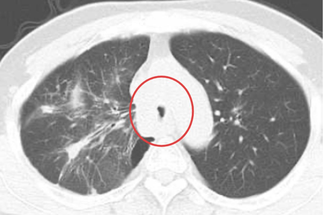
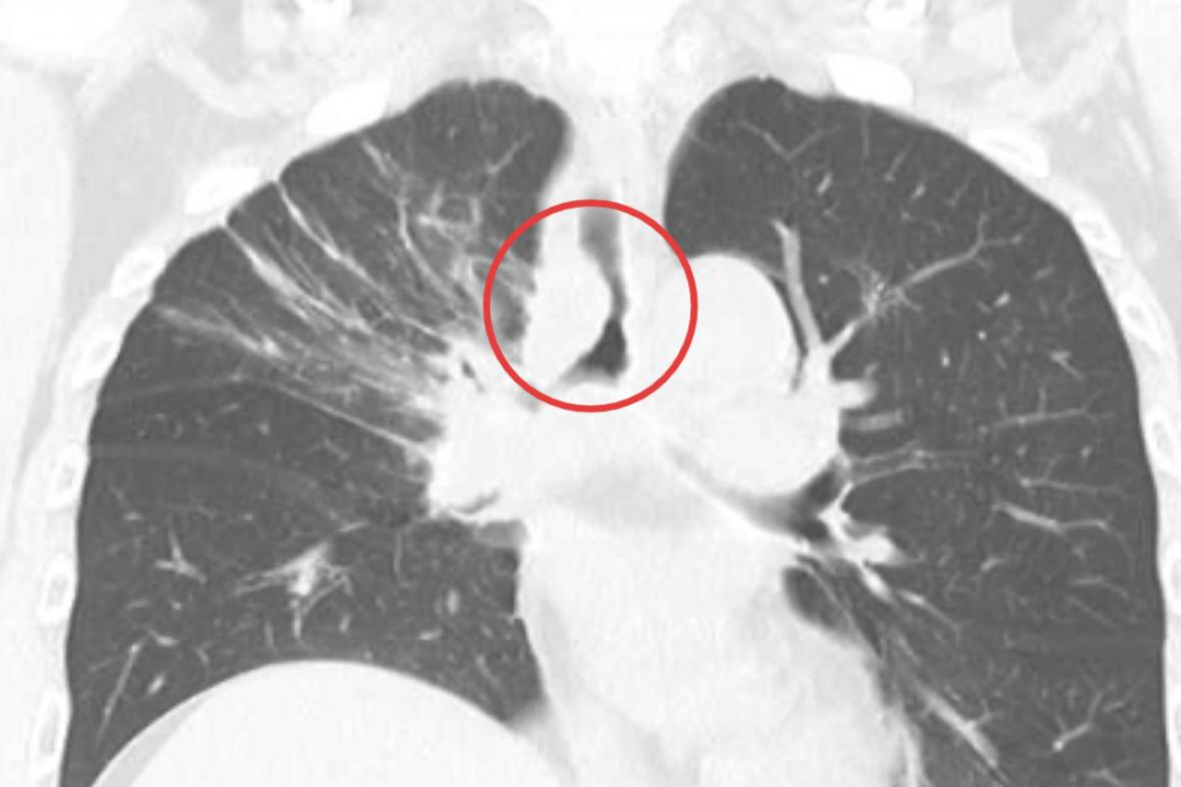
近日,贵州航天医院呼吸与危重症医学科紧急为一名主气道被肿瘤严重堵塞的肺癌患者成功实施了全麻硬质支气管镜下气道内综合治疗术,生动诠释了医者对生命的敬畏,也体现了该团队以技术守护生命的深厚功底。 53岁的陈先生(化名)近半年来感觉气促逐渐加重。5个月前,他在外院确诊为右肺中央型鳞状细胞癌,使用了化疗及免疫治疗。最近半个月,喘息、呼吸困难进一步加剧,已连续多日因严重呼吸困难无法平卧,外院胸部CT显示:肿瘤已侵犯并导致主气道(隆突水平)重度狭窄甚至接近闭塞,存在急性窒息风险。鉴于气道梗阻进展迅速且已超出常规药物及支持治疗的缓解能力,外院评估暂不具备开展介入性气道开通的条件,病情危重,亟需紧急气道干预。 患者就诊于贵州航天医院时,已处于明显呼吸衰竭状态,血氧饱和度一度跌至79%(正常人一般在95%以上),生命垂危。 时间就是生命!经我院呼吸与危重症医学科呼吸介入团队紧急评估,该患者为高危中央型气道重度狭窄,病情危急,随时存在因气道完全阻塞导致急性呼吸衰竭甚至窒息的风险。当务之急是立即进行气管镜下精准评估,并根据狭窄位置、形态与程度,制定个体化介入治疗方案,以迅速解除气道梗阻,为后续综合治疗争取时间。 在与患者及家属沟通病情并征得同意后,呼吸介入团队立即在静脉舒适麻醉下行电子支气管镜检查,从镜下看到患者气管中下段被肿瘤组织阻塞,管腔狭窄高达80%,并且肿瘤呈浸润性生长侵犯至左、右两侧主支气管,于是团队当机立断,转为实施全麻硬质支气管镜下气道内综合治疗术。 医生将硬质支气管镜(一根中空的金属管道)经口置入患者主气道,在确保通气的同时,为后续操作建立了稳固的“工作通道”。手术中,首先在气管内严重狭窄处实施高频电刀切除部分肿瘤组织,然后再用高频电凝对基底部和易出血部位进行精准消融及止血,将堵塞“生命通道”的肿瘤逐步清理。 高频电刀切除 部分肿瘤组织 高频电凝 消融 由于肿瘤侵犯范围较大且生长快,单纯切除后气道壁仍有塌陷及再次阻塞的风险,为确保气道长期通畅,团队在气管狭窄最严重的部位,精准置入Y型镍钛合金覆膜气道支架。支架像一把撑开的“小伞”,瞬间将狭窄的气道撑开,恢复了气流的顺畅通过。 置入Y型镍钛合金覆膜气道支架 术后,陈先生转入病房进一步观察治疗,氧饱和度迅速回升至正常水平,呼吸困难随即缓解。这场成功的急救,不仅畅通患者的呼吸,也使其重获接受后续抗肿瘤治疗的机会。 贵州航天医院精品技术 硬质支气管镜介入治疗 硬质支气管镜介入治疗是处理复杂中央气道狭窄与阻塞的关键核心技术,本身是一个中空的金属管道,它在手术中扮演着多重关键角色: 可靠的通气保障:在全麻下,它本身可作为通气管道,维持患者在整个手术过程中的呼吸,为医生在气道内的复杂操作提供了充足的安全时间和稳定的操作平台。 稳固的操作通道:其宽阔的管腔允许多种治疗器械(如电刀、支架、冷冻探头等)同时或交替进入,便于进行高效、综合的介入治疗。 处理大出血能力强:对于富含血管的肿瘤,操作中一旦发生出血,硬镜能快速压迫止血或保证吸引效率,是处理高风险出血的重要安全保障。 