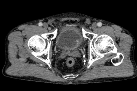
多年来,贵州航天医院各科室紧跟医学前沿,不断强技术、补短板,大力开展新技术、新项目,完成了许多高精尖、高难度、本地区“首例”的技术,填补了医院医疗技术空白,满足了群众日益增长的医疗需求。 本期,我们将为大家带来泌尿外科特色技术——腹腔镜膀胱癌根治术+原位新膀胱术,保留患者自然排尿功能。 案例分享 患者(60岁)在当地医院检查发现膀胱多发肿瘤,在行膀胱肿瘤电切术后,病理提示:高级别尿路上皮癌,该院医生建议患者进行根治性膀胱切除,但切除后肚子上将存在永久造瘘并需佩戴腹壁尿袋,尿液不能自己控制,随时会从肚子流出。 患者拒绝接受挂尿袋的方式,在辗转多个医院咨询后,得知贵州航天医院泌尿外科具有切除膀胱后肚子上不用佩戴尿袋的技术,于是前来我院就诊。泌尿外科腔镜组组长李凯教授带领团队经过反复研究病史及阅片,充分考虑患者需求并征得患者及家属同意后,决定为患者实施腹腔镜根治性膀胱切除术+原位回肠新膀胱术。 CT示膀胱内多发肿瘤 经过6个多小时紧张的手术,顺利切除膀胱并取长约40cm的肠管重新整合成新膀胱,再与输尿管、尿道吻合后原位代替病变的膀胱。切除的组织经过病理检测,提示:恶性上皮肿瘤,符合膀胱高级别浸润性尿路上皮癌,侵及深肌层。 术后3天,患者可以正常排尿;1周后顺利出院;1月后拔出双侧单J管及尿管,患者反馈小便顺畅,无尿失禁等不良情况出现;3月后患者进行尿流率检测,自主排尿通畅。 术后腹壁伤口愈合良好 患者术后3月新膀胱影像 术后3月,患者行尿流率检测 自主排尿通畅 腹腔镜膀胱癌根治术+原位新膀胱术代表了现代泌尿外科技术的最高水平,它不仅为膀胱癌患者提供了根治肿瘤的机会,还通过微创技术和功能重建,帮助患者重获高质量的生活。贵州航天医院泌尿外科李凯教授团队结合患者实际情况对该技术进行了改良,全手工缝合新膀胱,确保患者排尿正常且避免了结石等并发症的出现,已完成多例手术,在遵义地区处于一流水平,为遵义地区患者健康保驾护航。 咨询信息:贵州航天医院便民服务电话 什么是腹腔镜膀胱癌根治术+ 原位新膀胱术 膀胱癌是泌尿系统常见的恶性肿瘤之一,传统的手术方式虽然有效,但创伤大、恢复慢,患者需终生佩戴腹壁尿袋,生活不便且影响社交,给患者带来了极大的身体和心理负担。随着医学技术的不断进步,腹腔镜膀胱癌根治术+原位新膀胱术成为治疗膀胱癌的先进选择,以其精准、微创、恢复快的优势,为患者带来了新的选择和希望。 腹腔镜膀胱癌根治术+原位 新膀胱术原理 腹腔镜膀胱癌根治术是一种微创手术,通过腹腔镜技术,医生可以在高清影像的引导下,精准切除病变的膀胱及周围可能受侵的组织。与传统开腹手术相比,腹腔镜手术切口小、出血少、术后疼痛轻,患者恢复更快。 原位新膀胱术则是在切除膀胱后,利用患者自身的肠道组织(通常为回肠)构建一个新的膀胱,并将其与尿道连接,使患者能够通过正常途径排尿,极大提高了术后生活质量。相比传统的尿流改道术(如回肠代膀胱术),原位新膀胱术更符合生理结构,患者无需佩戴尿袋,生活质量显著提升。 腹腔镜膀胱癌根治术+原位 新膀胱术优势 (一)微创精准,减少创伤 腹腔镜手术通过几个小切口完成操作,避免了传统开腹手术的大切口,减少了术中出血和组织损伤,术后疼痛轻,恢复快。 (二)原位新膀胱,恢复自然排尿功能 原位新膀胱术重建了患者的排尿功能,术后患者可以通过尿道正常排尿,避免了佩戴尿袋的不便和心理压力。 (三)术后并发症少,恢复快 由于手术创伤小,术后感染、肠梗阻等并发症的发生率显著降低,患者住院时间短,能够更快回归正常生活。 (四)提高生活质量 原位新膀胱术不仅保留了患者的排尿功能,还减少了术后对生活的影响,患者可以更好地融入社会和工作。 术后康复与护理 术后患者需遵循医生的指导,逐步恢复饮食和活动。早期可能需要进行膀胱功能训练,以适应新膀胱的排尿功能,定期复查和随访是确保术后长期效果的关键。 友情提醒: 发现无痛性肉眼血尿,需警惕泌尿系肿瘤,尤其是发病率较高的膀胱癌,须尽早就诊。 