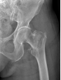
4月23日,贵州航天医院第58次晨读会由我院骨科副主任医师张艳金作学术交流,他以“加速康复指导下的快速手术”为题,详细讲解了老年股骨粗隆间骨折与儿童四肢骨折的临床诊疗难点,结合加速康复外科(ERAS)核心理念,重点阐述了ERAS理念在两大人群中的创新实践,实现患者入院后6至24小时内即可接受手术治疗。针对老年髋部骨折患者,提出通过多学科协作(MDT)与微创手术优化围术期管理,在确保安全前提下缩短术前等待时间,实施精准化麻醉及术后康复方案,可有效降低并发症发生率、改善患者生活质量和预后效果。在儿童骨折领域,强调微创术式与心理干预并行的双轨策略,既减少手术创伤对骨骼发育的影响,同时关注患儿心理疏导,实现生理功能与心理健康同步康复。并通过典型案例的影像学资料与随访数据,直观展示了ERAS理念指导下骨科治疗模式的创新成果。 贵州航天医院骨科 专家简介 赵学平 中共党员,骨科党支部书记、主任,主任医师 临床擅长:从事骨科临床工作30余年,对骨科常见疾病的诊治具有丰富的临床经验。 世界中医药联合会脊柱康复专业委员会常务理事,中华中医药学会整脊分会常务委员,中国中西医结合学会骨伤科分会肢体矫形功能重建与康复专家委员会常务委员,中国研究性医院学会骨科创新与转换专业委员会关节外科学组保髋工作委员会常委,中国康复技术转化及发展促进会骨外科与康复技术转化专业委员会常务委员,泛珠三角区域运动医学联盟(PPRD-SMA)理事会常务理事,中国研究型医院学会运动医学专业委员会委员,贵州省中医药学会整脊分会副主任委员,贵州省中西医结合学会银质针专业委员会副主任委员,贵州省康复医学会骨与关节专业委员会常务委员,贵州省人民医院骨科专科联盟常务理事,贵州省康复医学会骨内科专业委员会常务委员,中华医学会贵州省骨科学会委员,贵州省康复医学会脊柱脊髓专业委员会常务委员,贵州省运动医学分会委员,贵州省康复医学会骨与软组织肿瘤专业委员会委员,遵义市医学会创伤分会副主任委员,贵州省康复医学会骨内科专业委员会遵义地区分会常务委员,遵义市医疗事故鉴定、伤残鉴定、工伤鉴定、司法鉴定专家。 长期从事骨科临床研究及教学工作,在国家级、省部级杂志发表论文20余篇,SCI论文2篇,参与主编骨科专著2部,主持省部级科研项目2项,参与指导省部级、市级科研项目6项。 陈明勇 骨科副主任,副主任医师 临床擅长:从事创伤骨科工作约20年,对骨缺损、骨不连、骨肿瘤、肢体畸形等的肢体矫形重建及功能重建,慢性化脓性骨髓炎的根治治疗、糖尿病足的保肢治疗、快速康复理念(ERAS)下的老年骨折的诊治,四肢复杂骨折的诊治,四肢骨折等微创手术治疗具有丰富的临床经验。 2004年毕业于遵义医学院临床专业,曾在中国人民解放军总医院、广西医科大学第一附属医院、上海第六人民医院骨科进修。中国中西医结合学会骨伤科专业委员会横向骨搬移治疗糖尿病足及微血管网再生学组首届委员,遵义市医学会创伤分会常务委员。 瞿 辉 中共党员,骨科副主任医师 临床擅长:对骨科的常见病、关节外科、脊柱外科及运动医学疾病的诊治具有丰富的临床经验,熟练掌握骨科手术操作技术。 毕业于遵义医学院临床医学系,2005年前往广州中山大学第一附院骨显微医学部进修学习,2011年前往成都华西医院进修学习,并多次在省内外学习骨科相关知识,是中华医学会骨科分会会员。 