贵州航天医院呼吸与危重症医学科是国家临床重点专科建设单位、贵州省医学重点学科、临床重点专科、贵州省基层医院介入培训基地,遵义市医学重点学科、临床重点专科,是贵州省内呼吸疾病诊疗规模最大、诊疗项目最全的呼吸疾病品牌科室。现开放床位350张,设有4个病区、RICU、呼吸介入诊疗中心、慢病康复治疗中心和呼吸疾病研究中心实验室,在肺癌与肺结节、慢性阻塞性肺疾病、肺炎、肺结核等呼吸系统疾病的诊疗方面形成了区域特色优势。 贵州航天医院 呼吸与危重症医学科专家简介 廖江荣 国务院政府特殊津贴专家 遵义市呼吸疾病临床医学中心 学科带头人 二级教授 硕士研究生导师 主任医师 学术任职: 亚洲冷冻治疗学会副主席 中国医药教育协会介入微创专业委员会呼吸分会副主任委员 中国防痨协会超声专业委员会副主任委员 中国抗癌协会肿瘤微创治疗专业委员会常务委员 中国防痨协会多学科诊疗专业委员会常务委员 中国医疗保健国际交流促进会结核病学分会常务委员 第一届中国人体健康科技促进会呼吸介入专业委员会常务委员 中国抗癌协会第一届肿瘤组织间植入治疗专业委员会常务委员 西部呼吸介入联盟副理事长 贵州省医学会呼吸病学分会第六届委员会副主任委员 贵州省中西医结合呼吸专业委员会副主任委员 贵州省医学会结核病分会常务委员 遵义市呼吸内科专业医疗质控中心主任委员 遵义市中西医结合学会理事长 专业擅长: 呼吸系统(肺)疑难病的诊断及危重病的抢救,呼吸系统(肺)感染性、疑难性疾病介入快速诊断(ROSE),尤其在肺癌、肺小结节早期诊断,肺癌微创综合靶向治疗,难治性、复治性、重症肺结核诊疗,硬质支气管下复杂性气道狭窄诊治,纤支镜介入治疗气道肿瘤、结核、气道狭窄(球囊扩张、支架植入、高频电刀、氩气刀、冷冻、灌洗、注药、微波消融),间质性肺疾病的诊疗上具有极高水平;带领团队勇于创新,在贵州省率先开展多项新技术、新疗法,如CT引导下及纤支镜下I125粒子植入及CT引导下微波、冷冻消融介入治疗肺癌等多项新技术,带动了贵州省肺部疾病的介入治疗水平提高。 蒋 婷 贵州航天医院党委委员、副院长,副主任医师 专业擅长:从医20余年,在呼吸系统疾病、介入呼吸病学、肺部结核、肺部肿瘤等方面具有丰富的临床经验和专业技能,尤其是慢性阻塞性肺疾病、支气管扩张、肺结核、耐药肺结核、肺癌、胸腔积液等肺部疾病的诊治、微创介入、危重病患者抢救。 现任中国防痨协会结核病与糖尿病专业分会副主任委员,中国女医师协会第一届介入专业委员会委员,贵州省基层呼吸疾病防治联盟-间质性肺疾病联盟委员,贵州省防痨协会第七届理事会理事,贵州省中西医结合学会呼吸专业委员介入呼吸病学组委员,贵州省遵义市中医药学会中西医结合肺病(呼吸)分会副主任委员,贵州省遵义市中医药学会中医肿瘤专业委员会常委;发表论文数篇,参与并主持多项科研项目。 唐永江 四川大学华西医院 呼吸与危重症医学科 副主任医师 呼吸危重症医疗组长 香港中文大学博士 美国康奈尔大学访问学者 贵州航天医院 呼吸与危重症医学科 学科带头人 主要从事呼吸危重症(特别是呼吸重症感染)的临床及科研工作。 PCCM专培结业医师 中华医学会呼吸病学分会呼吸危重症学组秘书 中华医学会呼吸病学分会ECMO工作组成员 四川省医学会呼吸病学专委会介入学组委员兼秘书 发表文章20余篇,主持及参与多项国家自然科学基金及省卫健委基金。 