贵州航天医院泌尿外科专家团队 石 英 泌尿外科主 任 学科带头人 主任医师 中国医师协会泌尿外科分会感染协作组委员,奥林巴斯泌尿系软镜西南区专家组成员,西南地区第一批输尿管软镜专家组成员,贵州省医学会泌尿外科分会委员,贵州省性学会理事,贵州省性学会常务委员,贵州省泌尿外科专业医疗质量控制中心专家委员会委员。 从事泌尿外科专业近30年,熟练掌握泌尿系各类疾病的诊治,具有丰富的临床经验,擅长泌尿系结石、腹膜后肿瘤及泌尿系肿瘤的手术治疗,对泌尿系感染、泌尿系结核、尿源性脓毒血症的救治有独到的见解及抢救经验,在贵州省率先引入输尿管软镜技术,同时在男科领域,对男性阳痿、早泄及前列腺疾病有很深的研究。 李 凯 泌 尿 外 科 副 主 任 医 师 贵州航天医院肿瘤腔镜组带头人,擅长肾癌根治术、输尿管癌根治术、膀胱及前列腺癌根治术、腹腔镜输尿管狭窄切除吻合术、输尿管切开取石术等手术,在遵义市率先开展泌尿系结核后膀胱挛缩全腹腔镜下膀胱扩大术。 贵州省医学会泌尿外科分会青年委员,遵义市医学会男科分会常务委员,遵义市医学会泌尿外科分会常务委员。 李国成 泌 尿 外 科 副 主 任 医 师 中国人体健康科技促进会男科学专业委员会委员,贵州省性学会泌尿外科分会委员,贵州省医学会男科学分会委员,遵义市医学会男科学分会副主任委员兼秘书长,遵义市医学会泌尿外科分会常务委员,贵州航天医院男科带头人。 从事泌尿外科及男科工作10余年,曾多次在上海交通大学附属第一人民医院,中国中医科学院西苑医院进修学习男科;擅长性功能障碍的诊治,男性整形手术,前列腺增生激光手术,显微手术等。 贵州航天医院泌尿外科简介 • ✦ 基本情况 ✦ • 贵州航天医院泌尿外科创建于1968年,经过几代人的努力,微创与内镜手术占比达90%以上。是贵州省临床重点专科建设单位、北京清华长庚医院李建新教授团队诊疗及会诊中心、北京医学会尿路修复与重建诊疗及会诊中心、上海公济泌尿外科集团遵义中心、上海援黔专家李铮教授男科工作室、贵州省泌尿外科质量控制专家委员单位,科室亚专业框架已完善。 • ✦ 专科特色技术 ✦ • (一)泌尿系结石内镜碎石技术 泌尿系结石微创治疗领域方面是贵州省首家引进科医人钬激光碎石技术科室,在遵义地区率先掌握输尿管硬镜、软性镜,经皮肾镜钬激光碎石技术。目前是北京清华长庚医院泌尿外科“手把手”经皮肾镜碎石技术培训基地、贵州省输尿管软镜培训基地。 1.负压吸引可弯曲软镜鞘电子软镜碎石术 2.标准与超微通道相结合的经皮肾镜碎石取石术 (二)微创腹腔镜技术 泌尿外科腹腔镜技术师承于浙江省人民医院、北大、北京解放军总医院。目前采用经腹、经后腹双入路法的腹腔镜技术完成肾部分切除、肾切除、肾输尿管全长切除、肾盂输尿管成形、输尿管狭窄吻合、膀胱翻瓣等手术。在遵义地区率先掌握腹腔镜下膀胱癌根治术、腹腔镜下前列腺癌根治术。 (三)男科、盆底技术临床应用 遵义地区男科分会主委单位,是贵州省首家引进尿动力学检查并取得了全国资质认证科室,也是贵州省首家进行RigiScan检查的单位。在遵义地区率先掌握显微取精子技术以及显微镜下治疗精索静脉曲张、显微镜下输精管吻合、输精管附睾吻合技术。率先采用前列腺激光剜除术治疗前列腺增生症。在陆军军医大学西南医院泌尿外科主任沈文浩教授指导下,完成遵义市首例神经源性膀胱骶神经调节刺激器置入术。 • ✦ 诊疗范围 ✦ • 诊疗范围(除外肾移植、癌栓):泌尿系结石、泌尿系肿瘤、肾上腺疾病、肾积水、前列腺增生、男性生殖器功能障碍(精索静脉曲张、生殖道感染、输精管梗阻等)、盆底功能障碍性疾病(膀胱脱垂、排尿功能异常、尿失禁)、泌尿生殖系畸形。 泌尿外科拥有独立门诊治疗室、日间手术室、尿动力学检查室、精液分析检查室、男性勃起功能检查及治疗室、ESWL治疗室、结石分析检查室。
作 者:李 凯、田 浪(泌尿外科)
编 辑:陈 伟
一 审:石 英(泌尿外科)
二 审:唐语蔚
三 审:蒙昌耀
阅读 896
修改于2025年03月04日


