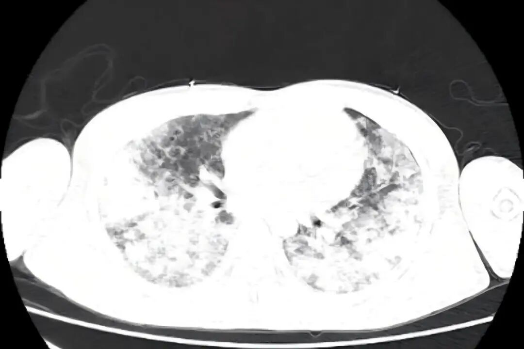
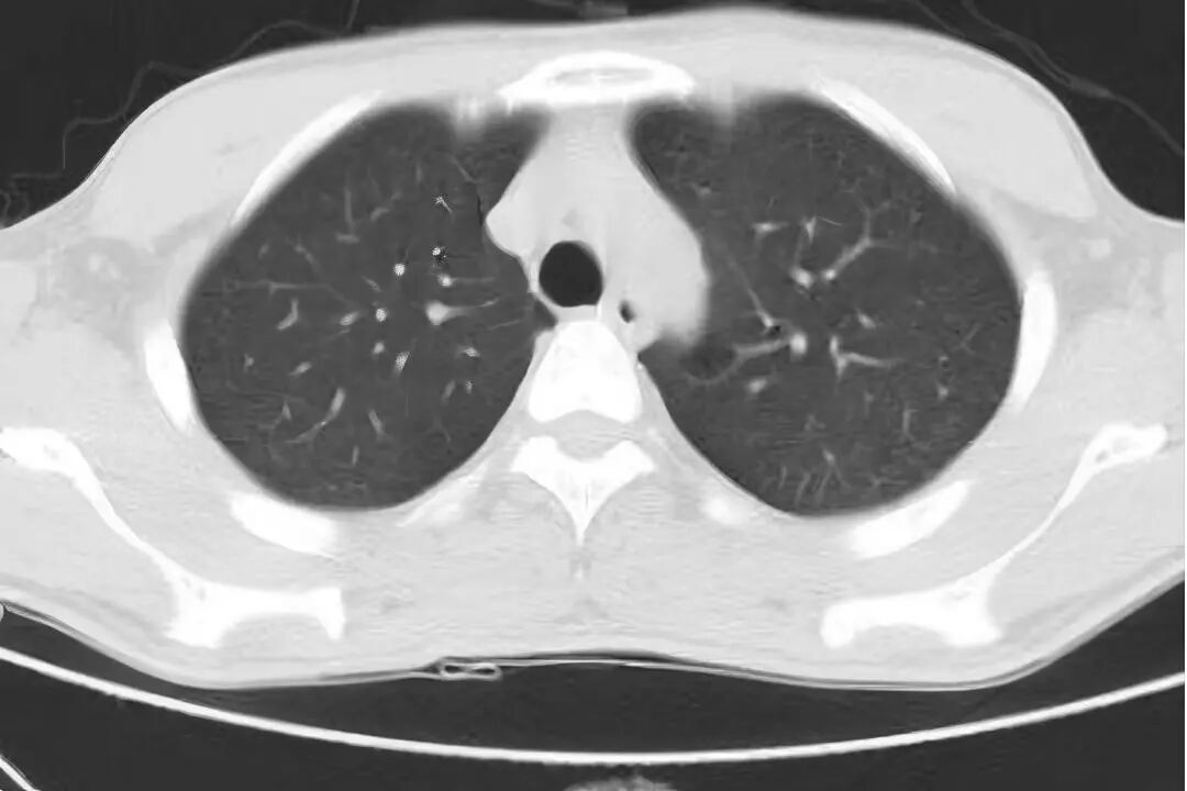
国庆假期期间,我院ICU成功救治一名罹患“罕见、危重、复杂”呼吸疾病的29岁患者。该患者因急性呼吸衰竭伴大咯血由外院紧急转入,入院时病情极为危重,胸部CT显示双肺弥漫性病灶,气管插管见大量血性液体,血氧饱和度一度降至50%以下。 入院时 CT提示双肺弥漫性病灶 近日复查 双肺渗出病灶明显吸收 入院时 肺部大量血性液体 住院期间 肺泡出血情况改善 接诊后,ICU团队迅速给予呼吸机支持、床旁支气管镜检查等救治措施,稳定患者生命体征。同时,医务部立即启动应急机制,组织呼吸与危重症医学科、肾脏风湿科、医学影像科、心血管内科、药学部等多学科专家会诊,国务院政府特殊津贴专家、呼吸与危重症医学科学科带头人廖江荣教授为患者进行床旁气管镜肺活检及支气管灌洗,诊断为弥漫性肺泡出血综合征(临床罕见、死亡率极高)合并急性呼吸窘迫综合征,为后续治疗提供了关键的循证依据。 ICU团队根据病情变化及时调整治疗措施,经过9天的精心治疗,患者生命体征保持平稳,肺泡出血情况逐步改善,肺部影像学表现明显好转,成功脱离了呼吸机支持,并转入普通病房继续治疗,现已好转出院。 专家提醒 弥漫性肺泡出血是以痰中带血、咯血、呼吸困难、进行性贫血和影像呈弥漫性肺泡浸润为特征的临床综合征。可由多种因素激发,基础疾病也多种多样,并且多数发病迅速,缺少特异性诊断方法,若不能早期诊断、及时治疗,则病死率很高。 若出现原因不明的急性呼吸困难、咳嗽、咯血等症状,特别是症状在短时间内迅速加重时,务必高度重视,应立即前往具备急救条件的医院就诊,争取早期诊断和治疗。 对于伴有自身免疫性疾病等相关基础疾病的患者,需定期随访,规范治疗,以预防严重并发症的发生。 贵州航天医院重症医学科专家简介 国务院政府特殊津贴专家 呼吸与危重症医学科 学科带头人 二级教授 硕士研究生导师 主任医师 学术任职: 亚洲冷冻治疗学会副主席 中国医药教育协会介入微创专业委员会呼吸分会副主任委员 中国防痨协会超声专业委员会副主任委员 中国抗癌协会肿瘤微创治疗专业委员会常务委员  中国防痨协会多学科诊疗专业委员会常务委员 中国医疗保健国际交流促进会结核病学分会常务委员 