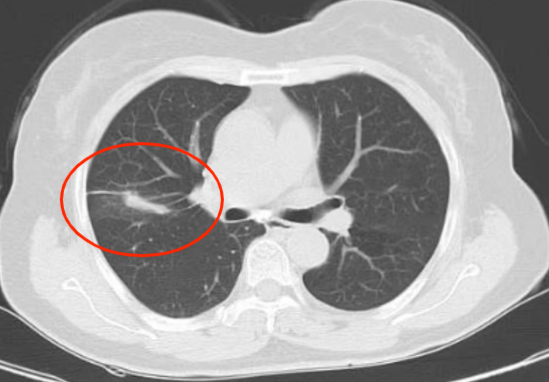
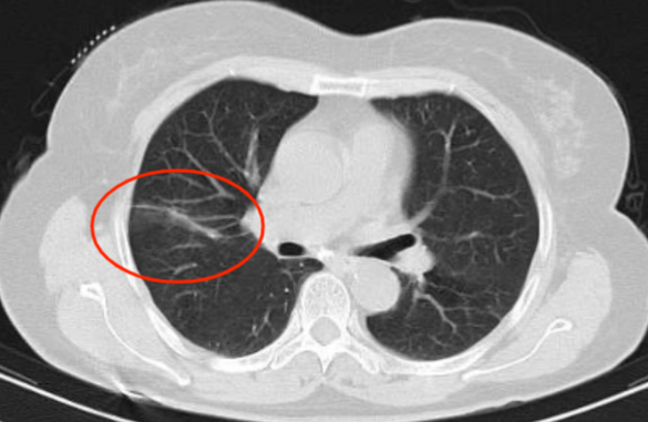
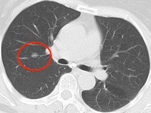
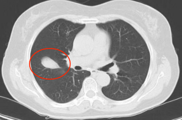
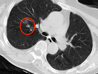
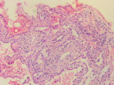
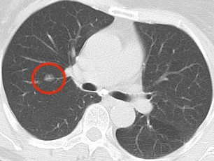
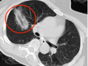
近年来,贵州航天医院各科室紧跟医学前沿,不断强技术、补短板,大力开展新技术、新项目,完成了许多高精尖、高难度、本地区“首例”的技术,填补了医院医疗技术空白,满足了群众日益增长的医疗需求。 贵州航天医院呼吸与危重症医学科是贵州省内呼吸疾病治疗规模最大,诊疗项目最全的呼吸疾病品牌科室,呼吸介入技术达到了全国先进水平,在贵州省内处于领先的地位。 本期,我们将为大家带来呼吸与危重症医学科特色技术——氩氦刀冷冻消融技术治疗肺癌、高危肺结节。 案例分享 患者在体检时发现右肺结节(10mm),就诊于当地我院一专科联盟合作医院,但因当地医疗条件有限,患者通过专科联盟绿色通道前往我院就诊,入院后,通过经皮肺穿刺活检,病理诊断为右肺原位腺癌,科室立即组织专家开展肺结节多学科会诊(MDT),为患者制定诊疗方案。 经充分的沟通下,患者及家属拒绝手术切除。科室再次严格讨论评估,患者情况满足氩氦刀冷冻消融术指征,再次将治疗方案与患者及家属沟通同意后,为患者制定并成功实施氩氦刀冷冻消融术。 冷冻消融术中 术后,患者定期复查,恢复效果良好。 术前 术后即刻 术后1月(反应性增大) 术后6月(纤维条索) 术后12月(纤维条索变细) 什么是氩氦刀冷冻消融技术 氩氦刀冷冻消融技术是一种先进的微创超低温冷冻消融肿瘤的医疗技术,它利用氩气和氦气的快速温度变化特性,实现对病变组织的精准冷冻和复温,以达到消融和破坏肿瘤细胞的目的。 氩氦刀冷冻消融技术原理 氩氦刀冷冻消融技术基于焦耳-汤姆逊效应,通过氩气和氦气的快速交换实现局部组织的超低温冷冻(-140℃到-190℃)和快速复温(20℃到45℃),当氩气通过金属杆尖端的蒸发器时,其气压突然降低,会大量吸收周围的热量,使金属杆尖部的气温迅速下降到超低温;随后,氦气在极短的时间内使组织迅速复温,通过热胀冷缩的原理,使肿瘤细胞爆裂。 (一)直接杀伤( 靶区冷冻消融效应) 1.快速冷冻(降温段):细胞内冰晶快速生长并撕裂细胞,导致细胞损坏。 2.慢速冷冻(低温段):细胞外冰晶生长导致水渗出细胞,造成细胞脱水。 3.升温:水迅速进入细胞,导致细胞涨破。 (二)间接杀伤( 冷冻的血管栓塞效应) 病灶区域快速冷热交替,引起微血管细胞脱水、蛋白质变性、微血管损伤、 冰晶及微血栓在微血管内形成,导致血小板聚集、血管栓塞, 局部细胞缺血坏死。 (三)抗肿瘤免疫( 冷冻免疫激活效应) 随着肿瘤细胞的破裂和坏死,促使肿瘤免疫调节因子停止分泌,逆转免疫抑制状态;可调控表面抗原,促进淋巴细胞增殖,提高身体抗肿瘤免疫能力。 氩氦刀冷冻消融技术优势 (一)精准度高:通过精确的靶点定位和温控技术,可实现对病变组织的精准冷冻和复温,避免损伤正常组织。 (二)微创治疗:对周围正常组织的热损伤小,无需开胸开腹,仅有一个针孔,恢复快,几乎无疤痕。 (三)适应症广:肺腺体前驱病变(癌前病变)、甲状腺结节、乳腺结节等;多原发磨玻璃肺结节,因各种原因不适合手术的早期肺癌、肝癌等;内科治疗无法控制的少发转移瘤等。 (四)可重复治疗:由于冷冻治疗对身体的创伤和痛苦较小,可以多次重复进行治疗,这对巨大的肿瘤和多发的肿瘤尤其适用。 (五)无毒性:冷冻治疗是以物理方法杀灭肿瘤,不向体内注射任何药物,避免外科手术、化放疗等对身体带来的巨大创伤和毒副作用,能有效减轻患者肿瘤负荷和痛苦,因此与化放疗、分子靶向药物等治疗方式相比属于无毒治疗。 氩氦刀冷冻消融技术对于早期肺癌、高危结节,可作为手术的替代治疗。对于晚期较大的肿瘤可作为姑息治疗,增强综合治疗的效果,可减少肿瘤负荷,减轻症状,提高生活质量,延长生存时间。 近年来,随着医学影像技术发展和肺癌筛查的广泛开展,肺内结节的检出率显著提高。无论肺内磨玻璃结节还是实性结节,单发或多发,都需要引起重视,定期复查,动态观察结节变化,如有需要请积极治疗。 贵州航天医院 呼吸与危重症医学科专家团队 廖江荣 国务院政府特殊津贴专家、遵义市呼吸疾病临床医学中心学科带头人、二级教授、主任医师 学术任职: 亚洲冷冻治疗学会副主席 第二届中国医药教育协会介入微创专业委员会呼吸分会副主任委员 中国抗癌协会肿瘤微创治疗专业委员会常务委员 中国防痨协会结核病转化医学专业分会常务委员 第一届中国人体健康科技促进会呼吸介入专委会常务委员 中国医疗保健国际交流促进会结核病学分会第三届委员会常务委员 中国抗癌协会肿瘤微创治疗专业委员会粒子治疗学组第四届委员会委员 中国结核病防治综合质量控制专家指导委员会委员 “西部呼吸介入联盟”副理事长 专业擅长: 呼吸系统(肺)疑难病的诊断及危重病的抢救,呼吸系统(肺)感染性、疑难性疾病介入快速诊断(ROSE),尤其在肺癌、肺小结节早期诊断,肺癌微创综合靶向治疗,难治性、复治性、重症肺结核诊疗,硬质支气管下复杂性气道狭窄诊治,纤支镜介入治疗气道肿瘤、结核、气道狭窄(球囊扩张、支架植入、高频电刀、氩气刀、冷冻、灌洗、注药、微波消融),间质性肺疾病的诊疗上具有极高水平;带领团队勇于创新,在贵州省率先开展多项新技术、新疗法,如CT引导下及纤支镜下I125粒子植入及CT引导下微波、冷冻消融介入治疗肺癌等多项新技术,带动了贵州省肺部疾病的介入治疗水平提高。 唐永江 四川大学华西医院 呼吸与危重症医学科 副主任医师 呼吸危重症医疗组长 香港中文大学博士 美国康奈尔大学访问学者 贵州航天医院 呼吸与危重症医学科 学科带头人 主要从事呼吸危重症(特别是呼吸重症感染)的临床及科研工作。 