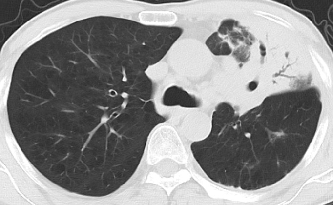
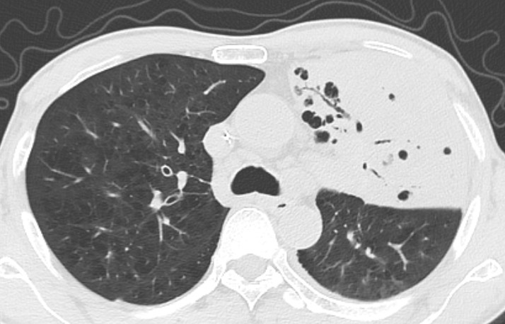
“我以为这次挺不过去了……”61岁的杨先生躺在病床上,高烧39℃、呼吸困难,左肺已被严重感染。从乡镇诊所到三甲医院,一场由普通感冒引发的“生死拉锯战”,在贵州航天医院呼吸与危重症医学科医护团队的守护下,最终康复出院。 【一场“小感冒”背后的危机】 杨先生因患有慢性阻塞性肺病,反复出现咳嗽、咳痰及气促症状多年。2025年初春,他因感冒出现咳嗽、气促等症状时并未在意,自行在诊所购买药物治疗。然而病情迅速恶化,十多天后,他高热至39℃,持续不退,伴有呼吸困难及明显胸痛症状,在当地医院诊治疗效欠佳,医院数次下达病危。家人随即将他转至贵州航天医院呼吸与危重症医学科治疗。 【多学科联手“拆弹”】 入院后,呼吸与危重症医学科医疗团队为患者进行了详细检查,胸部CT显示患者的左上肺严重感染、肺实变,血气分析提示呼吸衰竭,需要持续高流量湿化治疗才能维持氧饱和度。呼吸团队进一步行床旁气管镜检查,在患者的肺泡灌洗液中找到热带念珠菌、白色念珠菌、克柔念珠菌等多重真菌感染。面对这种复杂的感染情况,让治疗难度陡增。呼吸与危重症医学科的医生们迅速组织多学科会诊,制定了针对性的治疗方案,终于控制住了病情,患者持续十多日的高热终于退去,复查胸部CT肺部感染较入院时有所吸收,患者的胸痛、气促等症状明显改善。最终,在医护人员二十余天的不懈努力下,患者终于康复出院。 2025年3月10日CT显示 2025年4月9日CT显示 【二十天,见证生命奇迹】 在近二十天的治疗中,患者不仅得到了专业的医疗救治,更感受到了家人般的关怀。医护人员日夜守护,护理团队更以微笑与鼓励为他驱散病痛的阴霾。 医患同心,温暖永续 如今,患者已康复出院。他在感谢信中写道:“是你们精湛的医术让我起死回生,是你们温情的护理让我体会到家的温暖”。 这封感谢信的背后,镌刻着呼吸与危重症医学科团队日复一日的坚守——他们以精湛医术为矛,以仁爱之心为盾,为患者筑起坚不可摧的生命防线。 呼吸与危重症医学科专家简介 廖江荣 国务院政府特殊津贴专家、二级教授、民建遵义市委委员、民建遵义市委直属三支部主委、主任医师、贵州航天医院院长 学术任职: 亚洲冷冻治疗学会副主席 第二届中国医药教育协会介入微创专业委员会呼吸分会副主任委员 中国抗癌协会肿瘤微创治疗专业委员会常务委员 中国防痨协会结核病转化医学专业分会常务委员 第一届中国人体健康科技促进会呼吸介入专委会常务委员 中国医疗保健国际交流促进会结核病学分会第三届委员会常务委员 中国抗癌协会肿瘤微创治疗专业委员会粒子治疗学组第四届委员会委员 中国结核病防治综合质量控制专家指导委员会委员 “西部呼吸介入联盟”副理事长 专业擅长: 