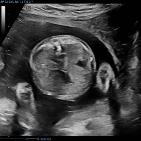
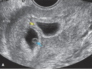
多年来,贵州航天医院各科室紧跟医学前沿,不断强技术、补短板,大力开展新技术、新项目,完成了许多高精尖、高难度、本地区“首例”的技术,填补了医院医疗技术空白,满足了群众日益增长的医疗需求。 复杂性双胎超声监护耗时耗力,技术难度大,风险高,为填补本地区复杂性双胎的超声监护技术空白,我院超声科在遵义市率先开展了此项技术,有效满足了双胎孕妇产检需求,保障了双胎新生儿的平安健康。 本期,我们将为大家带来超声科特色技术——复杂性双胎的超声监护。 案例分享 案例一 28岁的孕妇,自然受孕,怀有单绒毛膜双羊膜囊双胎(MCDA),在我院定期产检的过程中,孕32周超声检查发现两个胎儿的大脑中动脉血流流速(MCA-PSV)相差>0.7倍数的正常值(MoM),高度怀疑发生了双胎贫血红细胞增多序列征(TAPS)。为进一步明确诊断,产科立即组织超声科、手术室、新生儿科等科室进行多学科会诊(MDT),诊断为:双胎贫血红细胞增多序列征(TAPS),在征得孕妇及其家属的同意后,决定提前分娩,及时保障了两名胎儿的生命和健康。 双胎大脑中动脉血流 双胎贫血红细胞增多序列征(TAPS) 案例二 一名26岁的孕妇,是完全双角子宫,且为左侧子宫妊娠,怀有单绒毛膜双羊膜囊双胎(MCDA),一直在我院规律产检,孕16周时,超声检查发现双胎生长不一致,体重相差超过25%,考虑子宫畸形合并早发选择性胎儿宫内生长受限。孕妇在咨询相关上级医院专家后,得到减胎的建议,又前来我院咨询,在我院超声科和产科的合作下,查阅了大量文献、认真评估检查报告后,建议孕妇继续双胎妊娠。在规律、严密的超声监护下,双胎除体重差异外未出现严重胎儿并发症,在34周进行了分娩,截至目前,新生儿生长发育均正常。 胎儿生长曲线及子宫畸形三维重建 出生时体重差异 十月龄时 案例三 一名30岁的孕妇,自然受孕,怀有单绒毛膜双羊膜囊双胎(MCDA),在孕22周时超声检查发现双胎发生了选择性胎儿宫内生长受限,遂转诊到上级医院拟行胎儿镜治疗,但在行治疗的前一天,较小的胎儿在宫内发生死亡,在充分与孕妇及家属沟通后,要求继续妊娠,在定期规范的产检下,严密监测胎儿生长发育及胎儿颅脑MRI影像,最终在孕37周时通过剖宫产分娩,目前新生儿生长发育情况良好。 双胎之一胎死宫内(右图) 贵州航天医院自2021年开展复杂性双胎的超声监护以来,已服务大量双胎孕妇,集齐了所有单绒毛膜双羊膜囊双胎(MCDA)并发症病例,由经验丰富的超声医师进行此项检查,产科专业团队进行双胎的规范化监护和分娩,并与重庆医科大学附属第一医院建立了转诊通道,能够及时获得该院专家的指导和支持,为广大孕产妇提供优质、全面的医疗保障。 点击跳转贵州航天医院便民服务电话 什么是复杂性双胎的超声监护 “双胎”被称为产科之王,单绒毛膜双胎则为王中王,主要是因为单绒毛膜双羊膜囊双胎(MCDA)两胎儿共用一个胎盘,胎盘中存在血管吻合。 双胎妊娠的产前筛查及诊断主要依靠超声,相对于单胎妊娠,双胎妊娠并不是单胎检查的重复,双胎妊娠尤其是复杂性双胎的超声诊断更为重要的是关注双胎间循环的关联,双胎间生理及病理改变的相互影响,双胎间血流动力学监测及双胎间差异比较。 超声如何诊断 复杂性双胎并发症 在孕14周以前,超声要明确双胎的绒毛膜性:是单绒毛膜(MC)还是双绒毛膜(DC);孕10周前,可以通过孕囊的个数确定绒毛膜性;孕11周—14周,可以通过胎儿的性别、双胎之间隔膜的厚度、双胎儿分隔膜处胎盘的形态等来区分绒毛膜性。 双绒毛膜双胎的管理和单胎差不多,基本不需要增加超声检查的频次。单绒毛膜的管理相对谨慎,按照国际国内指南规范,单绒毛膜双胎自第16周起,每两周对双胎儿进行生长发育评估及血流检查。 复杂性双胎的超声监护,对超声医生技术要求较高,孕早期需对双胎的绒毛膜性进行精确判断;产科医生根据绒毛膜性制定孕期的产检计划;超声医生掌握胎儿宫内情况,及时与产科医生沟通,精确了解胎儿宫内安危后制定合适的治疗方案,给出适当的终止妊娠时机;复杂性双胎一般都面临早产的风险,所以新生儿团队的专业保障不可或缺,降低新生儿出生后的并发症及提高新生儿生活质量。复杂性双胎的较好妊娠结局,是通过孕期超声科、产科紧密合作,及新生儿出生后新生儿科管理多学科团队合作所获得的。 贵州航天医院超声科专家团队 吴艳辉 超声科 学科带头人 主任医师 专业擅长:从事超声诊断工作约30年,对心血管、小器官超声、超声引导下介入等具有丰富的临床经验。 骆科美 超声科 副主任医师 专业擅长:从事超声诊断工作33年,对胎儿心脏及颅脑、妇产超声诊断、盆底超声等诊断具有丰富的临床经验。 胡大海 超声科 副主任医师 专业擅长:从事超声工作17年,对心血管、外周血管、浅表器官超声诊断等具有丰富的临床经验。 刘 敏 超声科 副主任医师 专业擅长:从事超声诊断工作20余年,对妇产科超声、心脏血管超声诊断具有丰富的临床经验。 贵州航天医院超声科简介 贵州航天医院超声科配备多种超声检查设备(飞利浦彩超(IU-22、IU-Elite、HD11、Q5、Q7),迈瑞超声I9、DC-6、DC-8、GE-E8及床旁机,彩色超声诊断仪等),设有心血管诊室、妇产科诊室、腹部诊室、绿色通道、浅表小器官等检查室。 • ✦ 专科特色 ✦ • 四肢血管超声检查、双胎产前筛查及超声监护、超声造影检查技术、介入超声临床应用、经颅脑实质超声辅助筛查诊断帕金森病、女性性早熟超声诊断、盆底超声检查等。 NT超声检查 超声介入引导 肝脏超声造影 甲状腺造影 颅脑超声帕金森辅助检查 乳腺超声造影 上肢动静脉造瘘超声检查 双胎超声筛查 下肢血管超声检查 右心造影 • ✦ 诊疗范围 ✦ • 科室业务覆盖腹部、泌尿、妇科、产科(常规、NT筛查、III级筛查超声检查及高危妊娠监护)、成人心脏、外周血管、浅表器官(包含甲状腺、乳腺、阴囊、眼睛等)、颅脑(小儿颅脑、成人颅脑)、小儿肺超、造影、盆底、腹直肌、肌骨神经等检查及各种介入引导。
作 者:骆科美(超声科)、李茜娴(产 科)
编 辑:陈 伟
一 审:吴艳辉(超声科)
二 审:唐语蔚、刘 鑫
三 审:蒙昌耀