周裕祥 呼吸、感染党支部书记,呼吸与危重症医学科总负责人,副主任医师 专业擅长:对经皮穿刺肺活检、肺结节、肺癌的微创介入诊疗具有丰富的临床经验。 贵州省中西医结合学会呼吸专业委员会介入呼吸病学组常务委员,中国医师协会呼吸医师分会介入呼吸病学工作委员会呼吸病血管介入学组委员,贵州省中西医结合学会呼吸学分会委员,遵义市医学会放射肿瘤治疗学分会委员,中国医药教育协会介入微创呼吸分会委员,北京健康促进会中青年专家委员会胸部疾病精准活检分委会委员;曾赴重庆医科大学RICU、珠海市人民医院介入科进修学习。 王 云 中共党员,呼吸与危重症医学科一病区主任,副主任医师 专业擅长:擅长呼吸系统常见病及疑难危重症、介入呼吸病学、肺部肿瘤疾病的诊治,尤其擅长快速现场评价(ROSE)技术。 贵州省中西医结合学会呼吸专业委员会介入呼吸病学组委员,遵义市中医药学会中西医结合肺病(呼吸)分会委员,贵州省中西医结合学会第六届呼吸专业委员会委员。 杨 芳 中共党员,呼吸与危重症医学科二病区、内镜中心主任,副主任医师 专业擅长:从事临床工作约20年,对呼吸危重病的救治有独到的见解,尤其擅长呼吸系统疾病的介入诊疗,对呼吸内镜下的诊治及经皮肺穿刺诊疗技术具有丰富的临床经验。 亚洲冷冻治疗学会委员,中国医药教育协会介入微创呼吸分会委员,西南结核病医院联盟第二届委员会秘书/委员,贵州省中西医结合学会第六届呼吸科专业委员会委员,贵州省中西医结合学会呼吸专业委员会介入呼吸病学组秘书,贵州省中西医结合学会呼吸专业委员会基层康复学组副组长,贵州水利电力医学科学技术会高原医学分会委员,遵义市中医院学会中西医结合肺病(呼吸)分会秘书/常务委员,遵义市医学会肿瘤学分会(第二届)委员,遵义市医学会放射肿瘤治疗学分会第二届委员;主持及参与科研课题多项,参编著作《呼吸内镜操作技术规范》、《介入结核病学》,发表论文数篇。 李桂凤 中共党员,呼吸与危重症医学科三病区主任,副主任医师 专业擅长:从事呼吸系统疾病、结核病学、介入呼吸病学、肿瘤综合治疗、呼吸康复等临床工作20余年,擅长呼吸内科常见病、多发病及疑难重症危重病症的诊治,尤其对重症疑难结核及耐药结核病、介入治疗(肺)呼吸系统疾病、呼吸危重病抢救等方面具有较高诊疗水平。 中国防痨协会非结核病专业委员会委员,贵州省中西医结合学会第六届呼吸专业委员会委员,贵州省康复学会睡眠障碍康复专业委员会委员,遵义市呼吸内科医疗质量控制中心委员,遵义市落实民生实事结核病筛查阅片专家组成员;主持及参与实用新型专利3项。 贵州航天医院 呼吸与危重症医学科简介 贵州航天医院呼吸与危重症医学科是贵州省内呼吸疾病诊疗规模最大、项目最全的呼吸疾病品牌科室。现开放床位350张,设有4个病区、RICU、呼吸介入诊疗中心、慢病康复治疗中心和呼吸疾病研究中心实验室,分设感染性疾病、呼吸疑难危重症、肺癌/肺结节、呼吸系统慢性疾病、肺结核、间质性肺疾病、呼吸微创介入、肺血管疾病等8个亚专业。 权威平台,学科引领 作为国家临床重点专科建设单位、贵州省重点学科、重点专科建设单位,遵义市首批呼吸重点学科、重点专科,科室获批成立了遵义市呼吸疾病临床医学中心、遵义市呼吸内科医疗质量控制中心,先后成为国家卫健委能力建设和继续教育肿瘤(肺癌)微创介入建设中心、国家呼吸医疗质量控制与管理哨点医院、贵州省县级医院微创介入诊疗中心、四川大学华西医院-遵义市呼吸系统疾病临床诊疗中心及贵州省博士创新站。 