微波、射频消融介入治疗肺癌等多项新技术,带动了贵州省肺部疾病的介入治疗水平提高。
蒋 婷
呼吸与危重症医学科
总负责人
副主任医师
专业擅长:从医20余年,在呼吸系统疾病、介入呼吸病学、肺部结核、肺部肿瘤等方面具有丰富的临床经验和专业技能,尤其是慢性阻塞性肺疾病、支气管扩张、肺结核、耐药肺结核、肺癌、胸腔积液等肺部疾病的诊治、微创介入、危重病患者抢救。
现任中国防痨协会人兽共患结核病专业分会委员,中国女医师协会第一届介入专业委员会委员,贵州省基层呼吸疾病防治联盟-间质性肺疾病联盟委员,贵州省防痨协会第七届理事会理事,贵州省中西医结合学会呼吸专业委员介入呼吸病学组委员,贵州省遵义市中医药学会中西医结合肺病(呼吸)分会副主任委员,贵州省遵义市中医药学会中医肿瘤专业委员会常委;发表论文数篇,参与并主持多项科研项目。
李桂凤
呼吸与危重症医学科
三病区 主任
副主任医师
专业擅长:从事呼吸系统疾病、结核病学、介入呼吸病学、肿瘤综合治疗、呼吸康复等临床工作20余年,擅长呼吸内科常见病、多发病及疑难重症危重病症的诊治,尤其对重症疑难结核及耐药结核病、介入治疗(肺)呼吸系统疾病、呼吸危重病抢救等方面具有较高诊疗水平。
中国防痨协会非结核病专业委员会委员,贵州省中西医结合学会第六届呼吸专业委员会委员,贵州省康复学会睡眠障碍康复专业委员会委员,遵义市呼吸内科医疗质量控制中心委员,遵义市落实民生实事结核病筛查阅片专家组成员;主持及参与实用新型专利3项。
周裕祥
呼吸与危重症医学科
四病区 主任
副主任医师
专业擅长:经皮肺介入、经血管介入诊疗技术。
贵州省中西医结合学会呼吸专业委员会介入呼吸病学组常务委员,中国医师协会呼吸医师分会介入呼吸病学工作委员会呼吸病血管介入学组委员,贵州省中西医结合学会呼吸学分会委员,遵义市医学会放射肿瘤治疗学分会委员,中国医药教育协会介入微创呼吸分会委员,北京健康促进会中青年专家委员会胸部疾病精准活检分委会委员;曾赴重庆医科大学RICU、珠海市人民医院介入科进修学习。
杨 芳
呼吸与危重症医学科
内镜中心 主任
副主任医师
专业擅长:从事临床工作约16年,对呼吸危重病的救治有独到的见解,尤其擅长呼吸系统疾病的介入诊疗,对呼吸内镜下的诊治及经皮肺穿刺诊疗技术具有丰富的临床经验。
亚洲冷冻治疗学会委员,中国医药教育协会介入微创呼吸分会委员,西南结核病医院联盟第二届委员会秘书/委员,贵州省中西医结合学会第六届呼吸科专业委员会委员,贵州省中西医结合学会呼吸专业委员会介入呼吸病学组秘书,贵州省中西医结合学会呼吸专业委员会基层康复学组副组长,贵州水利电力医学科学技术会高原医学分会委员,遵义市中医院学会中西医结合肺病(呼吸)分会秘书/常务委员,遵义市医学会肿瘤学分会(第二届)委员,遵义市医学会放射肿瘤治疗学分会第二届委员;主持及参与科研课题多项,参编著作《呼吸内镜操作技术规范》、《介入结核病学》,发表论文数篇。
贵州航天医院
呼吸与危重症医学科简介
贵州航天医院呼吸与危重症医学科以呼吸危重症和介入呼吸病学为强力推手,以肺部感染性疾病及肺癌、肺小结节的早期精准诊疗、慢性呼吸疾病康复治疗为特色,以人才团队建设为核心的科室发展模式,现已成为省内呼吸疾病治疗规模最大,诊疗项目最全的呼吸疾病品牌科室。是贵州省医学重点学科、临床医学重点专科建设单位,遵义市首批呼吸重点学科、重点专科建设单位。是国家卫健委能力建设和继续教育肿瘤微创介入建设中心、贵州省县级医院微创介入培训中心、遵义市呼吸疾病临床医学中心。是国家呼吸医疗质量控制与管理哨点医院、遵义市呼吸内科专业医疗质量控制中心。是中国医药教育协会介入微创呼吸分会呼吸介入技术培训中心单位;国家卫健委海医会呼吸分会ROSE专委会“诊断性介入肺脏病学快速现场评价”培训基地;中国肺癌防治联盟“贵州航天医院肺结节诊治”分中心,中国人体健康科技促进会呼吸介入技术培训基地,贵州省中西医结合会呼吸学分会呼吸介入专委会主委单位。
基本情况
平均每年开展气管镜诊疗约4000例,经皮肺穿刺介入诊疗近千例,开展的项目包括经支气管镜(软、硬)下冷冻、氩气刀、高频电刀、球囊扩张、支架置入、超声内镜诊疗等气道介入诊疗技术,经皮肺穿刺活检及肿瘤消融术(微波、冷冻)、ROSE技术、内科胸腔镜诊疗及经血管介入诊疗技术,且多项呼吸介入诊疗技术在省内处于领先水平。
诊疗范围
致力于呼吸系统感染性、疑难性疾病的介入快速精准诊疗,肺癌与肺小结节早期精准诊疗水平项目提升。
擅长呼吸系统(肺)疑难病的诊断及危重病的救治,尤其在肺癌、肺小结节的早期诊断,肺癌综合靶向治疗,肺结核综合诊疗,肺部疾病的介入诊疗在省内处于前沿水平。
END