PCCM专培结业医师 中华医学会呼吸病学分会呼吸危重症学组秘书 中华医学会呼吸病学分会ECMO工作组成员 四川省医学会呼吸病学专委会介入学组委员兼秘书 发表文章20余篇,主持及参与多项国家自然科学基金及省卫健委基金。 蒋 婷 呼吸、感染党支部书记,呼吸与危重症医学科主任,副主任医师 专业擅长:从医20余年,在呼吸系统疾病、介入呼吸病学、肺部结核、肺部肿瘤等方面具有丰富的临床经验和专业技能,尤其是慢性阻塞性肺疾病、支气管扩张、肺结核、耐药肺结核、肺癌、胸腔积液等肺部疾病的诊治、微创介入、危重病患者抢救。 现任中国防痨协会人兽共患结核病专业分会委员,中国女医师协会第一届介入专业委员会委员,贵州省基层呼吸疾病防治联盟-间质性肺疾病联盟委员,贵州省防痨协会第七届理事会理事,贵州省中西医结合学会呼吸专业委员介入呼吸病学组委员,贵州省遵义市中医药学会中西医结合肺病(呼吸)分会副主任委员,贵州省遵义市中医药学会中医肿瘤专业委员会常委;发表论文数篇,参与并主持多项科研项目。 王 云 中共党员,呼吸与危重症医学科一病区副主任,副主任医师 专业擅长:擅长呼吸系统常见病及疑难危重症、介入呼吸病学、肺部肿瘤疾病的诊治,尤其擅长快速现场评价(ROSE)技术。 贵州省中西医结合学会呼吸专业委员会介入呼吸病学组委员,遵义市中医药学会中西医结合肺病(呼吸)分会委员,贵州省中西医结合学会第六届呼吸专业委员会委员。 李桂凤 中共党员,呼吸与危重症医学科三病区主任,副主任医师 专业擅长:从事呼吸系统疾病、结核病学、介入呼吸病学、肿瘤综合治疗、呼吸康复等临床工作20余年,擅长呼吸内科常见病、多发病及疑难重症危重病症的诊治,尤其对重症疑难结核及耐药结核病、介入治疗(肺)呼吸系统疾病、呼吸危重病抢救等方面具有较高诊疗水平。 中国防痨协会非结核病专业委员会委员,贵州省中西医结合学会第六届呼吸专业委员会委员,贵州省康复学会睡眠障碍康复专业委员会委员,遵义市呼吸内科医疗质量控制中心委员,遵义市落实民生实事结核病筛查阅片专家组成员;主持及参与实用新型专利3项。 周裕祥 中共党员,呼吸与危重症医学科四病区主任,副主任医师 专业擅长:经皮肺介入、经血管介入诊疗技术。 贵州省中西医结合学会呼吸专业委员会介入呼吸病学组常务委员,中国医师协会呼吸医师分会介入呼吸病学工作委员会呼吸病血管介入学组委员,贵州省中西医结合学会呼吸学分会委员,遵义市医学会放射肿瘤治疗学分会委员,中国医药教育协会介入微创呼吸分会委员,北京健康促进会中青年专家委员会胸部疾病精准活检分委会委员;曾赴重庆医科大学RICU、珠海市人民医院介入科进修学习。 杨 芳 中共党员,呼吸与危重症医学科内镜中心主任,副主任医师 专业擅长:从事临床工作约20年,对呼吸危重病的救治有独到的见解,尤其擅长呼吸系统疾病的介入诊疗,对呼吸内镜下的诊治及经皮肺穿刺诊疗技术具有丰富的临床经验。 