多年来,贵州航天医院各科室紧跟医学前沿,不断强技术、补短板,大力开展新技术、新项目,完成了许多高精尖、高难度、本地区“首例”的技术,填补了医院医疗技术空白,满足了群众日益增长的医疗需求。
贵州航天医院呼吸与危重症医学科是贵州省内呼吸疾病治疗规模最大,诊疗项目最全的呼吸疾病品牌科室,呼吸介入技术达到了全国先进水平,在贵州省内处于领先的地位。
本期,我们将为大家带来呼吸与危重症医学科特色技术——硬质支气管镜技术治疗气道内相关疾病。
案例分享
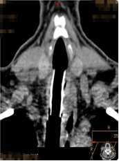
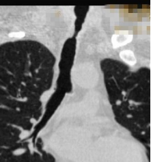
一名患者因出现呼吸困难、气促等症状,就诊于我院一专科联盟合作单位,因当地医疗条件有限,患者通过我院专科联盟绿色通道转入就诊,入院后,我院呼吸与危重症医学科专家团队当即针对患者情况进行讨论,诊断为:重度气道瘢痕狭窄;经过严格的评估,患者具有硬质支气管镜下治疗的指征,在征得患者及家属同意的前提下,决定为患者实施硬质支气管镜技术治疗。
术前
经过术前的充分准备,患者在全麻下,用可弯曲支气管镜引导插入法插入硬镜,通过高频电刀放射状切开狭窄环,再予气道球囊扩张器扩张气道置入硅酮支架,并置入喉罩复苏,最后成功为患者实施硬质支气管镜技术。术后,患者气道通畅,无呼吸困难、气促等症状出现,对比术前生活质量得到明显改善。
高频电刀切开狭窄环
球囊扩张气道
患者术后情况
什么是硬质支气管镜技术
硬质支气管镜(硬镜)技术(rigid bronchoscopy,RB),是一种将气道内可视性、治疗性操作同时与患者通气相结合的高技巧性技术。硬镜能保持气道通畅,并且在操作端有侧孔与呼吸机相连,故硬镜亦称“通气支气管镜”。
硬质支气管镜技术原理
硬镜为一空心不锈钢管,管径均一,管壁厚2 mm,成人硬镜直径9.2-14mm,长度33-40cm,远端是斜面,以便通过声门和气道狭窄区域,同时也利于铲切除去气道壁上的肿瘤,远端1/3镜体的管壁上带有侧孔,便于镜体进入一侧主支气管时对侧气道保持通气。
硬镜的操作端有多个接口,包括呼吸机接口、光源接口、吸引管和激光纤维接口。开口的近端可被封闭或开放,以利于观察目镜/电子支气管镜和其他器械通过。观察目镜长55cm,外径4.5mm,接光源后可通过硬镜管腔作窥视检查。
硬质支气管镜技术优势
(一)维持良好的气道通畅,出血时提供足够的操作视野, 更为安全、可靠、高效。
(二)孔径大,腔道大,允许纤支镜及其他操作工具进入,直接处理病灶及止血,完成各种呼吸介入操作。
(三)操作过程中可以支持供氧及通气,允许长时间进行手术操作。
(四)在处理复杂气道、严重气道狭窄、特殊异物的处理(包括取支架)、冷冻肺活检、EBUS、置入硅酮支架等手术中,硬质支气管镜具有不可替代的作用。
贵州航天医院呼吸与危重症医学科硬质支气管镜技术在遵义地区率先开展,帮助广大呼吸疾病患者在家门口享受到微创、精准、高效的治疗。
贵州航天医院
呼吸与危重症医学科专家团队
廖江荣
国务院政府特殊津贴专家
二级教授 主任医师
呼吸与危重症医学科
学科带头人
国家级学术任职:
第二届中国医药教育协会介入微创专业委员会呼吸分会副主任委员
中国抗癌协会肿瘤微创治疗专业委员会常务委员
中国防痨协会结核病转化医学专业分会常务委员
第一届中国人体健康科技促进会呼吸介入专委会常务委员
中国医疗保健国际交流促进会结核病学分会第三届委员会常务委员
中国抗癌协会肿瘤微创治疗专业委员会粒子治疗学组第四届委员会委员
中华医学会结核临床专业委员会内镜介入委员
中华医学会放射学分会第十五届委员会介入学组呼吸系统介入专业委员会委员
北京健康促进会中青年专家委员会胸部疾病精准活检分委会副主任委员
中国医师协会介入医师分会第二届委员会肿瘤消融专业委员会委员
中国结核病防治综合质量控制专家指导委员会委员
亚洲冷冻治疗学会常务委员
世界内镜医师协会呼吸内镜协会常务理事
内镜临床诊疗质量评价专家委员会委员
“西部呼吸介入联盟”副理事长
专业擅长:
呼吸系统(肺)疑难病的诊断及危重病的抢救,呼吸系统(肺)感染性、疑难性疾病介入快速诊断(ROSE),尤其在肺癌、肺小结节早期诊断,肺癌微创综合靶向治疗,难治性、复治性、重症肺结核诊疗,硬质支气管下复杂性气道狭窄诊治,纤支镜介入治疗气道肿瘤、结核、气道狭窄(球囊扩张、支架植入、高频电刀、氩气刀、冷冻、灌洗、注药、微波消融),间质性肺疾病的诊疗上具有极高水平;带领团队勇于创新,在贵州省率先开展多项新技术、新疗法,如CT引导下及纤支镜下I125粒子植入及CT引导下微波、射频消融介入治疗肺癌等多项新技术,带动了贵州省肺部疾病的介入治疗水平提高。
