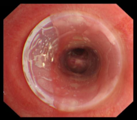
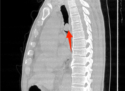
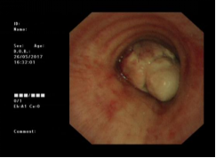
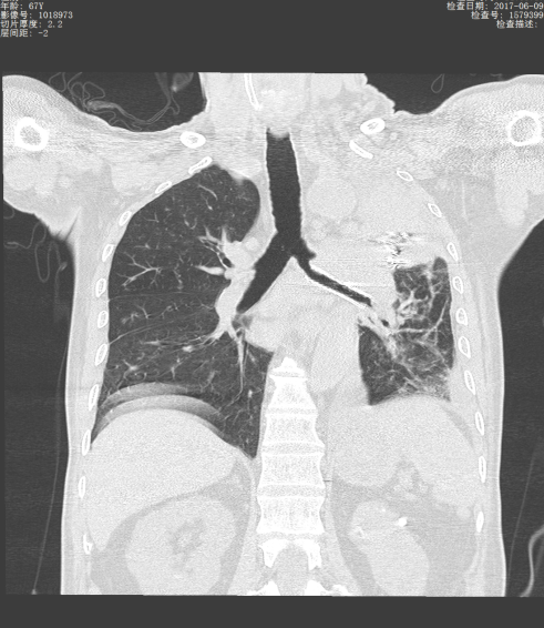
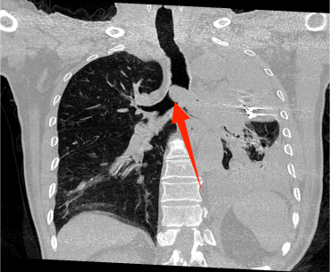
近年来,贵州航天医院各科室紧跟医学前沿,不断强技术、补短板,大力开展新技术、新项目,完成了许多高精尖、高难度、本地区“首例”的技术,填补了医院医疗技术空白,满足了群众日益增长的医疗需求。 贵州航天医院呼吸与危重症医学科是贵州省内呼吸疾病治疗规模最大,诊疗项目最全的呼吸疾病品牌科室,呼吸介入技术达到了全国先进水平,在贵州省内处于领先的地位。 本期,我们将为大家带来呼吸与危重症医学科特色技术——气道支架置入技术治疗呼吸不畅(已纳入乙类医保报销)。 案例分享 一患者因出现呼吸困难、气急等症状,听说我院呼吸与危重症医学科呼吸系统疾病诊疗实力在省内属于前列,慕名前来就诊,入院后,呼吸与危重症医学科为患者完善了胸部CT检查,提示:左主支气管肿瘤生长至气管下段,左肺不张,对此,科室立即组织多学科(MDT)讨论,对患者进行全面的诊断评估,诊断为:左肺鳞癌,左肺不张,气管下段内生型狭窄,左主支气管堵塞。 在充分了解患者及家属的治疗需求和征得治疗同意后,为进一步减轻患者呼吸困难症状,决定为患者实施气道支架置入技术,通过将支气管镜插入到气管中,使用气道球囊扩张器对狭窄的气道进行扩张,在病变部位置入支架扩张狭窄的支气管后,患者安全返回病房。 国产镍钛记忆合金支架植入步骤 术后,患者左主支气管通畅。 什么是气道支架置入技术 气道支架置入技术是一种用于治疗气道狭窄及气道相关性瘘等疾病重要的手段,尤其适用于因恶性肿瘤或其他原因导致的呼吸困难患者。是利用一种保持管腔完整性的人造装置——支架并应用支架置入器在X线透视或支气管镜直视下将支架置入气道保持气道通气功能的一种方法。 目前气道支架最常见的类型有可膨胀金属气道支架、硅酮支架及混合性支架等,以可膨胀金属支架为最常用。 气道支架置入技术原理 是将具有一定张力和弹力的支撑物(即气管支架)置入气道内,将狭窄或塌陷的气道撑开,从而维持气道通畅,或堵住破裂的瘘口。根据气管、支气管不同部位的解剖特点和病变情况,选择对应型号的支架,并通过气管镜的指引,在病灶位置植入合适的支架,也可根据气道的收缩性、不规则性和狭窄程度,进行适当调整。 气道支架置入技术优势 (一)快速缓解呼吸困难:支架置入能够迅速撑开狭窄或塌陷的气道,显著改善患者的呼吸困难症状。 (二)降低气道塌陷风险:对于某些肿瘤或炎症引起的气道狭窄,支架置入可以稳定气道结构,降低气道塌陷和窒息的风险。 (三)创伤小、恢复快:相较于传统手术,气道支架置入术具有微创的特点,患者术后恢复较快,痛苦较小。 气道支架可减轻或抵抗外部压力,扩大狭窄气道后,中央气道梗阻的症状和体征可立即减轻或消除,肺功能、运动能力及生活质量也得到改善。理想的气道支架应具备对气道壁物理性刺激小、置入后不移位、能阻止肿瘤或组织向支架内生长、不影响排痰、可以并容易回收等特点。 