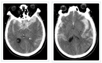
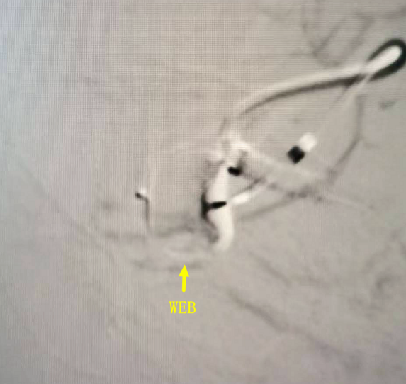
近日,面对一位古稀老人颅内破裂的“不定时炸弹”——复杂脑动脉瘤,我院神经外科团队成功应用全球前沿的自膨式动脉瘤瘤内栓塞器(WEB) ,完成了我院首例该技术下的动脉瘤精准介入治疗。 紧急救治 古稀老人突发“颅内炸弹” 71岁的张先生(化名)突发剧烈头痛伴右侧肢体乏力,经120紧急送入我院。急诊迅速启动卒中绿色通道,经头部CT及CTA检查,诊断为“广泛蛛网膜下腔出血、左侧大脑中动脉分叉部动脉瘤”。此类动脉瘤破裂风险极高,如同颅内的“不定时炸弹”,治疗刻不容缓。 术前颅脑CT见广泛蛛网膜下腔出血 CTA见左侧大脑中动脉分叉部宽颈动脉瘤 创新破局 全球新技解难题 神经外科介入团队立即组织多学科讨论,详细研判病情,制定了开颅夹闭与微创介入栓塞两套方案,家属明确选择微创手术方案。面对位于复杂分叉处且瘤颈宽大的动脉瘤,团队决定应用全球前沿的自膨式动脉瘤瘤内栓塞系统(WEB)进行治疗。在神经外科、介入中心与麻醉科的通力协作下,成功将自膨式动脉瘤瘤内栓塞系统(WEB)装置植入动脉瘤腔内,完成栓塞治疗,历经2小时。术后,造影显示动脉瘤完全隔绝,载瘤动脉通畅良好,危机解除。 技术优势 瘤内扰流新选择 自膨式动脉瘤瘤内栓塞系统(WEB)装置形似精密编织的迷你网篮,专为分叉部宽颈动脉瘤设计。相较于传统支架辅助栓塞,自膨式动脉瘤瘤内栓塞系统(WEB)技术体现了神经介入领域的重要创新: 操作简化: 单一器械即可完成治疗,流程更简洁。 安全性提升: 避免支架植入,降低了血栓等并发症风险。 患者受益: 术后无需长期服用抗血小板药物,减轻了身心及经济负担。 此例自膨式动脉瘤瘤内栓塞系统(WEB)植入术的成功开展,标志着我院在复杂脑动脉瘤微创治疗领域取得新突破,为患者提供了高效的治疗选择。作为国家卫健委能力建设和继续教育神经外科建设中心,贵州航天医院神经外科将持续依托优质资源,深化对外协作,以技术创新护航百姓健康。 神经外科专家简介 廖洪民 神经外科党支部书记、主任,主任医师 临床擅长:从事神经外科临床工作30年,对颅脑损伤、脑肿瘤、脑血管病等具有丰富诊疗经验,擅长救治重症颅脑创伤、脑出血微创治疗、脑肿瘤显微手术治疗、脑立体定向手术等。 中国医师协会神经外科分会专科认证医师、贵州省医学会神经外科分会青年委员、遵义市医学会神经外科分会常务委员、遵义市中西医结合学会脑心同治专业委员会常务委员、中国生命关怀协会脑卒中救治及康复照护专业委员会委员、贵州省脑损伤评价质控中心专家库成员、遵义市脑损伤评价医疗质量控制中心专家。 朱家伟 神经外科副主任医师 临床擅长:从事神经外科工作26年,擅长颅脑损伤救治及脑出血微创手术。 遵义市医学会神经外科分会委员、遵义市中西医结合学会脑心同治专业委员会常务委员。 黄建军 神经外科副主任医师 临床擅长:从事神经外科工作20年,对神经外科常见病、急危重症有丰富诊疗经验,熟练掌握神经外科微创手术。 神经外科科室简介 基本情况 贵州航天医院神经外科于2008年独立建科,是首批国家卫健委能力建设和继续教育神经外科建设中心,贵州省神经外科介入联盟单位。现有专业技术人员17人,其中高级职称4人,中级5人,初级7人。 科室配备STORZ神经内镜系统、德国莱卡手术显微镜,国产西山开颅动力系统、蛇牌双极电凝、Mayfield头架等颅脑手术设备,以及无创和有创颅内压监护仪、正中神经刺激仪、脑循环康复治疗仪、排痰机、下肢康复训练器、气垫床、多参数监护仪等现代化医疗设备,为病区各种急、危、重患者的观察、监护和治疗保驾护航。 专科特色 (一)脑出血微创手术治疗 应用范围:各种病因导致的自发性脑出血(高血压脑出血、脑淀粉样血管病相关脑出血、抗凝药物相关脑出血等)。 技术优势:微创、精准、恢复快。 (二)颅脑病变显微切除术 应用范围:颅内各种占位性病变(脑囊肿、脑肿瘤等)。 技术优势:精确度高、创伤小、恢复快。 (三)颅脑创伤综合救治 应用范围:各种类型的颅脑损伤、创伤性颅内血肿及颅脑创伤并发症、后遗症等。 技术优势:快速精准诊断、个体化手术与监护、早期康复干预,伤者病死率低、并发症少。
阅读 942