是亚洲冷冻治疗学会副主席单位(呼吸内镜)、中国医药教育协会“介入微创呼吸分会呼吸介入技术”培训中心、中国人体健康科技促进会“呼吸介入技术”培训协作单位、国家卫健委海医会呼吸分会ROSE专委会“诊断性介入肺脏病学快速现场评价”培训协作单位、中国肺癌防治联盟“贵州航天医院肺结节诊治”分中心、呼吸康复规范化建设达标单位、世界内镜医师协会常务理事单位、中国介入医学产业技术创新联盟肿瘤热消融中心理事单位、西南综合介入专科联盟副理事长单位、西部呼吸介入联盟副理事长单位;贵州省中西医结合学会呼吸学分会呼吸介入专委会主委单位、遵义市中医药学会中西医结合肺病(呼吸)分会主委单位。 是北京中医药大学东直门医院肺病优势专科联盟副主委单位、国家呼吸病临床研究中心•中日医院呼吸专科医联体单位、国家中西医结合医学中心•中日友好医院中西医结合医联体单位、广州医科大学附属第一医院(国家呼吸医学中心)重症肺癌专病联盟成员单位。 创新驱动,技术突破 率先开展多项省内前沿技术,其中,CT引导下I125粒子植入术、射频、微波、冷冻消融术治疗肺部恶性肿瘤,硬质支气管镜、经气管镜介入技术治疗气道肿瘤、结核、气道狭窄(球囊扩张、支架植入、高频电刀、氩气刀、冷冻、光动力、激光等),AI机器人辅助经皮、经气管镜介入应用,肺部(呼吸)感染性、疑难性疾病现场快速评价(ROSE)等诊疗技术的开展,进一步推动了呼吸疾病介入诊疗技术在贵州省基层医疗机构的发展应用。 人才引擎,科研转化 柔性引进厦门医学院附属第二医院柯明耀教授、上海交通大学医学院附属仁济医院吴学玲教授、中山医科大学附属肿瘤医院张福君教授、上海市胸科医院孙加源教授、南方科技大学医院周红梅教授、天津医科大学总医院冯靖教授7名国内顶尖专家并建立工作站,依托“四川大学华西医院帮扶合作中心-遵义市呼吸系统疾病临床诊疗中心及贵州省博士创新站”引入华西医院唐永江博士担任学科带头人,借助珠遵协作平台成立珠海市人民医院专家团队外周血管介入工作站,锻造多元人才梯队,推动临床、科研能力双提升。 在高质量完成临床诊疗工作的同时,科室积极投身于呼吸介入诊疗领域的科研工作,近三年主持及参与国家级、省部级、市厅级科研项目30余项,“慢性阻塞性肺疾病患者规范化呼吸康复真实世界研究”课题获得国家卫生健康委医药卫生研究发展中心批复立项。在国家、省级刊物发表学术论文100余篇(其中SCI收录20余篇),参编国家级专家共识、专著11部,持续探索呼吸内镜技术的新应用、新方法,不断推动学科前沿发展,将科研成果转化应用于临床实践,促进诊疗水平进一步提升。 辐射基层,责任担当 同四川、云南、重庆等七十余家县(市)级基层医院建立了“贵州航天医院呼吸与呼吸危重症专科联盟”,充分发挥学科优势,提供优势技术支持,每年通过省级以上学术会议及培训班(主办或承办)、专家下沉指导帮扶、接收进修人员等方式,为基层培养了大批医疗骨干,有力推动了西南地区呼吸疾病诊疗水平的整体提升。 贵州航天医院呼吸与危重症医学科,以精湛技术、前沿科研与责任担当,守护每一次呼吸! END