第一届中国人体健康科技促进会呼吸介入专业委员会常务委员 中国抗癌协会第一届肿瘤组织间植入治疗专业委员会常务委员 西部呼吸介入联盟副理事长 贵州省医学会呼吸病学分会第六届委员会副主任委员 贵州省中西医结合呼吸专业委员会副主任委员 贵州省医学会结核病分会常务委员 遵义市呼吸内科专业医疗质控中心主任委员 遵义市中西医结合学会理事长 专业擅长:  呼吸系统(肺)疑难病的诊断及危重病的抢救,呼吸系统(肺)感染性、疑难性疾病介入快速诊断(ROSE),尤其在肺癌、肺小结节早期诊断,肺癌微创综合靶向治疗,难治性、复治性、重症肺结核诊疗,硬质支气管下复杂性气道狭窄诊治,纤支镜介入治疗气道肿瘤、结核、气道狭窄(球囊扩张、支架植入、高频电刀、氩气刀、冷冻、灌洗、注药、微波消融),间质性肺疾病的诊疗上具有极高水平;带领团队勇于创新,在贵州省率先开展多项新技术、新疗法,如CT引导下及纤支镜下I125粒子植入及CT引导下微波、冷冻消融介入治疗肺癌等多项新技术,带动了贵州省肺部疾病的介入治疗水平提高。 刘东育 中共党员,重症医学科主任,主任医师 专业擅长:从事重症医学领域多年,擅长急危重症的各种抢救,有创呼吸机、无创呼吸机及CRRT的使用,对重症创伤及休克、急性重症胰腺炎、心脑血管疾病、各种急性中毒、多器官功能衰竭、重症肺炎及急性呼吸窘迫综合症等疾病的救治具有丰富的临床经验。 遵义市医学会重症医学分会第二届委员会常务委员,遵义市质量控制中心第一届重症医学质量控制中心委员会副主任,发表重症医学专业论文多篇,遵义市医学会第一届器官捐献与移植学分会常务委员。 赵洪伟 民建会员,重症医学科副主任,副主任医师 专业擅长:从事重症医学领域多年,擅长急危重症的各种抢救,有创呼吸机、CRRT的使用,对各种急性中毒、多器官功能衰竭、重症创伤及休克、心脑血管疾病、急性重症胰腺炎及急性呼吸窘迫综合症等疾病的救治具有丰富的临床经验。 贵州省重症医学委员会委员、遵义市重症医学会委员、遵义市医学会重症医学分会委员,贵州省第一批援沪医疗队队员,发表重症医学专业论文多篇。 王  磊 致公党党员,重症医学科副主任医师 专业擅长:从事重症医学多年,擅长急危重症的各种抢救,对急性重症胰腺炎、重症创伤及休克、急性呼吸窘迫综合症等疾病的救治、有创呼吸机的使用,CRRT对各种急性中毒、多器官功能衰竭、脓毒血症等疾病的救治具有丰富的临床经验。 