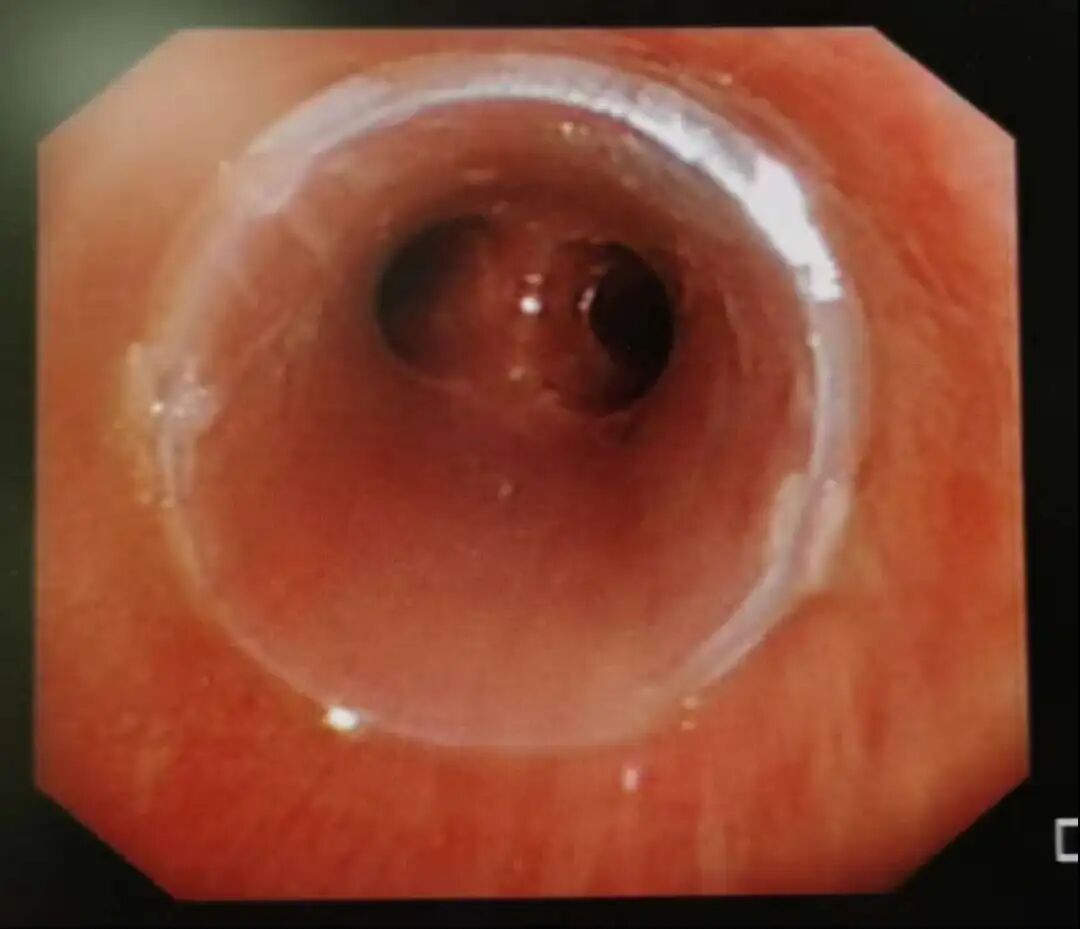
在医院这个没有硝烟的战场上,每一次与死神的博弈都是一场惊心动魄的战斗。近日,贵州航天医院呼吸与危重症医学科团队就经历了这样一场争分夺秒的生死较量,成功从死神手中夺回了一位患者的生命。 治疗前 一名由专科联盟合作单位转入我院的35岁男性患者,因中心气道重度瘢痕狭窄,吸气性呼吸困难,只能依靠呼吸机来维持生命体征,需紧急打开气道,否则患者就有生命危险,情况十分危急。 治疗中 多学科协作打通生命通道 面对如此紧急的情况,贵州航天医院呼吸与危重症医学科牵头,联合麻醉科、重症医学科、影像科等多个科室的专家紧急展开了多学科会诊(MDT),共同商讨治疗方案。最终,决定在全身麻醉的状态下,通过硬镜,使用高频电刀切开气管狭窄处,进行球囊扩张和冷冻等手术,经过一系列精细的操作和医护人员的不懈努力,患者呼吸终于逐渐通畅,成功为患者打开生命通道。 治疗后 解析气道狭窄:沉默的健康杀手 说到这里,可能很多人会好奇,什么是中心气道狭窄呢?简单来说,中心气道狭窄就是气管、左右主支气管以及右中间段支气管这些部位,因为各种各样的原因变窄了。不管是良性疾病,还是恶性疾病导致的中心气道狭窄,都会给患者带来很大的痛苦。患者常常会感到不同程度的呼吸困难,呼吸时还会发出喘鸣声,严重的话还可能引发阻塞性肺炎,有些患者甚至会因为气道狭窄而窒息,生命受到严重威胁。 那么,面对中心气道狭窄,有什么好的治疗方法呢?目前,呼吸介入治疗已经成为大多数中心气道狭窄患者的首选。像硬质支气管镜切和扩张、热消融、冷冻治疗、球囊扩张以及气道支架等,都是治疗中心气道狭窄常用的方法。 呼吸介入治疗:精准微创技术 这里要特别说一说硬质气管镜,硬质支气管镜管鞘有个很实用的设计,它侧面有孔,可以和呼吸机连接,保证患者在手术过程中的氧气供应。同时,它还有一个比较粗的工作通道,通过这个通道,软性气管镜以及其他一些必要的器械就能进入气道里面。这样一来,医生就可以在直视的情况下,精准地进行支架释放、热消融、冷冻治疗等操作。 球囊扩张 与可弯曲支气管镜技术相比,硬质支气管镜技术有不少优势呢。它能够更好地维持气道的通畅,在处理大咯血这种紧急情况时很有帮助,还能缩短介入治疗的操作时间。 气道支架 使用硬质支气管镜可以获取比较大的活检标本,方便医生更准确地判断病情。另外,像放置或者摘除金属或硅酮支架这些特殊操作,只能在硬质支气管镜下才能完成。硬质支气管镜本身就可以用来进行气道扩张,和球囊扩张相比,它最大的优势就是在扩张的时候不需要中断患者的通气,能最大程度保障患者的呼吸。 近年来,贵州航天医院积极推动多学科诊疗模式(MDT),通过各科室跨学科间的合作,提供更为精准、全面的治疗方案,确保每一位患者都能享受到优质的医疗服务。未来,医院将继续深化MDT模式的推广与应用,探索创新更多合作诊疗手段,为患者带来实实在在的健康福祉。 