赵兴东 骨科主任医师 临床擅长:擅长骨科的常见病及各种创伤、四肢骨折创伤修复、骨感染、手足疾病的诊治和手足体表畸形的矫形整复,熟练掌握骨科四肢骨病及创伤的手术操作技术,尤其在四肢关节复杂性损伤、手足外伤、组织缺损创面、难治创面的皮瓣修复方面及平足、高弓足矫形方面及四肢慢性疼痛诊治、康复方面具有丰富的临床经验。 硕士研究生,毕业于遵义医学院临床外科系,2015年前往山东省立医院手足外科进修学习;遵义市医学分会创伤分会第一、二届委员,遵义市手外科医学会第二委届员会常务委员;在省级及省级以上期刊发表文章9篇,参编著作2部,参与主持并完成市级课题1项,参与市级课题2项、省级课题1项。 张艳金 中共党员,骨科副主任医师 临床擅长:从事骨外科工作16年,对复合伤、多发伤的救治、四肢骨干骨折、关节周围骨折、骨肿瘤、骨髓炎等诊治具有丰富的临床经验。 中共党员,硕士研究生,2006年本科毕业于山西医科大学第二临床医学院,2011年研究生毕业于北京军区总医院;在“老年COPD患者合并髋部骨折的诊治”国际合作课题组研究两年,在老年髋部骨折的诊治方面具有丰富的经验,并发表论文6篇;主持遵义市级课题1项,承担遵义医科大学的临床教学工作,获得遵义医科大学优秀带教老师荣誉。编撰有《骨科疾病诊疗精粹》一书,开展2项新技术,编撰地方规范《务川自治县创伤骨科常见疾病诊疗规范》一书。 张俊凯 骨科副主任医师 临床擅长:从事骨科临床工作28年,对创伤骨折、骨感染、骨缺损、骨不连等外科诊治,四肢骨折的微创手术治疗,四肢复杂骨折(如关节内粉碎性骨折、多发骨折等)的损伤控制及手术治疗等具有丰富的临床经验。 1995年毕业于遵义医学院临床专业,2009年前往复旦大学附属医院骨科进修1年。 卢懿明 中共党员,骨科副主任医师 临床擅长:从事骨科工作18年,对创伤骨折、四肢骨折的微创手术治疗、四肢复杂骨折(如关节内粉碎性骨折、多发骨折等)的损伤控制及手术治疗,尤其是髋部骨折的PFNA等微创技术,踝关节骨折、膝关节周围骨折的Mipo微创技术等具有丰富的临床经验,开展了4项新技术,发明6项新型专利技术。 2005年毕业于遵义医学院临床专业,2017年,前往南方医科大学第三附属医院骨科进修半年,回院后运用Mipo技术对骨干骨折及干骺端骨折的治疗技术,同时积极开展骨盆骨折、髋臼骨折腹直肌外侧切口的应用;发表了多篇专业论文,经常参与省内外学术交流会授课,获得医院荣誉称号多个。 邬夏荣 骨科副主任医师 临床擅长:从事骨科工作16年,对四肢复杂骨折、骨肿瘤的诊治,尤其是足踝创伤、慢性踝关节损伤、平足症等诊疗具有丰富的临床经验。 2006年毕业于遵义医科大学临床医学专业,曾在陆军军医大学西南医院进修学习,发表多篇骨科学术论文。 余德怀 中共党员,骨科副主任医师 临床擅长:从事骨科工作10余年,对运动医学、骨关节、脊柱外科常见病、多发病的诊治具有丰富的临床经验。 硕士研究生,2011年毕业于遵义医学院临床医学专业,曾前往遵义医科大学附属医院运动医学专业进修学习;是贵州省医学会运动医学分会青年委员,西部关节镜联盟委员;发表多篇骨科学术论文。 冯 乾 骨科副主任医师 临床擅长:从事骨科工作近20年,熟练掌握骨科多发病及常见病的诊治,尤其对脊柱退变性疾病的诊断及治疗具有丰富的临床经验,主要研究脊柱微创相关治疗方式,能熟练开展椎间孔镜及UBE。 