贵州航天医院 呼吸与危重症医学科专家团队 廖江荣 国务院政府特殊津贴专家 二级教授 主任医师 贵州航天医院副院长 国家级学术任职: 第二届中国医药教育协会介入微创专业委员会呼吸分会副主任委员 中国抗癌协会肿瘤微创治疗专业委员会常务委员 中国防痨协会结核病转化医学专业分会常务委员 第一届中国人体健康科技促进会呼吸介入专委会常务委员 中国医疗保健国际交流促进会结核病学分会第三届委员会常务委员 中国抗癌协会肿瘤微创治疗专业委员会粒子治疗学组第四届委员会委员 中华医学会结核临床专业委员会内镜介入委员 中华医学会放射学分会第十五届委员会介入学组呼吸系统介入专业委员会委员 北京健康促进会中青年专家委员会胸部疾病精准活检分委会副主任委员 中国医师协会介入医师分会第二届委员会肿瘤消融专业委员会委员 中国结核病防治综合质量控制专家指导委员会委员 亚洲冷冻治疗学会常务委员 世界内镜医师协会呼吸内镜协会常务理事 内镜临床诊疗质量评价专家委员会委员 “西部呼吸介入联盟”副理事长 专业擅长: 呼吸系统(肺)疑难病的诊断及危重病的抢救,呼吸系统(肺)感染性、疑难性疾病介入快速诊断(ROSE),尤其在肺癌、肺小结节早期诊断,肺癌微创综合靶向治疗,难治性、复治性、重症肺结核诊疗,硬质支气管下复杂性气道狭窄诊治,纤支镜介入治疗气道肿瘤、结核、气道狭窄(球囊扩张、支架植入、高频电刀、氩气刀、冷冻、灌洗、注药、微波消融),间质性肺疾病的诊疗上具有极高水平;带领团队勇于创新,在贵州省率先开展多项新技术、新疗法,如CT引导下及纤支镜下I125粒子植入及CT引导下微波、射频消融介入治疗肺癌等多项新技术,带动了贵州省肺部疾病的介入治疗水平提高。 蒋 婷 呼吸与危重症医学科 总负责人 副主任医师 专业擅长:从医20余年,在呼吸系统疾病、介入呼吸病学、肺部结核、肺部肿瘤等方面具有丰富的临床经验和专业技能,尤其是慢性阻塞性肺疾病、支气管扩张、肺结核、耐药肺结核、肺癌、胸腔积液等肺部疾病的诊治、微创介入、危重病患者抢救。 现任中国防痨协会人兽共患结核病专业分会委员,中国女医师协会第一届介入专业委员会委员,贵州省基层呼吸疾病防治联盟-间质性肺疾病联盟委员,贵州省防痨协会第七届理事会理事,贵州省中西医结合学会呼吸专业委员介入呼吸病学组委员,贵州省遵义市中医药学会中西医结合肺病(呼吸)分会副主任委员,贵州省遵义市中医药学会中医肿瘤专业委员会常委;发表论文数篇,参与并主持多项科研项目。 李桂凤 呼吸与危重症医学科 三病区 主任 副主任医师 专业擅长:从事呼吸系统疾病、结核病学、介入呼吸病学、肿瘤综合治疗、呼吸康复等临床工作20余年,擅长呼吸内科常见病、多发病及疑难重症危重病症的诊治,尤其对重症疑难结核及耐药结核病、介入治疗(肺)呼吸系统疾病、呼吸危重病抢救等方面具有较高诊疗水平。 中国防痨协会非结核病专业委员会委员,贵州省中西医结合学会第六届呼吸专业委员会委员,贵州省康复学会睡眠障碍康复专业委员会委员,遵义市呼吸内科医疗质量控制中心委员,遵义市落实民生实事结核病筛查阅片专家组成员;主持及参与实用新型专利3项。 