贵州省重症医学委员会委员、遵义市重症医学分会委员、遵义市播州区方舱医院医疗队队员。 吴英武 中共党员,重症医学科副主任医师 专业擅长:擅长各种急危重症的抢救,对脓毒血症、重症创伤及休克、重症胰腺炎、急性呼吸窘迫综合症等疾病的救治及在重症超声对危重症治疗、抢救等方面具有丰富的临床经验。 贵州省第一批援鄂医疗队队员、贵州省重症医学委员会委员、遵义市医学会重症医学分会委员,发明专利3项、发表重症医学专业论文多篇。 贵州航天医院重症医学科简介 贵州航天医院重症医学科目前共有医护人员27人,其中副高级以上专家5人,开放床位16张,床单元配备医疗桥架和床旁监护系统,心电监护27台、动态血流监测仪23台、有创呼吸机19台、无创呼吸机5台、高流量呼吸机2台、转运呼吸机1台、血气分析仪1台、除颤仪1台、床旁透析机1台、纤支镜1台、无创血流动力学监测仪(USOM)1台、床旁B超机1台,降温毯1台、输液泵10台、微量注射泵74台、空气消毒机2台。 专科特色技术 心脏电转复及除颤术,气管插管术(经鼻气管插管术、经口气管插管术),气管切开术(经皮快速气管切开术、纤支镜引导下经皮快速气管切开术、超声定位纤支镜引导下经皮快速气管切开术),呼吸机的临床应用、心电、血压、脉搏、血氧饱和度监测技术、有创动态血压监测技术,有创动静脉置管术、锁骨下静脉穿刺技术、颈内静脉穿刺术、股静脉穿刺术、腋静脉穿刺置管术、血液净化临时血管通路的建立、鼻空肠置入术,跨肺压指导ARDS通气患者PEEP滴定应用,床旁超声测量视神经鞘直径评估颅内压,重症肺部超声评分在COPD患者中治疗效果应用,重症膈肌超声运动评估在机械通气患者撤机拔管中的应用,床旁超声测量下腔静脉呼吸变异指数在脓毒性休克机械通气患者容量反应性评估中应用价值。 诊疗范围 (一)急性、可逆、已经危及生命的脏器功能不全,经过严密监测和加强治疗短期内可能得到康复的患者。 (二)存在各种高危因素,具有潜在生命危险,经过严格监护和有效治疗可能减少死亡风险的患者。 (三)在慢性脏器功能不全的基础上,出现急性加重且已危及生命,经过严密监测和治疗可能恢复到原来状态的患者。 (四)其他适合在重症医学科进行严密监测和加强治疗的可逆性疾病患者 END
下一篇: 暂无

 
			    