廖江荣教授简介 廖江荣 国务院政府特殊津贴专家 二级教授 主任医师 呼吸与危重症医学科 学科带头人 国家级学术任职: 第二届中国医药教育协会介入微创专业委员会呼吸分会副主任委员 亚洲冷冻治疗学会副主席 中国抗癌协会肿瘤微创治疗专业委员会常务委员 中国防痨协会结核病转化医学专业分会常务委员 第一届中国人体健康科技促进会呼吸介入专委会常务委员 中国医疗保健国际交流促进会结核病学分会第三届委员会常务委员 中国抗癌协会肿瘤微创治疗专业委员会粒子治疗学组第四届委员会委员 中华医学会结核临床专业委员会内镜介入委员 中华医学会放射学分会第十五届委员会介入学组呼吸系统介入专业委员会委员 北京健康促进会中青年专家委员会胸部疾病精准活检分委会副主任委员 中国医师协会介入医师分会第二届委员会肿瘤消融专业委员会委员 中国结核病防治综合质量控制专家指导委员会委员 世界内镜医师协会呼吸内镜协会常务理事 内镜临床诊疗质量评价专家委员会委员 “西部呼吸介入联盟”副理事长 专业擅长: 呼吸系统(肺)疑难病的诊断及危重病的抢救,呼吸系统(肺)感染性、疑难性疾病介入快速诊断(ROSE),尤其在肺癌、肺小结节早期诊断,肺癌微创综合靶向治疗,难治性、复治性、重症肺结核诊疗,硬质支气管下复杂性气道狭窄诊治,纤支镜介入治疗气道肿瘤、结核、气道狭窄(球囊扩张、支架植入、高频电刀、氩气刀、冷冻、灌洗、注药、微波消融),间质性肺疾病的诊疗上具有极高水平;带领团队勇于创新,在贵州省率先开展多项新技术、新疗法,如CT引导下及纤支镜下I125粒子植入及CT引导下微波、射频消融介入治疗肺癌等多项新技术,带动了贵州省肺部疾病的介入治疗水平提高。 呼吸与危重症医学科简介 贵州航天医院呼吸与危重症医学科以呼吸危重症和介入呼吸病学为强力推手,以肺部感染性疾病及肺癌、肺小结节的早期精准诊疗、慢性呼吸疾病康复治疗为特色,以人才团队建设为核心的科室发展模式,现已成为省内呼吸疾病治疗规模最大,诊疗项目最全的呼吸疾病品牌科室。是贵州省医学重点学科、临床医学重点专科建设单位,遵义市首批呼吸重点学科、重点专科建设单位。是国家卫健委能力建设和继续教育肿瘤微创介入建设中心、贵州省县级医院微创介入培训中心、遵义市呼吸疾病临床医学中心。是国家呼吸医疗质量控制与管理哨点医院、遵义市呼吸内科专业医疗质量控制中心。是中国医药教育协会介入微创呼吸分会呼吸介入技术培训中心单位;国家卫健委海医会呼吸分会ROSE专委会“诊断性介入肺脏病学快速现场评价”培训基地;中国肺癌防治联盟“贵州航天医院肺结节诊治”分中心,中国人体健康科技促进会呼吸介入技术培训基地,贵州省中西医结合会呼吸学分会呼吸介入专委会主委单位。 基本情况 平均每年开展气管镜诊疗约4000例,经皮肺穿刺介入诊疗近千例,开展的项目包括经支气管镜(软、硬)下冷冻、氩气刀、高频电刀、球囊扩张、支架置入、超声内镜诊疗等气道介入诊疗技术,经皮肺穿刺活检及肿瘤消融术(微波、冷冻)、ROSE技术、内科胸腔镜诊疗及经血管介入诊疗技术,且多项呼吸介入诊疗技术在省内处于领先水平。 诊疗范围 致力于呼吸系统感染性、疑难性疾病的介入快速精准诊疗,肺癌与肺小结节早期精准诊疗水平项目提升。 