呼吸系统(肺)疑难病的诊断及危重病的抢救,呼吸系统(肺)感染性、疑难性疾病介入快速诊断(ROSE),尤其在肺癌、肺小结节早期诊断,肺癌微创综合靶向治疗,难治性、复治性、重症肺结核诊疗,硬质支气管下复杂性气道狭窄诊治,纤支镜介入治疗气道肿瘤、结核、气道狭窄(球囊扩张、支架植入、高频电刀、氩气刀、冷冻、灌洗、注药、微波消融),间质性肺疾病的诊疗上具有极高水平;带领团队勇于创新,在贵州省率先开展多项新技术、新疗法,如CT引导下及纤支镜下I125粒子植入及CT引导下微波、冷冻消融介入治疗肺癌等多项新技术,带动了贵州省肺部疾病的介入治疗水平提高。 唐永江 四川大学华西医院呼吸与危重症医学科副主任医师、呼吸危重症医疗组长、香港中文大学博士、美国康奈尔大学访问学者、贵州航天医院呼吸与危重症医学科学科带头人 主要从事呼吸危重症(特别是呼吸重症感染)的临床及科研工作。 PCCM专培结业医师 中华医学会呼吸病学分会呼吸危重症学组秘书 中华医学会呼吸病学分会ECMO工作组成员 四川省医学会呼吸病学专委会介入学组委员兼秘书 发表文章20余篇,主持及参与多项国家自然科学基金及省卫健委基金。 蒋 婷 中共党员,呼吸、感染党支部书记,呼吸与危重症医学科总负责人,副主任医师 专业擅长:从医20余年,在呼吸系统疾病、介入呼吸病学、肺部结核、肺部肿瘤等方面具有丰富的临床经验和专业技能,尤其是慢性阻塞性肺疾病、支气管扩张、肺结核、耐药肺结核、肺癌、胸腔积液等肺部疾病的诊治、微创介入、危重病患者抢救。 现任中国防痨协会人兽共患结核病专业分会委员,中国女医师协会第一届介入专业委员会委员,贵州省基层呼吸疾病防治联盟-间质性肺疾病联盟委员,贵州省防痨协会第七届理事会理事,贵州省中西医结合学会呼吸专业委员介入呼吸病学组委员,贵州省遵义市中医药学会中西医结合肺病(呼吸)分会副主任委员,贵州省遵义市中医药学会中医肿瘤专业委员会常委;发表论文数篇,参与并主持多项科研项目。 李桂凤 中共党员,呼吸与危重症医学科三病区主任,副主任医师 专业擅长:从事呼吸系统疾病、结核病学、介入呼吸病学、肿瘤综合治疗、呼吸康复等临床工作20余年,擅长呼吸内科常见病、多发病及疑难重症危重病症的诊治,尤其对重症疑难结核及耐药结核病、介入治疗(肺)呼吸系统疾病、呼吸危重病抢救等方面具有较高诊疗水平。 中国防痨协会非结核病专业委员会委员,贵州省中西医结合学会第六届呼吸专业委员会委员,贵州省康复学会睡眠障碍康复专业委员会委员,遵义市呼吸内科医疗质量控制中心委员,遵义市落实民生实事结核病筛查阅片专家组成员;主持及参与实用新型专利3项。 周裕祥 中共党员,呼吸与危重症医学科四病区主任,副主任医师 专业擅长:经皮肺介入、经血管介入诊疗技术。 贵州省中西医结合学会呼吸专业委员会介入呼吸病学组常务委员,中国医师协会呼吸医师分会介入呼吸病学工作委员会呼吸病血管介入学组委员,贵州省中西医结合学会呼吸学分会委员,遵义市医学会放射肿瘤治疗学分会委员,中国医药教育协会介入微创呼吸分会委员,北京健康促进会中青年专家委员会胸部疾病精准活检分委会委员;曾赴重庆医科大学RICU、珠海市人民医院介入科进修学习。 