曾前往北京大学第三医院进修学习疼痛及椎间孔镜、首都医科大学友谊医院专业进修脊柱内镜;是贵州省康复医学会第三届脊柱脊髓专业委员会委员;发明专利3项、发表脊柱外科专业论文多篇。 赵小锋 中共党员,骨科副主任医师 临床擅长:从事骨科临床工作11年,对骨科常见病、多发病诊疗有较为丰富的临床经验,擅长脊柱相关疾病诊断及治疗,尤其是颈、腰、腿疼痛疾病诊断及治疗,擅长胸腰椎骨折微创经皮穿刺内固定术、经皮穿刺椎体成形术、经皮穿刺脊柱内镜下腰椎间盘摘除术、单纯开创腰椎间盘摘除术、腰椎滑脱复位椎间植骨椎融合内固定术、腰椎管狭窄减压融合内固定术及人工髋、膝关节置换术等。 2012年毕业于遵义医学院外科学专业硕士研究生,2019年参加“遵义市115医学人才精英计划”于上海交通大学第一附属医院培训学习,2023年于北京大学第三人民医院脊柱外科进修学习,曾获得遵义市优秀医师荣誉称号。 遵义市手外科第一届委员,遵义市医学会创伤分会第一届委员,遵义市医学会创伤分会第二届委员,贵州省康复医学会第三届脊柱脊髓专业会委员,遵义市医学会烧伤与整形外科学分会委员,发表论文5篇,其中国家级核心期刊1篇,SCI论文1篇,主持市级课题1项并结题,参与市级课题2项。 贵州航天医院骨科 简介 基本情况 贵州航天医院骨科组建于20世纪60年代,前身是以创伤和断肢(断指)再植闻名于世的上海市第六人民医院骨科,中国断肢(断指)再植的奠基者、中科院院士陈仲伟等著名专家、学者多次莅临科室指导医疗、教学,是贵州省最早拥有专业骨科技术科室之一,在70年代开展了贵州省首例断肢(断指)再植手术。组建50余年来,诊治患者已逾百万,挽救了无数的伤病员,成为了保障遵义地区人民群众健康的重要支撑。 经过几代人的不懈努力,今天的骨科,已由创伤骨科发展至骨病、骨肿瘤、骨结核等领域,现有脊柱外科、关节外科、四肢创伤、手足外科四个亚专科,成为了集医疗、教学、科研于一体的综合学科,是贵州省临床重点专科、遵义市临床重点专科、遵义市骨科临床医学中心、遵义市基层骨科专科联盟理事长单位。 科室目前开放床位110张,共有医护人员50余人,副高级以上专家18人,硕士研究生15人。拥有一流骨科医疗设备多台,每年不定期选派优秀技术骨干到全国各大知名医学院校进修、学习、参观、交流,并邀请国内、国外知名专家教授来院进行交流、指导,通过不断引进国内外先进的诊疗技术,科室医疗技术水平稳步提升,为广大人民群众提供了优质的医疗服务。 专科特色 骨一科 (一)骨缺损、骨不连的肢体与功能重建 胫骨横向骨搬移技术治疗糖尿病足: (二)慢性骨髓炎的根治治疗 (三)肢体缺血性疾病如糖尿病足、脉管炎的保肢治疗 (四)皮瓣修复 (五)复杂创伤的治疗 (六)老年髋部骨折及小儿骨折快速手术 老年髋部骨折: 骨二科 (一)胸腰椎骨折微创经皮椎弓根螺钉固定术 (二)老年性骨质疏松性患者腰椎滑脱脊柱内固定术(骨水泥螺钉) (三)V形双通道脊柱内镜技术(VBE)腰椎融合术治疗腰椎退行性疾病 (四)老年性骨质疏松性骨折(PVP/PKP)术 (五)人工髋关节置换术 (六)双侧股骨头坏死人工全髋关节置换 (七)右侧全髋置换术后假体周围骨折翻修 (八)人工膝关节置换术 (九)人工膝关节假体松动翻修 (十)关节镜技术 传统手术切口 关节镜技术切口 诊疗范围 骨一科 1.四肢创伤、矫形。 2.手、足踝外科。 骨二科 end