擅长呼吸系统(肺)疑难病的诊断及危重病的救治,尤其在肺癌、肺小结节的早期诊断,肺癌综合靶向治疗,肺结核综合诊疗,肺部疾病的介入诊疗在省内处于前沿水平。 呼吸与危重症医学科 专家团队 蒋 婷 呼吸与危重症医学科 总负责人 副主任医师 专业擅长:从医20余年,在呼吸系统疾病、介入呼吸病学、肺部结核、肺部肿瘤等方面具有丰富的临床经验和专业技能,尤其是慢性阻塞性肺疾病、支气管扩张、肺结核、耐药肺结核、肺癌、胸腔积液等肺部疾病的诊治、微创介入、危重病患者抢救。 现任中国防痨协会人兽共患结核病专业分会委员,中国女医师协会第一届介入专业委员会委员,贵州省基层呼吸疾病防治联盟-间质性肺疾病联盟委员,贵州省防痨协会第七届理事会理事,贵州省中西医结合学会呼吸专业委员介入呼吸病学组委员,贵州省遵义市中医药学会中西医结合肺病(呼吸)分会副主任委员,贵州省遵义市中医药学会中医肿瘤专业委员会常委;发表论文数篇,参与并主持多项科研项目。 李桂凤 呼吸与危重症医学科 三病区 主任 副主任医师 专业擅长:从事呼吸系统疾病、结核病学、介入呼吸病学、肿瘤综合治疗、呼吸康复等临床工作20余年,擅长呼吸内科常见病、多发病及疑难重症危重病症的诊治,尤其对重症疑难结核及耐药结核病、介入治疗(肺)呼吸系统疾病、呼吸危重病抢救等方面具有较高诊疗水平。 中国防痨协会非结核病专业委员会委员,贵州省中西医结合学会第六届呼吸专业委员会委员,贵州省康复学会睡眠障碍康复专业委员会委员,遵义市呼吸内科医疗质量控制中心委员,遵义市落实民生实事结核病筛查阅片专家组成员;主持及参与实用新型专利3项。 周裕祥 呼吸与危重症医学科 四病区 主任 副主任医师 专业擅长:经皮肺介入、经血管介入诊疗技术。 贵州省中西医结合学会呼吸专业委员会介入呼吸病学组常务委员,中国医师协会呼吸医师分会介入呼吸病学工作委员会呼吸病血管介入学组委员,贵州省中西医结合学会呼吸学分会委员,遵义市医学会放射肿瘤治疗学分会委员,中国医药教育协会介入微创呼吸分会委员,北京健康促进会中青年专家委员会胸部疾病精准活检分委会委员;曾赴重庆医科大学RICU、珠海市人民医院介入科进修学习。 杨 芳 呼吸与危重症医学科 内镜中心 主任 副主任医师 专业擅长:从事临床工作近20年,对呼吸危重病的救治有独到的见解,尤其擅长呼吸系统疾病的介入诊疗,对呼吸内镜下的诊治及经皮肺穿刺诊疗技术具有丰富的临床经验。 亚洲冷冻治疗学会委员,中国医药教育协会介入微创呼吸分会委员,西南结核病医院联盟第二届委员会秘书/委员,贵州省中西医结合学会第六届呼吸科专业委员会委员,贵州省中西医结合学会呼吸专业委员会介入呼吸病学组秘书,贵州省中西医结合学会呼吸专业委员会基层康复学组副组长,贵州水利电力医学科学技术会高原医学分会委员,遵义市中医院学会中西医结合肺病(呼吸)分会秘书/常务委员,遵义市医学会肿瘤学分会(第二届)委员,遵义市医学会放射肿瘤治疗学分会第二届委员;主持及参与科研课题多项,参编著作《呼吸内镜操作技术规范》、《介入结核病学》,发表论文数篇。 End 作 者:杨 芳(呼吸与危重症医学科) 编 辑:唐语蔚 一 审:蒋 婷 二 审:黄成成 三 审:陈 伟