杨 芳 中共党员,呼吸与危重症医学科内镜中心主任,副主任医师 专业擅长:从事临床工作约20年,对呼吸危重病的救治有独到的见解,尤其擅长呼吸系统疾病的介入诊疗,对呼吸内镜下的诊治及经皮肺穿刺诊疗技术具有丰富的临床经验。 亚洲冷冻治疗学会委员,中国医药教育协会介入微创呼吸分会委员,西南结核病医院联盟第二届委员会秘书/委员,贵州省中西医结合学会第六届呼吸科专业委员会委员,贵州省中西医结合学会呼吸专业委员会介入呼吸病学组秘书,贵州省中西医结合学会呼吸专业委员会基层康复学组副组长,贵州水利电力医学科学技术会高原医学分会委员,遵义市中医院学会中西医结合肺病(呼吸)分会秘书/常务委员,遵义市医学会肿瘤学分会(第二届)委员,遵义市医学会放射肿瘤治疗学分会第二届委员;主持及参与科研课题多项,参编著作《呼吸内镜操作技术规范》、《介入结核病学》,发表论文数篇。 呼吸与危重症医学科简介 贵州航天医院呼吸与危重症医学科以呼吸危重症和介入呼吸病学为强力推手,以肺部感染性疾病及肺癌、肺小结节的早期精准诊疗、慢性呼吸疾病康复治疗为特色,以人才团队建设为核心的科室发展模式,现已成为贵州省内呼吸疾病治疗规模最大、诊疗项目最全的呼吸疾病品牌科室。是贵州省医学重点学科、临床医学重点专科建设单位,遵义市首批呼吸重点学科、重点专科建设单位。是国家卫健委能力建设和继续教育肿瘤微创介入建设中心、贵州省县级医院微创介入培训中心、遵义市呼吸疾病临床医学中心。是国家呼吸医疗质量控制与管理哨点医院、遵义市呼吸内科专业医疗质量控制中心。是中国医药教育协会介入微创呼吸分会呼吸介入技术培训中心单位;国家卫健委海医会呼吸分会ROSE专委会“诊断性介入肺脏病学快速现场评价”培训基地;中国肺癌防治联盟“贵州航天医院肺结节诊治”分中心,中国人体健康科技促进会呼吸介入技术培训基地,贵州省中西医结合会呼吸学分会呼吸介入专委会主委单位。 基本情况 平均每年开展气管镜诊疗约4000例,经皮肺穿刺介入诊疗近千例,开展的项目包括经支气管镜(软、硬)下冷冻、氩气刀、高频电刀、球囊扩张、支架置入、超声内镜诊疗等气道介入诊疗技术,经皮肺穿刺活检及肿瘤消融术(微波、冷冻)、ROSE技术、内科胸腔镜诊疗及经血管介入诊疗技术,且多项呼吸介入诊疗技术在省内处于领先水平。 诊疗范围 专科擅长:致力于呼吸系统感染性、疑难性疾病的介入快速精准诊疗;肺癌与肺小结节早期精准诊疗水平项目提升。擅长呼吸系统(肺)疑难病的诊断及危重病的救治,尤其是肺癌、肺小结节的早期诊断,肺癌综合靶向治疗,肺结核综合诊疗等肺部疾病的介入诊疗在贵州省内处于前沿水平。 咨询热线 (一)呼吸与危重症医学科一病区 医生办公室:27677317 护士站:28614217 (二)呼吸与危重症医学科二病区 医生办公室:28691274 护士站:28690442 (三)呼吸与危重症医学科三病区 医生办公室:28692417 护士站:28690461 (四)呼吸与危重症医学科四病区 医生办公室:28616402、27677582 护士站:28614987、27677862