亚洲冷冻治疗学会委员,中国医药教育协会介入微创呼吸分会委员,西南结核病医院联盟第二届委员会秘书/委员,贵州省中西医结合学会第六届呼吸科专业委员会委员,贵州省中西医结合学会呼吸专业委员会介入呼吸病学组秘书,贵州省中西医结合学会呼吸专业委员会基层康复学组副组长,贵州水利电力医学科学技术会高原医学分会委员,遵义市中医院学会中西医结合肺病(呼吸)分会秘书/常务委员,遵义市医学会肿瘤学分会(第二届)委员,遵义市医学会放射肿瘤治疗学分会第二届委员;主持及参与科研课题多项,参编著作《呼吸内镜操作技术规范》、《介入结核病学》,发表论文数篇。 贵州航天医院 呼吸与危重症医学科简介 贵州航天医院呼吸与危重症医学科以呼吸危重症和介入呼吸病学为强力推手,以肺部感染性疾病及肺癌、肺小结节的早期精准诊疗、慢性呼吸疾病康复治疗为特色,以人才团队建设为核心的科室发展模式,现已成为贵州省内呼吸疾病治疗规模最大、诊疗项目最全的呼吸疾病品牌科室。是贵州省医学重点学科、临床医学重点专科建设单位,遵义市首批呼吸重点学科、重点专科建设单位。是国家卫健委能力建设和继续教育肿瘤微创介入建设中心、贵州省县级医院微创介入培训中心、遵义市呼吸疾病临床医学中心。是国家呼吸医疗质量控制与管理哨点医院、遵义市呼吸内科专业医疗质量控制中心。是中国医药教育协会介入微创呼吸分会呼吸介入技术培训中心单位;国家卫健委海医会呼吸分会ROSE专委会“诊断性介入肺脏病学快速现场评价”培训基地;中国肺癌防治联盟“贵州航天医院肺结节诊治”分中心,中国人体健康科技促进会呼吸介入技术培训基地,贵州省中西医结合会呼吸学分会呼吸介入专委会主委单位。 基本情况 平均每年开展气管镜诊疗约4000例,经皮肺穿刺介入诊疗近千例,开展的项目包括经支气管镜(软、硬)下冷冻、氩气刀、高频电刀、球囊扩张、支架置入、超声内镜诊疗等气道介入诊疗技术,经皮肺穿刺活检及肿瘤消融术(微波、冷冻)、ROSE技术、内科胸腔镜诊疗及经血管介入诊疗技术,且多项呼吸介入诊疗技术在省内处于领先水平。 诊疗范围 专科擅长:致力于呼吸系统感染性、疑难性疾病的介入快速精准诊疗;肺癌与肺小结节早期精准诊疗水平项目提升。擅长呼吸系统(肺)疑难病的诊断及危重病的救治,尤其是肺癌、肺小结节的早期诊断,肺癌综合靶向治疗,肺结核综合诊疗等肺部疾病的介入诊疗在贵州省内处于前沿水平。 肺结节MDT门诊 贵州航天医院呼吸与危重症医学科微创介入诊疗技术已达到国内前列,省内领先水平,是亚洲冷冻治疗学会常务理事单位,并获批成立遵义市肺结节多学科(MDT)微创诊疗中心。 出诊信息 出诊时间: 周一至周五 8:00--12:00;14:00--17:00 出诊地点: 遵义市肺结节多学科微创诊疗中心(MDT)门诊(贵州航天医院呼吸综合楼1楼) 呼吸与危重症医学科与心胸外科、医学影像科、麻醉科等科室建立了多学科(MDT)会诊机制,结合患者情况,通过采取外科手术、冷、热消融等多种治疗手段,帮助患者安全、有效、精准、科学、快速治疗肺结节,单次消融手术时间约半小时左右,几乎没有疼痛,且并发症少,3-5天即可出院,有效减少了患者因开刀手术需长时间恢复的痛苦。 一审一校:周裕祥、黄成成


