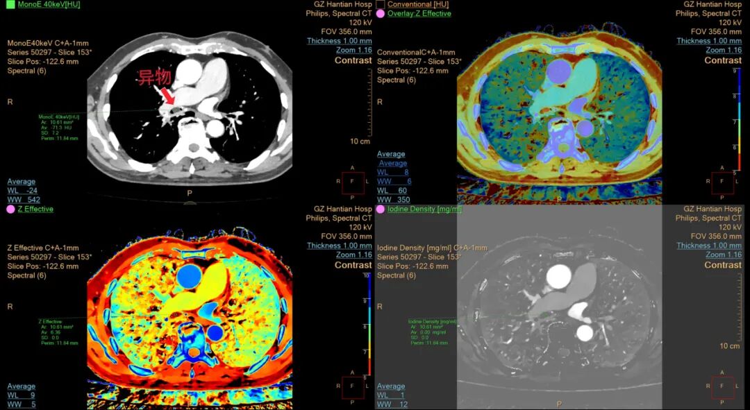
近日,73岁的杨先生(化名)因呼吸困难紧急就诊于我院呼吸与危重症医学科,经接诊医生仔细询问病史后,高度怀疑患者支气管存在异物(花生米)堵塞。因当时情况十分危急,考虑到普通CT/X光定位模糊及辨识度较差等局限,接诊医生立即决定采用能谱CT精准判断异物种类及堵塞位置,最后结合支气管镜手术成功取出异物。 能谱CT如何大显身手 两大核心优势助力精准诊疗 针对支气管异物堵塞,传统检查手段存在定位模糊、成分辨识不清等局限,可能会存在误诊、漏诊的情况。能谱CT相当于为医生配备了"透视眼"与"成分分析仪",能够精准判断异物所在位置及种类。 优势一: 精准定位——给手术装"导航" 能谱CT的"高清细节+多维视角",让医生对异物情况了如指掌: 超高清"立体透视":可生成厚度小于1毫米的薄层图像,细支气管内花生米的大小、形状均能清晰呈现。 多维度全视角观察:通过三维重建技术,医生可从冠状位、矢状位等任意角度获取图像,如同深入患者体内,精准掌握异物的位置及其与周围血管的毗邻关系。 全面评估周围组织状态:可同步检测异物是否引发炎症、水肿或早期脓肿,为术前风险预判提供依据。 有了这些信息,医生做支气管镜手术时路径更准、时间更短,患者少遭罪,并发症风险也大大降低。 优势二: 成分分析——给异物"验明正身" 这才是能谱CT的"独门绝技"!它不仅能"拍照",还能做"成分鉴定": 识别"物质指纹":不同物质(如花生、塑料、骨头、矿物质等)对X射线的吸收特性存在差异,能谱CT可精准识别这些"指纹"——例如,花生主要富含油脂和蛋白质、碳水化合物等,其特征尤为显著。 基物质"解码":通过脂/水基图等特殊图像,能谱CT可将图像中每个像素点解析为脂肪、蛋白质等基础物质的含量。花生的油脂成分在脂/水基图中会清晰显示,与肌肉、血块等组织明确区分。 确认"身份":当异物的能谱曲线与花生特征高度吻合时,即可精准判定为花生或同类油性植物异物,有效降低误诊率。 这种从"形态观察"到"成分辨识"的技术突破,使能谱CT在肿瘤诊疗、淋巴结鉴别等领域展现出显著优势,可通过组织"指纹"精准区分肿瘤类型,借助碘图分析组织血流状况,还能有效鉴别新旧血栓...... 能谱CT通过物质同源分析,实现了从形态学到成分定量的跨越,其“精准定位”和“物质同源分析”的卓越能力,如同为医生配备了“透视眼”和“成分分析仪”,尤其在肿瘤诊疗中,帮助医生“追踪根源”、制定精准治疗方案,是现代影像学的主要突破,其价值不仅在于诊断准确性的提升,更推动了个性化医疗的发展。 贵州航天医院 医学影像科专家简介 余 雷 超声、影像党支部书记,医学影像科主任,主任医师 专业擅长:从事医学影像工作30余年,在CT、MRI诊断方面经验丰富,对疑难、复杂病例有较强的综合影像诊断能力。 曾于上海市第六人民医院和第四军医大学进修学习。以第一作者发表学术论文十余篇,省级科研结题一项。现任贵州省医学会影像技术学分会委员,贵州省非公医疗机构医学影像专委会常委,遵义市医学会放射学分会常委,遵义市民营医疗机构医学影像专委会副主任委员。 吴德生 中共党员,医学影像科副主任,副主任医师 遵义市医学会放射学分会第一、二届委员,遵义市中西医结合学会委员,遵义市结核病诊疗医疗质量控制中心委员,遵义医药高等专科学校兼职副教授。 专业擅长:胸腹部CT及MRI影像诊断,主要从事肺结核、肺结节MDT影像诊断,胃肠道肿瘤诊断,尤其是结直肠癌TNM分期诊断。 贵州航天医院医学影像科简介 基本情况 贵州航天医院医学影像科是集医疗、教学、科研为一体的现代化科室。科室设备先进,技术力量雄厚,经验丰富,人员结构合理,已全面实现数字化,2023年获批遵义市重点专科建设科室。科室业务覆盖普放、CT、MRI检查诊断,2024年引进贵州省首台飞利浦256排光谱CT。科室现有医技护等人员37人,副高级以上职称9人。是遵义医科大学、遵义医药高等专科学校、黔南民族医学专科学校、毕节医学专科学校等院校实习基地。科室为贵州省医学影像结果互认单位,与县级、乡镇及民营医院等建立了专科联盟及医联体,开展了远程影像诊断和技术对口帮扶工作,承担遵义市第二城市医疗集团影像中心建设工作。 专科特色 (一)光谱CT成像技术 应用范围:在心血管、肿瘤、神经等系统的疾病诊断方面有其独特的价值,能够发现隐匿性肿瘤病灶,利用光谱曲线、碘定量测量等,可以分析肿瘤的良恶性,多发病灶的同源性;还能显示心肌缺血灶,对血管斑块进行定量定性分析等等。 (二)胸痛CT血管联合成像技术 应用范围:能够同时进行冠状动脉、肺动脉和胸主动脉成像,诊断冠心病、肺动脉栓塞、主动脉夹层等急危病变。 (三)CT左心房+肺静脉成像技术 应用范围:能在心房颤动术前提供左心房和肺静脉的解剖细节、肺静脉远端分支变异以及左房和食管周边组织之间的关系等很多有价值的信息,从而指导房颤射频消融的顺利进行。 (四)乳腺肿瘤MRI扫描TIC曲线分析 应用范围:对乳房肿瘤、结节的良恶性程度进行分析。 (五)颅脑MRI及CT灌注成像 应用范围:诊断急性脑卒中区分核心梗死区和半暗区,脑肿瘤,烟雾病Alzheimer病,脑供血不足等颅脑血管及脑组织异常引起的疾病。


