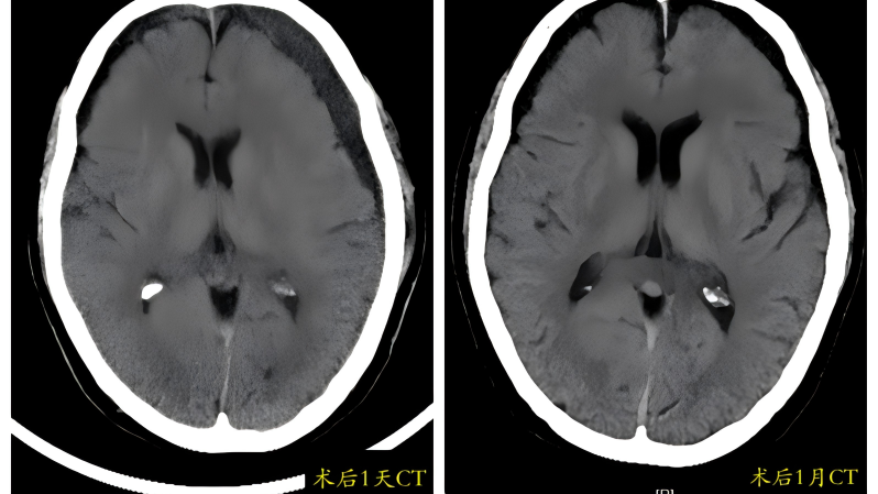
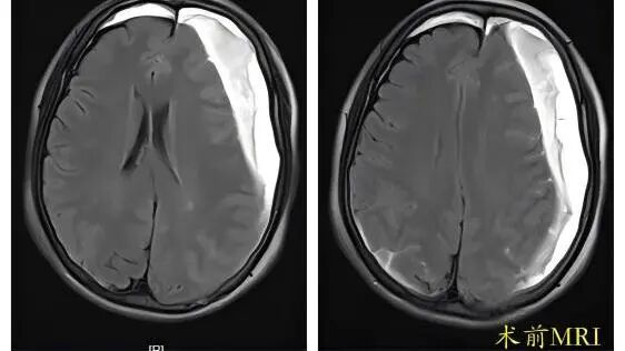
82岁的周奶奶(化名)近期出现神志恍惚、寡言少语、肢体无力、行走困难甚至小便失禁,家人起初误以为是“老年痴呆”。症状加重后送至贵州航天医院,经影像检查确诊为“慢性硬膜下血肿”。颅内较大血肿压迫脑组织,导致了这些神经功能损害。我院神经外科团队采用“微创引流”手术成功清除了血肿。术后1周,周奶奶康复出院;术后1月复查显示,受压脑组织复位良好,血肿无复发。 常见诱因与特点 该病多见于伴有脑萎缩的老年人,轻微头部外伤(如晃动、颠簸)即可撕裂脑表面脆弱的小静脉,造成缓慢出血,在脑萎缩、低颅压等因素影响下,血肿可能逐渐增大。典型症状包括记忆力减退、反应迟钝、嗜睡、肢体乏力等,易被忽视或误诊。 科学应对方案 少量无症状: 可尝试药物治疗,定期复查头部CT监测变化。 血肿增多或症状明显: 需及时就诊,颅骨钻孔微创引流术是首选且成熟的手术方式,能有效清除血肿、解除压迫。 防治复发: 脑膜中动脉栓塞术是预防复发的有效辅助手段。 温馨提示 老人轻微磕碰后若逐渐出现上述症状,应警惕慢性硬膜下血肿,即使受伤后早期颅脑CT未见异常,症状出现也需及时复诊,与高血压脑出血不同,慢性硬膜下血肿若能及早发现并规范治疗(如微创引流),通常预后良好。 注:部分图片来源于网络,如有侵权,请联系删除。 贵州航天医院 神经外科专家简介 廖洪民 神经外科党支部书记、主任,主任医师 临床擅长:从事神经外科临床工作30年,对颅脑损伤、脑肿瘤、脑血管病等具有丰富诊疗经验,擅长救治重症颅脑创伤、脑出血微创治疗、脑肿瘤显微手术治疗、脑立体定向手术等。 中国医师协会神经外科分会专科认证医师、贵州省医学会神经外科分会青年委员、遵义市医学会神经外科分会常务委员、遵义市中西医结合学会脑心同治专业委员会常务委员、中国生命关怀协会脑卒中救治及康复照护专业委员会委员、贵州省脑损伤评价质控中心专家库成员、遵义市脑损伤评价医疗质量控制中心专家。 朱家伟 神经外科副主任医师 临床擅长:从事神经外科工作26年,擅长颅脑损伤救治及脑出血微创手术。 遵义市医学会神经外科分会委员、遵义市中西医结合学会脑心同治专业委员会常务委员。 黄建军 神经外科副主任医师 临床擅长:从事神经外科工作20年,对神经外科常见病、急危重症有丰富诊疗经验,熟练掌握神经外科微创手术。 贵州航天医院 神经外科简介 基本情况 贵州航天医院神经外科于2008年独立建科,是首批国家卫健委能力建设和继续教育神经外科建设中心,贵州省神经外科介入联盟单位。现有专业技术人员17人,其中高级职称4人,中级5人,初级7人。 科室配备STORZ神经内镜系统、德国莱卡手术显微镜,国产西山开颅动力系统、蛇牌双极电凝、Mayfield头架等颅脑手术设备,以及无创和有创颅内压监护仪、正中神经刺激仪、脑循环康复治疗仪、排痰机、下肢康复训练器、气垫床、多参数监护仪等现代化医疗设备,为病区各种急、危、重患者的观察、监护和治疗保驾护航。 专科特色 (一)脑出血微创手术治疗 应用范围:各种病因导致的自发性脑出血(高血压脑出血、脑淀粉样血管病相关脑出血、抗凝药物相关脑出血等)。 技术优势:微创、精准、恢复快。 (二)颅脑病变显微切除术 应用范围:颅内各种占位性病变(脑囊肿、脑肿瘤等)。 技术优势:精确度高、创伤小、恢复快。 (三)颅脑创伤综合救治 应用范围:各种类型的颅脑损伤、创伤性颅内血肿及颅脑创伤并发症、后遗症等。 技术优势:快速精准诊断、个体化手术与监护、早期康复干预,伤者病死率低、并发症少。


