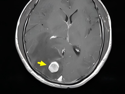
近日,我院神经外科成功完成一例神经导航辅助下的脑深部病变活检手术,为一名疑难病患者明确了诊断方向。 疑难病例 多系统病变待确诊 该患者为40岁男性,因长期咳嗽、头痛并发现双肺及颅内多发病变入院。初步检查倾向于感染性病变,但寄生虫、结核及肿瘤均需鉴别。虽经多项检查(包括发现蠊缨滴虫),抗感染治疗却效果不佳,且陆续发现全身多处淋巴结、肝脏及腰椎病变。由于肺部病变位置难以安全取材,经多学科讨论,决定对相对更适宜、风险更可控的脑部病灶进行活检。 神经导航 精准微创取病理 神经外科团队在神经导航系统的精准引导下,通过微小切口(皮肤8mm,颅骨钻孔5mm),成功获取了患者右侧枕叶一处直径仅1.5cm病变的组织样本,同期进行了颈部淋巴结活检。术后病理结果最终揭示了真相:肺低分化腺癌脑转移及淋巴结转移。 本例手术充分展现了神经导航技术在脑病变活检中的关键价值。其优势在于: 精确定位目标,优化手术路径。 实时可视化引导手术器械操作,避免传统穿刺的局限性。 显著提高获取病变组织的准确性。 有效提升手术安全性,降低并发症风险。 神经导航已成为现代神经外科提升手术精准化、微创化水平的重要支撑。随着其与术中影像、机器人等技术的不断融合,其应用潜力将进一步拓展。我院神经外科在精准定位手术领域积累了丰富经验。自2014年引进国产脑立体定向仪并成功自主开展首例手术以来,团队已累计完成包括脑深部病变活检在内的各类立体定向手术400余例。随着无框架神经导航技术的应用,其优势更加凸显。科室将持续提升先进设备的应用能力,为患者提供更全面、优质的诊疗服务。 神经外科专家简介 廖洪民 神经外科党支部书记、主任,主任医师 临床擅长:从事神经外科临床工作30年,对颅脑损伤、脑肿瘤、脑血管病等具有丰富诊疗经验,擅长救治重症颅脑创伤、脑出血微创治疗、脑肿瘤显微手术治疗、脑立体定向手术等。 中国医师协会神经外科分会专科认证医师、贵州省医学会神经外科分会青年委员、遵义市医学会神经外科分会常务委员、遵义市中西医结合学会脑心同治专业委员会常务委员、中国生命关怀协会脑卒中救治及康复照护专业委员会委员、贵州省脑损伤评价质控中心专家库成员、遵义市脑损伤评价医疗质量控制中心专家。 朱家伟 神经外科副主任医师 临床擅长:从事神经外科工作26年,擅长颅脑损伤救治及脑出血微创手术。 遵义市医学会神经外科分会委员、遵义市中西医结合学会脑心同治专业委员会常务委员。 黄建军 神经外科副主任医师 临床擅长:从事神经外科工作20年,对神经外科常见病、急危重症有丰富诊疗经验,熟练掌握神经外科微创手术。 神经外科科室简介 基本情况 贵州航天医院神经外科于2008年独立建科,是首批国家卫健委能力建设和继续教育神经外科建设中心,贵州省神经外科介入联盟单位。现有专业技术人员17人,其中高级职称4人,中级5人,初级7人。 科室配备STORZ神经内镜系统、德国莱卡手术显微镜,国产西山开颅动力系统、蛇牌双极电凝、Mayfield头架等颅脑手术设备,以及无创和有创颅内压监护仪、正中神经刺激仪、脑循环康复治疗仪、排痰机、下肢康复训练器、气垫床、多参数监护仪等现代化医疗设备,为病区各种急、危、重患者的观察、监护和治疗保驾护航。 专科特色 (一)脑出血微创手术治疗 应用范围:各种病因导致的自发性脑出血(高血压脑出血、脑淀粉样血管病相关脑出血、抗凝药物相关脑出血等)。 技术优势:微创、精准、恢复快。 (二)颅脑病变显微切除术 应用范围:颅内各种占位性病变(脑囊肿、脑肿瘤等)。 技术优势:精确度高、创伤小、恢复快。 (三)颅脑创伤综合救治 应用范围:各种类型的颅脑损伤、创伤性颅内血肿及颅脑创伤并发症、后遗症等。 技术优势:快速精准诊断、个体化手术与监护、早期康复干预,伤者病死率低、并发症少。
阅读 234