周裕祥 呼吸与危重症医学科 四病区 主任 副主任医师 专业擅长:经皮肺介入、经血管介入诊疗技术。 贵州省中西医结合学会呼吸专业委员会介入呼吸病学组常务委员,中国医师协会呼吸医师分会介入呼吸病学工作委员会呼吸病血管介入学组委员,贵州省中西医结合学会呼吸学分会委员,遵义市医学会放射肿瘤治疗学分会委员,中国医药教育协会介入微创呼吸分会委员,北京健康促进会中青年专家委员会胸部疾病精准活检分委会委员;曾赴重庆医科大学RICU、珠海市人民医院介入科进修学习。 杨 芳 呼吸与危重症医学科 内镜中心 主任 副主任医师 专业擅长:从事临床工作约16年,对呼吸危重病的救治有独到的见解,尤其擅长呼吸系统疾病的介入诊疗,对呼吸内镜下的诊治及经皮肺穿刺诊疗技术具有丰富的临床经验。 亚洲冷冻治疗学会委员,中国医药教育协会介入微创呼吸分会委员,西南结核病医院联盟第二届委员会秘书/委员,贵州省中西医结合学会第六届呼吸科专业委员会委员,贵州省中西医结合学会呼吸专业委员会介入呼吸病学组秘书,贵州省中西医结合学会呼吸专业委员会基层康复学组副组长,贵州水利电力医学科学技术会高原医学分会委员,遵义市中医院学会中西医结合肺病(呼吸)分会秘书/常务委员,遵义市医学会肿瘤学分会(第二届)委员,遵义市医学会放射肿瘤治疗学分会第二届委员;主持及参与科研课题多项,参编著作《呼吸内镜操作技术规范》、《介入结核病学》,发表论文数篇。 贵州航天医院 呼吸与危重症医学科专家团队 贵州航天医院呼吸与危重症医学科以呼吸危重症和介入呼吸病学为强力推手,以肺部感染性疾病及肺癌、肺小结节的早期精准诊疗、慢性呼吸疾病康复治疗为特色,以人才团队建设为核心的科室发展模式,现已成为省内呼吸疾病治疗规模最大,诊疗项目最全的呼吸疾病品牌科室。是贵州省医学重点学科、临床医学重点专科建设单位,遵义市首批呼吸重点学科、重点专科建设单位。是国家卫健委能力建设和继续教育肿瘤微创介入建设中心、贵州省县级医院微创介入培训中心、遵义市呼吸疾病临床医学中心。是国家呼吸医疗质量控制与管理哨点医院、遵义市呼吸内科专业医疗质量控制中心。是中国医药教育协会介入微创呼吸分会呼吸介入技术培训中心单位;国家卫健委海医会呼吸分会ROSE专委会“诊断性介入肺脏病学快速现场评价”培训基地;中国肺癌防治联盟“贵州航天医院肺结节诊治”分中心,中国人体健康科技促进会呼吸介入技术培训基地,贵州省中西医结合会呼吸学分会呼吸介入专委会主委单位。 基本情况 平均每年开展气管镜诊疗约4000例,经皮肺穿刺介入诊疗近千例,开展的项目包括经支气管镜(软、硬)下冷冻、氩气刀、高频电刀、球囊扩张、支架置入、超声内镜诊疗等气道介入诊疗技术,经皮肺穿刺活检及肿瘤消融术(微波、冷冻)、ROSE技术、内科胸腔镜诊疗及经血管介入诊疗技术,且多项呼吸介入诊疗技术在省内处于领先水平。 诊疗范围 致力于呼吸系统感染性、疑难性疾病的介入快速精准诊疗;肺癌与肺小结节早期精准诊疗水平项目提升。擅长于呼吸系统(肺)疑难病的诊断及危重病的救治,尤其在肺癌、肺小结节的早期诊断;肺癌综合靶向治疗;肺结核综合诊疗;肺部疾病的介入诊疗在省内处于前沿水平。
作 者:杨 芳(呼吸与危重症医学科)
编 辑:陈 伟
一 审:杨 芳
二 审:唐语蔚、刘 鑫
三 审:蒙昌耀


