患者张先生因反复血精,困扰了他整整五年。起初,他以为只是运动过度导致的出血,多次药物治疗后仍不见好转。随着症状的加重,他的生活陷入低谷,甚至出现长期的焦虑失眠。
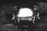
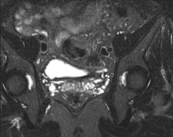
今年初,张先生了解到贵州航天医院泌尿外科相关男科信息,遂前来就诊,完善MRI(磁共振)等检查后,发现左侧精囊内存在结石并伴有炎症。泌尿外科专家团队对此进行了深入讨论,结合患者身体情况排除了相关手术禁忌,征得患者及家属同意后,决定采用精囊镜手术治疗方案。
术中,李国成副主任医师通过细如笔芯的精囊镜,见患者射精管开口喷血,左侧精囊内结石,双侧精囊内黏膜有慢性炎症改变。最终,在精囊镜的导引下,精准定位结石,同步进行冲洗、取石和止血等操作,成功完成手术。
射精管出血
精囊内结石
炎症改变
治疗后效果
什么是血精
别慌!大多数情况不危险
血精,即精液中带血,是男科临床常见的症状之一,颜色可能呈粉红、红或棕色。虽然看着吓人,但多数情况是良性的,原因包括:
炎症感染:如精囊炎、前列腺炎。
结石问题:精囊或前列腺的结石。
运动损伤:骑车、骑马等剧烈运动后的损伤。
术后恢复:前列腺手术后或活检后的恢复期。
血管异常或肿瘤(较少见):前列腺或精囊肿瘤、血管瘤或血管过度扩张等。
什么是精囊镜技术
也叫精道内镜技术,是泌尿外科近10年发展起来的一项标志性新技术。运用比较细的内镜(通常为F4.5-F6.0)以及辅助器械,经正常精道或人工通道,对精囊进行观察及治疗,包括切开精道、冲洗、止血、活检、烧灼、引流、清除结石、解除梗阻等一系列手术操作。
精囊镜技术使用范围
1.血精症状持续3个月以上,且药物治疗无效。
2.精量明显减少,怀疑有精道梗阻。
3.会阴处顽固性疼痛,影像检查精囊、射精管区域异常。
4.精道区域囊肿、结石、炎症。
5.需进一步排查肿瘤等病变。
精囊镜技术特点
✅ 创口小:无需开刀,体表无伤口,一般通过尿道自然通道操作。
✅ 精准治疗:高清影像“锁定”结石、炎症,同步完成冲洗、取石、止血,全程可视化操作,避免传统手术的并发症。
✅ 恢复快:微创手术,一般住院周期为3-5天,对正常生活影响较小。
注 意:
如果血精反复出现超过3个月,或伴随疼痛、精量减少,一定要及时就医排查!
图片来源于网络,仅用分享,如有侵权,请联系删除。
贵州航天医院
泌尿外科专家简介
石 英
中共党员,泌尿外科党支部书记、负责人,主任医师
中国医师协会泌尿外科分会感染协作组委员,奥林巴斯泌尿系软镜西南区专家组成员,西南地区第一批输尿管软镜专家组成员,贵州省医学会泌尿外科分会委员,贵州省性学会理事,贵州省性学会常务委员,贵州省泌尿外科专业医疗质量控制中心专家委员会委员。
从事泌尿外科专业近30年,熟练掌握泌尿系各类疾病的诊治,具有丰富的临床经验,擅长泌尿系结石、腹膜后肿瘤及泌尿系肿瘤的手术治疗,对泌尿系感染、泌尿系结核、尿源性脓毒血症的救治有独到的见解及抢救经验。在贵州省率先引入输尿管软镜技术,同时在男科领域,对男性阳痿、早泄及前列腺疾病有很深的研究。
李国成
中共党员,泌尿外科副主任医师
中国人体健康科技促进会男科学专业委员会委员,贵州省性学会泌尿外科分会委员,贵州省医学会男科学分会委员,遵义市医学会男科学分会副主任委员兼秘书长,遵义市医学会泌尿外科分会常务委员,贵州航天医院男科带头人。
从事泌尿外科及男科工作10余年,曾多次前往上海交通大学附属第一人民医院、中国中医科学院西苑医院进修学习男科;擅长性功能障碍的诊治、男性整形手术、前列腺增生激光手术、显微手术等。
李 凯
中共党员,泌尿外科副主任医师
贵州航天医院肿瘤腔镜组带头人,擅长肾癌根治术、输尿管癌根治术、膀胱及前列腺癌根治术、腹腔镜输尿管狭窄切除吻合术、输尿管切开取石术等手术,在遵义市率先开展泌尿系结核后膀胱挛缩全腹腔镜下膀胱扩大术。
贵州省医学会泌尿外科分会青年委员,遵义市医学会男科分会常务委员,遵义市医学会泌尿外科分会常务委员。
贵州航天医院泌尿外科简介
•
✦
基本情况
✦
•
贵州航天医院泌尿外科创建于20世纪60年代,经过几代人的努力,微创与内镜手术占比达90%以上,科室亚专业框架完善。是贵州省临床重点专科建设单位、北京清华长庚医院李建新教授团队诊疗及会诊中心、北京医学会尿路修复与重建诊疗及会诊中心、上海公济泌尿外科集团遵义中心、上海援黔专家李铮教授男科工作室、贵州省泌尿外科质量控制专家委员单位。
•
✦
专科特色技术
✦
•
(一)泌尿系结石内镜碎石技术
泌尿系结石微创治疗领域方面是贵州省首家引进科医人钬激光碎石技术科室,在遵义地区率先掌握输尿管硬镜、软性镜,经皮肾镜钬激光碎石技术。目前是北京清华长庚医院泌尿外科“手把手”经皮肾镜碎石技术培训基地、贵州省输尿管软镜培训基地。
1.负压吸引可弯曲软镜鞘电子软镜碎石术
2.标准与超微通道相结合的经皮肾镜碎石取石术
(二)微创腹腔镜技术
泌尿外科腹腔镜技术师承于浙江省人民医院、北京解放军总医院。目前采用经腹、经后腹双入路法的腹腔镜技术完成肾部分切除、肾切除、肾输尿管全长切除、肾盂输尿管成形、输尿管狭窄吻合、膀胱翻瓣等手术。在遵义地区率先掌握腹腔镜下膀胱癌根治术、腹腔镜下前列腺癌根治术。
(三)男科、盆底技术临床应用
遵义地区男科分会主委单位,是贵州省首家引进尿动力学检查并取得了全国资质认证科室,也是贵州省首家进行RigiScan检查的单位。在遵义地区率先掌握显微取精子技术以及显微镜下治疗精索静脉曲张、显微镜下输精管吻合、输精管附睾吻合技术。率先采用前列腺激光剜除术治疗前列腺增生症。在陆军军医大学西南医院泌尿外科主任沈文浩教授指导下,完成遵义市首例神经源性膀胱骶神经调节刺激器置入术。
•
✦
诊疗范围
✦
•
诊疗范围(除外肾移植、癌栓):泌尿系结石、泌尿系肿瘤、肾上腺疾病、肾积水、前列腺增生、男性生殖器功能障碍(精索静脉曲张、生殖道感染、输精管梗阻等)、盆底功能障碍性疾病(膀胱脱垂、排尿功能异常、尿失禁)、泌尿生殖系畸形。
泌尿外科拥有独立门诊治疗室、日间手术室、尿动力学检查室、精液分析检查室、男性勃起功能检查及治疗室、ESWL治疗室、结石分析检查室。
END