蒋 婷
呼吸与危重症医学科
总负责人
副主任医师
专业擅长:从医20余年,在呼吸系统疾病、介入呼吸病学、肺部结核、肺部肿瘤等方面具有丰富的临床经验和专业技能,尤其是慢性阻塞性肺疾病、支气管扩张、肺结核、耐药肺结核、肺癌、胸腔积液等肺部疾病的诊治、微创介入、危重病患者抢救。
现任中国防痨协会人兽共患结核病专业分会委员,中国女医师协会第一届介入专业委员会委员,贵州省基层呼吸疾病防治联盟-间质性肺疾病联盟委员,贵州省防痨协会第七届理事会理事,贵州省中西医结合学会呼吸专业委员介入呼吸病学组委员,贵州省遵义市中医药学会中西医结合肺病(呼吸)分会副主任委员,贵州省遵义市中医药学会中医肿瘤专业委员会常委;发表论文数篇,参与并主持多项科研项目。
李桂凤
呼吸与危重症医学科
三病区 主任
副主任医师
专业擅长:从事呼吸系统疾病、结核病学、介入呼吸病学、肿瘤综合治疗、呼吸康复等临床工作20余年,擅长呼吸内科常见病、多发病及疑难重症危重病症的诊治,尤其对重症疑难结核及耐药结核病、介入治疗(肺)呼吸系统疾病、呼吸危重病抢救等方面具有较高诊疗水平。
中国防痨协会非结核病专业委员会委员,贵州省中西医结合学会第六届呼吸专业委员会委员,贵州省康复学会睡眠障碍康复专业委员会委员,遵义市呼吸内科医疗质量控制中心委员,遵义市落实民生实事结核病筛查阅片专家组成员;主持及参与实用新型专利3项。
周裕祥
呼吸与危重症医学科
四病区 主任
副主任医师
专业擅长:经皮肺介入、经血管介入诊疗技术。
贵州省中西医结合学会呼吸专业委员会介入呼吸病学组常务委员,中国医师协会呼吸医师分会介入呼吸病学工作委员会呼吸病血管介入学组委员,贵州省中西医结合学会呼吸学分会委员,遵义市医学会放射肿瘤治疗学分会委员,中国医药教育协会介入微创呼吸分会委员,北京健康促进会中青年专家委员会胸部疾病精准活检分委会委员;曾赴重庆医科大学RICU、珠海市人民医院介入科进修学习。
杨 芳
呼吸与危重症医学科
内镜中心 主任
副主任医师
专业擅长:从事临床工作约16年,对呼吸危重病的救治有独到的见解,尤其擅长呼吸系统疾病的介入诊疗,对呼吸内镜下的诊治及经皮肺穿刺诊疗技术具有丰富的临床经验。
亚洲冷冻治疗学会委员,中国医药教育协会介入微创呼吸分会委员,西南结核病医院联盟第二届委员会秘书/委员,贵州省中西医结合学会第六届呼吸科专业委员会委员,贵州省中西医结合学会呼吸专业委员会介入呼吸病学组秘书,贵州省中西医结合学会呼吸专业委员会基层康复学组副组长,贵州水利电力医学科学技术会高原医学分会委员,遵义市中医院学会中西医结合肺病(呼吸)分会秘书/常务委员,遵义市医学会肿瘤学分会(第二届)委员,遵义市医学会放射肿瘤治疗学分会第二届委员;主持及参与科研课题多项,参编著作《呼吸内镜操作技术规范》、《介入结核病学》,发表论文数篇。
贵州航天医院
呼吸与危重症医学科简介
贵州航天医院呼吸与危重症医学科以呼吸危重症和介入呼吸病学为强力推手,以肺部感染性疾病及肺癌、肺小结节的早期精准诊疗、慢性呼吸疾病康复治疗为特色,以人才团队建设为核心的科室发展模式,现已成为省内呼吸疾病治疗规模最大,诊疗项目最全的呼吸疾病品牌科室。是贵州省医学重点学科、临床医学重点专科建设单位,遵义市首批呼吸重点学科、重点专科建设单位。是国家卫健委能力建设和继续教育肿瘤微创介入建设中心、贵州省县级医院微创介入培训中心、遵义市呼吸疾病临床医学中心。是国家呼吸医疗质量控制与管理哨点医院、遵义市呼吸内科专业医疗质量控制中心。是中国医药教育协会介入微创呼吸分会呼吸介入技术培训中心单位;国家卫健委海医会呼吸分会ROSE专委会“诊断性介入肺脏病学快速现场评价”培训基地;中国肺癌防治联盟“贵州航天医院肺结节诊治”分中心,中国人体健康科技促进会呼吸介入技术培训基地,贵州省中西医结合会呼吸学分会呼吸介入专委会主委单位。
基本情况
平均每年开展气管镜诊疗约4000例,经皮肺穿刺介入诊疗近千例,开展的项目包括经支气管镜(软、硬)下冷冻、氩气刀、高频电刀、球囊扩张、支架置入、超声内镜诊疗等气道介入诊疗技术,经皮肺穿刺活检及肿瘤消融术(微波、冷冻)、ROSE技术、内科胸腔镜诊疗及经血管介入诊疗技术,且多项呼吸介入诊疗技术在省内处于领先水平。
诊疗范围
致力于呼吸系统感染性、疑难性疾病的介入快速精准诊疗,肺癌与肺小结节早期精准诊疗水平项目提升。
擅长呼吸系统(肺)疑难病的诊断及危重病的救治,尤其在肺癌、肺小结节的早期诊断,肺癌综合靶向治疗,肺结核综合诊疗,肺部疾病的介入诊疗在省内处于前沿水平。
作 者:杨 芳(呼吸与危重症医学科)
编 辑:陈 伟
一 审:杨 芳
二 审:唐语蔚、刘 鑫
三 审:蒙昌耀


